Bandas de ortodoncia: usos y beneficios


Escrito y verificado por la odontóloga Vanesa Evangelina Buffa
La ortodoncia se utiliza para resolver problemas de mordida, enderezar dientes y tratar otras afecciones en la oclusión. Algunos aparatos que se colocan en la boca utilizan las llamadas bandas de ortodoncia.
Se trata de unos dispositivos que se colocan en los dientes posteriores, por lo que también se las conoce como bandas molares. Estas no son necesarias en todos los casos de frenillos.
Sigue leyendo para saber más sobre los usos y funciones de las bandas de ortodoncia. También entérate qué se puede hacer para llevarlas con comodidad.
¿Qué son las bandas de ortodoncia?
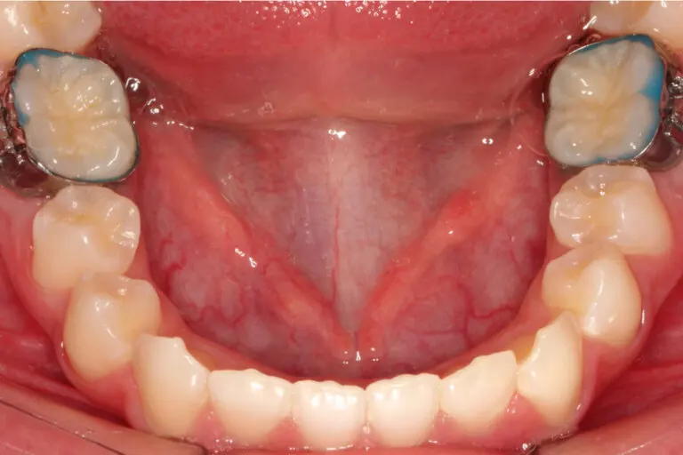
Las bandas de ortodoncia son unas anillas metálicas que rodean a los molares. Las mismas se cementan a estas piezas posteriores para ejercer desde ellas las fuerzas ortodóncicas. Suelen poseer un tubo soldado por donde pasa el arco y los aditamentos que requiere el tratamiento.
Sirven para anclar los arcos de alambre que están conectados a los brackets adheridos a los dientes. Cuando se ajusta el arco se producen los movimientos dentarios que permiten reposicionar las piezas.
Además, se las puede utilizar en otros aparatos sin brackets, como los expansores de maxilar. Las bandas mantienen el aparato en posición y permiten al mismo realizar la fuerza necesaria para expandir la mandíbula superior cuando es muy pequeña.
Están confeccionadas de metal o de acero inoxidable, siendo duraderas y fáciles de colocar.
Hay varios tipos: simples, dobles y triples. También convertibles y no convertibles. Se combinan las diferentes clases según las necesidades del tratamiento.

¿Cómo se coloca una banda de ortodoncia?
Ya mencionamos que la colocación de las bandas de ortodoncia es sencilla. De todos modos, el proceso requiere al menos dos citas separadas con el ortodoncista.
En la primera consulta se estudian las condiciones de la boca para asegurar que haya espacio suficiente alrededor del molar. Esto permite la colocación y el desplazamiento de la banda. Para ello, el ortodoncista toma una impresión de la dentadura y confecciona un modelo que replica la cavidad bucal.
Luego se colocan separadores elásticos entre los dientes con alicates especiales para generar espacio. Este procedimiento se realiza sin anestesia, ya que no provoca dolor.
Mientras lleven los separadores, los pacientes deben evitar el uso del hilo dental, los alimentos pegajosos y mascar chicles. Si la presión que ejercen entre los dientes ocasiona dolor, el odontólogo indicará algún antiinflamatorio.
En la segunda consulta, aproximadamente una semana después de la primera, se cementan las bandas de ortodoncia sobre los molares. Las mismas se habrán confeccionado del tamaño y forma correcta sobre el modelo de yeso obtenido del paciente.
Se quitan los separadores elásticos y se prueban las bandas sobre los molares. Se las presiona en su posición, se coloca un palo de mordida y se le indica al paciente que muerda para empujarlas a su lugar.
Si las bandas tienen el tamaño adecuado y calzan bien sobre el diente se las retira. Luego se limpia y pule el elemento dentario, se aplica cemento sobre las bandas y se las vuelve a colocar para que queden adheridas al molar. Las mismas permanecen sobre la pieza hasta terminar todo el tratamiento de ortodoncia.
Lee también: Tipos de ortodoncia: ¿cuál es la más adecuada?
¿Cómo tratar los dolores causados por las bandas de ortodoncia?
Al colocarse las bandas de ortodoncia o hacer ajustes sobre los aparatos se puede generar presión molesta sobre las piezas dentarias. Al colocarse los separadores elásticos, antes de colocar las bandas, la sensación de un cuerpo extraño entre los dientes también incomoda.
Es importante saber que estas percepciones son pasajeras y la persona se adapta a los nuevos objetos y fuerzas sobre sus dientes. Un tratamiento con bandas de ortodoncia no es doloroso, pero puede generar molestias.
A continuación se detallan algunos consejos para aliviarlas. Son los siguientes:
- Evitar alimentos duros y pegajosos: los alimentos muy crujientes, que demanden mucha fuerza para masticarlos o que se adhieran con facilidad al aparato pueden romper sus partes o despegarlos. Se deben obviar en la dieta los frutos secos, los caramelos duros, el hielo, las palomitas de maíz, los chicles y los chocolates.
- Mantener la limpieza dental: hay que cepillar los dientes de manera suave, con un cepillo blando y asegurarse de que no se acumulen bacterias y restos de comida sobre el aparato. Esto no solo previene patologías de la boca, sino que dará comodidad a quien lleve la ortodoncia.
- Tomar analgésicos: si el dolor es muy intenso y la molestia intolerable, el uso de algún antiinflamatorio de venta libre puede aliviar al paciente. De todos modos, no hay que automedicarse. Consultar al ortodoncista antes de tomar la medicación es lo aconsejable.
- Medicación tópica: el odontólogo puede aconsejar el uso de algún analgésico oral tópico. El mismo se coloca sobre las encías y piezas dentales adoloridas. También se emplea si se generan lastimaduras por el aparato sobre la mucosa.
- Aplicar cera: las bandas pueden rozar y lastimar las encías y las mejillas. Colocar cera de ortodoncia sobre las zonas salientes del aparato evita el trauma del mismo sobre los tejidos blandos.
Pros y contras de las bandas de ortodoncia
Como ya se mencionó, algunos tratamientos requieren el uso de bandas de ortodoncia y otros no. Si bien la elección de usarlas depende en mayor medida de las necesidades de la terapéutica, también influyen las preferencias del profesional a cargo. Es que este tipo de aditamento tiene ventajas y desventajas que determinan la predilección por parte del ortodontista.
Como ventaja, las bandas de ortodoncia están confeccionadas de un material resistente y fuerte que les da mayor estabilidad en el tiempo. Se aflojan menos que los brackets.
Además, los odontólogos pueden agregarles y soldarles partes adicionales para usarlas para realizar fuerzas específicas. Por ejemplo, como parte de la aparatología que expande o reposiciona los maxilares.
La mayor desventaja que tienen es el aumento del riesgo de caries del diente que la lleva. Al rodear por completo los molares dificultan la higiene dental y favorecen el acúmulo de placa bacteriana. Se torna difícil cepillar y usar el hilo dental en esa zona.

Te puede interesar: 8 cuidados que toda persona con ortodoncia debe seguir
Uso de las bandas de ortodoncia
Las bandas de ortodoncia se utilizan con mayor frecuencia para los tratamientos de ortodoncia fija. Se las emplea para sostener el arco, combinando el tratamiento con los brackets. En general, son indicación en casos en los que hay que cerrar un gran espacio o cuando hay que realinear la mordida.
Pero además se las puede prescribir en otras circunstancias:
- En aparatos que necesiten anclaje posterior, como disyuntores, expansores y barras palatinas.
- Cuando las superficies dentarias no permiten el cementado eficaz de los brackets, como coronas metálicas o de oro.
- Para sostener férulas quirúrgicas luego de cirugías de mandíbula.
- En casos de molares que aún no erupcionaron por completo. Las bandas pueden colocarse ligeramente por debajo de la encía.
Cuidar la salud bucodental es primordial
Las bandas de ortodoncia pueden ser útiles para algunos tratamientos con aparatos. Pero no siempre son necesarias. Será el ortodoncista quien evalúe el beneficio de usarlas, según el caso clínico.
Su colocación es sencilla y no suelen generar muchas molestias. El paciente con el tiempo se adapta a su presencia y a las fuerzas que se generan.
El riesgo de caries que conlleva el uso implica una mayor atención a la higiene dental y al cuidado de la boca por parte del paciente. Una fluida comunicación con el ortodontista es la clave para arribar a buen puerto sin dificultades.
Todas las fuentes citadas fueron revisadas a profundidad por nuestro equipo, para asegurar su calidad, confiabilidad, vigencia y validez. La bibliografía de este artículo fue considerada confiable y de precisión académica o científica.
- Ledesma, José Galván. Comparación del estado periodontal de molares permanentes con bandas y tubos, antes y durante el tratamiento de ortodoncia. Diss. Universidad Alfonso X el Sabio, 2017.
- Fernández Bobadilla, Adriana. "Comparación de liberación de fluoruro de diferentes cementos para bandas ortodoncicas." (2018).
- Figueroa Yáñez, Romina, Pamela Fuentes Martínez, and Carla Orellana Herrera. Prevalencia de lesiones de caries en pacientes tratados ortodoncicamente en Universidad de Talca: estudio piloto. Diss. Universidad de Talca (Chile). Escuela de Odontología., 2020.
- Ronceros Rojas, Jessica Carla. "Ortodoncia y cirugía ortognática." (2018).
- Gálvez, Yusleni Hernández, Michel García Menéndez, and Olga Iliana Ruiz Gálvez. "Título: Cirugía ortognática de mandíbula y mentón."
- de la Rosa, A., E. Nevado, and R. Mourelle. "Expansión Rápida del Maxilar Superior por Compresión Apical Unilateral. A propósito de un Caso Clínico."
- Martínez, Laura Rodríguez, et al. "Efectos de la disyunción palatina utilizando disyuntores soportados por cuatro minitornillos vs. dos minitornillos.: Revisión bibliográfica." Revista Española de Ortodoncia 49.4 (2019): 157-164.
- Orthodontics, I. Ortodoncia I. Diss. Universidad Católica San Antonio de Murcia, 2019.
- Sarmiento, Liliana Andrea Piedra, et al. "Comparación de la resistencia a la descementación y el tipo de falla de tres cementantes de bandas en ortodoncia." Revista Facultad de Odontología Universidad de Antioquia 28.1 (2016).
Este texto se ofrece únicamente con propósitos informativos y no reemplaza la consulta con un profesional. Ante dudas, consulta a tu especialista.







