Cómo tratar las encías sangrantes


Revisado y aprobado por el médico Nelton Abdon Ramos Rojas
¿Quieres descubrir cómo tratar las encías sangrantes? Si te preocupa el sangrado y la inflamación de tus encías, continúa leyendo.
Esta dolencia no se genera de “la noche a la mañana”, sino que generalmente está causada por una enfermedad llamada “gingivitis”. Esta afección, si no es tratada como corresponde, puede derivar en problemas dentales más graves.
Por qué sangran las encías
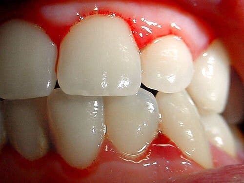
El sangrado de las encías es un síntoma de que las encías o los dientes tienen algún problema. Los más frecuentes son la periodontitis o piorrea, es decir, una inflamación de los tejidos que soportan la dentadura, y la gingivitis, la inflamación de las encías.
Los síntomas del sangrado de encías, además de pérdida de sangre, incluyen enrojecimiento, escozor, irritación, inflamación, dolor al contacto.
Causas de las encías sangrantes
Las causas más comunes de las encías sangrantes son:
1. Higiene dental inadecuada o escasa
Descuidar la limpieza bucal es el primer factor que causa el sarro, por lo cuál las encías se inflaman y sangran. Lavarse los dientes mal, no utilizar hilo dental, no usar enjuague, entre otros factores, también puede derivar en sangrado.
2. Enfermedades que no ayudan a la coagulación de la sangre
Como es el caso de la leucemia, el escorbuto (falta de vitamina C) y PTI (Púrpura trombocitopénica idiopática).
3. Consumir alimentos muy ricos en azúcar
Ayuda a formar el sarro, una de las principales causas de la piorrea y posterior sangrado.
4. Fumar
El tabaco es el responsable de muchos problemas relacionados a las encías y dientes. Por ejemplo, disminuye la flexibilidad de los vasos sanguíneos y hace que se rompan más fácilmente. A su vez, la nicotina constriñe la micro circulación en las encías, produciendo falta de riego sanguíneo, ayudando a formar más sarro.
5. Llevar una mala alimentación
Una dieta desequilibrada puede ser causal de deterioro y sangrado en las encías. Consumir más vitamina C es preciso para reparar las piezas dentales y cuidarlas de diversas enfermedades.
A su vez, la vitamina K es la que ayuda a coagular. El uso excesivo de anticoagulantes, sean químicos o naturales, facilitan el sangrado.
6. No cuidar prótesis dentales.
La colocación inadecuada puede originar sangrado, al igual que los brackets o aparatos dentales.
7. Estar embarazada
Muchas mujeres en el periodo de gestación sufren diferentes cambios hormonales que pueden llegar a causar sangrado de encías.
Consejos para evitar el sangrado de encías

Antes de ver cómo tratar las encías sangrantes, vamos a recordar juntos algunas cosas que puedes hacer para evitar padecer esta molestia:
- Evita el consumo de tabaco.
- Cepilla bien los dientes, al menos tres veces al día (mañana, mediodía y noche)
- Aplica presión sobre la encía con una gasa con agua fría en el momento del sangrado.
- Consume más vitaminas o suplementos.
- Consulta los efectos colaterales de ciertos medicamentos.
- Masajea las encías.
- Acude al odontólogo si se trata de sangrado por prótesis dentales.
- Pasa hilo dental a diario para retirar por completo placa y bacterias.
- Bebe mucha agua para eliminar partículas que se “pegan” en los dientes.
- Usa enjuague bucal a diario.
- Limita la ingesta de azúcares.
- Usa un cepillo eléctrico para masajear las encías y remover a fondo la placa.
- Coloca hielo si las encías están muy inflamadas.
Tratar las encías sangrantes

A continuación te recomendaremos remedios naturales que puedes ayudarte a tratar las encías sangrantes. Recuerda que estos podrían no funcionar y que lo mejor es consultar con tu odontólogo cuál es el tratamiento más adecuado en tu caso.
Las plantas que ayudan naturalmente a solucionar el sangrado de encías se pueden dividir en tres grandes grupos:
- Antibacterianas: para eliminar los microorganismos que causan la placa.
- Antiinflamatorias: para desinflamar las encias.
- Astringentes: para que las encías dejen de sangrar.
Las hierbas recomendadas para este problema bucal son: tomillo (enjuagues con infusión); zarza (enjuague con la cocción de hojas secas); llantén (enjuagues con zumo de hojas tiernas); lentisco (masticar hojas); salvia (hacer enjuagues con una infusión de hojas secas) y agrimonia (enjuagues con una infusión de hojas secas).
Tratar encías sangrantes con remedios caseros

Otras buenas opciones para luchar contra el sangrado de encías son:
1. Enjuagar con agua tibia y sal
Mezclar una pizca de sal en un poco de agua tibia y enjuagar la boca. Repetir dos veces al día. Esto ayudará a aumentar la circulación de la sangre en las encías y así reducir la inflamación.
2. Mezclar agua y peróxido
Esta solución se puede usar hasta tres veces a la semana y sirve para eliminar las bacterias que se van acumulando en la superficie de los dientes. Utilizar mitad de agua y mitad de peróxido de hidrógeno y hacer buches por 30 segundos. Escupir bien y enjuagar con agua limpia.
3. Usar bicarbonato de sodio
Realizar una pasta de bicarbonato de sodio y agua y aplicar en la “línea” entre las encías y los dientes y muelas usando el dedo. Cepillar los dientes como de costumbre. El bicarbonato neutraliza las bacterias en esa zona y evita que se forme la placa.
4. Frotar las encías con aloe vera
Tomar un tallo de aloe vera o sábila y cortar a la mitad para extraer el gel. Frotar varias veces al día las encías. Otro remedio similar es con higos cocidos en leche.
5. Hacer una infusión de anís, menta y romero
Las cantidades son una cucharadita de anís seco, una de menta y una de romero. Se vierten en ¾ taza de agua hirviendo y se dejan unos 10 minutos. Luego colar y utilizar como enjuague cada una hora.
6. Usar vinagre de manzana
Cada mañana y cada noche después de cepillar los dientes hacer un enjuague con una cucharadita de vinagre diluida en una taza de agua.
7. Realizar enjuagues de tomillo
Verter en una taza de agua hirviendo una cucharada de tomillo, tapar y refrescar. Hacer enjuagues para combatir las bacterias.
¿Qué te parecen nuestros consejos para tratar las encías sangrantes? Recuerda que lo que aquí hemos descrito son consejos que podrían no ser favorables en tu caso. Consulta con tu odontólogo lo antes posible al detectar el sangrado.
¿Quieres descubrir cómo tratar las encías sangrantes? Si te preocupa el sangrado y la inflamación de tus encías, continúa leyendo.
Esta dolencia no se genera de “la noche a la mañana”, sino que generalmente está causada por una enfermedad llamada “gingivitis”. Esta afección, si no es tratada como corresponde, puede derivar en problemas dentales más graves.
Por qué sangran las encías
El sangrado de las encías es un síntoma de que las encías o los dientes tienen algún problema. Los más frecuentes son la periodontitis o piorrea, es decir, una inflamación de los tejidos que soportan la dentadura, y la gingivitis, la inflamación de las encías.
Los síntomas del sangrado de encías, además de pérdida de sangre, incluyen enrojecimiento, escozor, irritación, inflamación, dolor al contacto.
Causas de las encías sangrantes
Las causas más comunes de las encías sangrantes son:
1. Higiene dental inadecuada o escasa
Descuidar la limpieza bucal es el primer factor que causa el sarro, por lo cuál las encías se inflaman y sangran. Lavarse los dientes mal, no utilizar hilo dental, no usar enjuague, entre otros factores, también puede derivar en sangrado.
2. Enfermedades que no ayudan a la coagulación de la sangre
Como es el caso de la leucemia, el escorbuto (falta de vitamina C) y PTI (Púrpura trombocitopénica idiopática).
3. Consumir alimentos muy ricos en azúcar
Ayuda a formar el sarro, una de las principales causas de la piorrea y posterior sangrado.
4. Fumar
El tabaco es el responsable de muchos problemas relacionados a las encías y dientes. Por ejemplo, disminuye la flexibilidad de los vasos sanguíneos y hace que se rompan más fácilmente. A su vez, la nicotina constriñe la micro circulación en las encías, produciendo falta de riego sanguíneo, ayudando a formar más sarro.
5. Llevar una mala alimentación
Una dieta desequilibrada puede ser causal de deterioro y sangrado en las encías. Consumir más vitamina C es preciso para reparar las piezas dentales y cuidarlas de diversas enfermedades.
A su vez, la vitamina K es la que ayuda a coagular. El uso excesivo de anticoagulantes, sean químicos o naturales, facilitan el sangrado.
6. No cuidar prótesis dentales.
La colocación inadecuada puede originar sangrado, al igual que los brackets o aparatos dentales.
7. Estar embarazada
Muchas mujeres en el periodo de gestación sufren diferentes cambios hormonales que pueden llegar a causar sangrado de encías.
Consejos para evitar el sangrado de encías

Antes de ver cómo tratar las encías sangrantes, vamos a recordar juntos algunas cosas que puedes hacer para evitar padecer esta molestia:
- Evita el consumo de tabaco.
- Cepilla bien los dientes, al menos tres veces al día (mañana, mediodía y noche)
- Aplica presión sobre la encía con una gasa con agua fría en el momento del sangrado.
- Consume más vitaminas o suplementos.
- Consulta los efectos colaterales de ciertos medicamentos.
- Masajea las encías.
- Acude al odontólogo si se trata de sangrado por prótesis dentales.
- Pasa hilo dental a diario para retirar por completo placa y bacterias.
- Bebe mucha agua para eliminar partículas que se “pegan” en los dientes.
- Usa enjuague bucal a diario.
- Limita la ingesta de azúcares.
- Usa un cepillo eléctrico para masajear las encías y remover a fondo la placa.
- Coloca hielo si las encías están muy inflamadas.
Tratar las encías sangrantes

A continuación te recomendaremos remedios naturales que puedes ayudarte a tratar las encías sangrantes. Recuerda que estos podrían no funcionar y que lo mejor es consultar con tu odontólogo cuál es el tratamiento más adecuado en tu caso.
Las plantas que ayudan naturalmente a solucionar el sangrado de encías se pueden dividir en tres grandes grupos:
- Antibacterianas: para eliminar los microorganismos que causan la placa.
- Antiinflamatorias: para desinflamar las encias.
- Astringentes: para que las encías dejen de sangrar.
Las hierbas recomendadas para este problema bucal son: tomillo (enjuagues con infusión); zarza (enjuague con la cocción de hojas secas); llantén (enjuagues con zumo de hojas tiernas); lentisco (masticar hojas); salvia (hacer enjuagues con una infusión de hojas secas) y agrimonia (enjuagues con una infusión de hojas secas).
Tratar encías sangrantes con remedios caseros

Otras buenas opciones para luchar contra el sangrado de encías son:
1. Enjuagar con agua tibia y sal
Mezclar una pizca de sal en un poco de agua tibia y enjuagar la boca. Repetir dos veces al día. Esto ayudará a aumentar la circulación de la sangre en las encías y así reducir la inflamación.
2. Mezclar agua y peróxido
Esta solución se puede usar hasta tres veces a la semana y sirve para eliminar las bacterias que se van acumulando en la superficie de los dientes. Utilizar mitad de agua y mitad de peróxido de hidrógeno y hacer buches por 30 segundos. Escupir bien y enjuagar con agua limpia.
3. Usar bicarbonato de sodio
Realizar una pasta de bicarbonato de sodio y agua y aplicar en la “línea” entre las encías y los dientes y muelas usando el dedo. Cepillar los dientes como de costumbre. El bicarbonato neutraliza las bacterias en esa zona y evita que se forme la placa.
4. Frotar las encías con aloe vera
Tomar un tallo de aloe vera o sábila y cortar a la mitad para extraer el gel. Frotar varias veces al día las encías. Otro remedio similar es con higos cocidos en leche.
5. Hacer una infusión de anís, menta y romero
Las cantidades son una cucharadita de anís seco, una de menta y una de romero. Se vierten en ¾ taza de agua hirviendo y se dejan unos 10 minutos. Luego colar y utilizar como enjuague cada una hora.
6. Usar vinagre de manzana
Cada mañana y cada noche después de cepillar los dientes hacer un enjuague con una cucharadita de vinagre diluida en una taza de agua.
7. Realizar enjuagues de tomillo
Verter en una taza de agua hirviendo una cucharada de tomillo, tapar y refrescar. Hacer enjuagues para combatir las bacterias.
¿Qué te parecen nuestros consejos para tratar las encías sangrantes? Recuerda que lo que aquí hemos descrito son consejos que podrían no ser favorables en tu caso. Consulta con tu odontólogo lo antes posible al detectar el sangrado.
Todas las fuentes citadas fueron revisadas a profundidad por nuestro equipo, para asegurar su calidad, confiabilidad, vigencia y validez. La bibliografía de este artículo fue considerada confiable y de precisión académica o científica.
- Montes, M. (2010). Placa Bacteriana. Servicio de Odontología. https://doi.org/10.1177/014272379101103201
- Page, R. C. (1986). Gingivitis. Journal of Clinical Periodontology. https://doi.org/10.1111/j.1600-051X.1986.tb01471.x
- Niemiec, B. A. (2013). Periodontitis. In Veterinary Periodontology. https://doi.org/10.1002/9781118705018.ch5
Este texto se ofrece únicamente con propósitos informativos y no reemplaza la consulta con un profesional. Ante dudas, consulta a tu especialista.