¿Qué es y para qué se usa la ecografía Doppler?


Revisado y aprobado por la enfermera Leidy Mora Molina
La ecografía Doppler es una de las evaluaciones médicas por imágenes más comunes en la actualidad. El examen se basa en un ultrasonido que mide el flujo de la sangre que recorre los vasos sanguíneos.
El procedimiento emplea un dispositivo que emite ondas sonoras de alta frecuencia, las que repercuten en los glóbulos rojos del órgano a estudiar. Funciona solo en partes blandas del cuerpo. Debe su nombre al físico austriaco Christian Doppler, quien descubrió el efecto sonoro que cambia cuando un objeto se acerca o se aleja de la fuente que emite las ondas.
Tipos de ecografía Doppler
Un artículo de la Revista Médica de Clínica Los Condes destaca a la ecografía Doppler como una herramienta clínica no invasiva para el diagnóstico vascular y la caracterización de tejidos tumorales y sólidos normales. Con este fin, se hallan los siguientes tipos de ultrasonido especializado.
1. Espectral
En lugar de imágenes, en este ultrasonido el recorrido de la sangre se evidencia con un gráfico que precisa qué tan obstruido se encuentra un vaso.
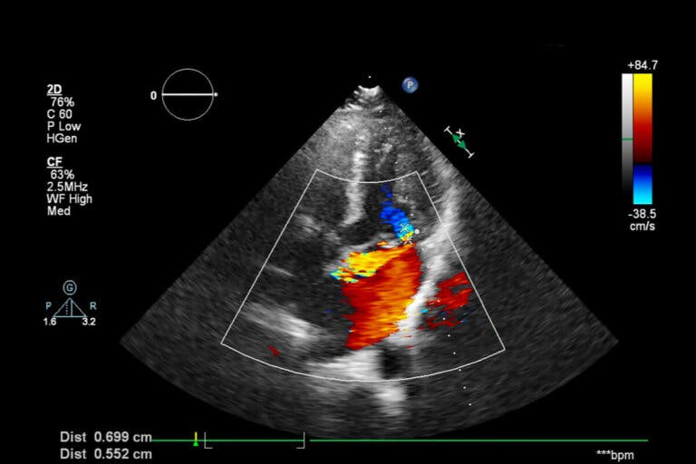
En la forma Doppler de la ecografía se visualiza el flujo sanguíneo en tonos rojos y azules.2. Dúplex
El Doppler dúplex es un estudio que se apoya en los ecos convencionales para formar imágenes de los órganos y de los vasos sanguíneos. Posteriormente, el ordenador transforma las imágenes en un gráfico parecido al del Doppler espectral.
3. Color
En esta ecografía a color, una computadora otorga tonos a las ondas sonoras y cada uno de ellos expone en tiempo real la dirección y la velocidad de la sangre.
4. De onda continua
El Doppler de onda continua es el idóneo para medir con precisión la sangre que circula más rápido. En el proceso, las ondas sonoras se envían y reciben constantemente.
5. De potencia
La ecografía de potencia es una versión actualizada del Doppler color. Revela datos más puntuales del flujo sanguíneo. Sin embargo, no indica su dirección y esta es una información necesaria en muchos casos.
6. Transcraneal
La forma transcraneal es un examen que se usa sola o con otras pruebas adicionales, como la resonancia magnética, la tomografía computada (TC) y la angiografía por resonancia magnética. Sirve para observar el flujo de sangre hacia y dentro del cerebro.
¿Para qué se usa la ecografía Doppler?
La ultrasonografía Doppler es rápida y no incomoda al paciente. Por lo general, se aplica en el control del embarazo para verificar la circulación de la sangre entre la madre y el feto.
También es útil en los ecocardiogramas, para vigilar el flujo sanguíneo después de una operación cardiaca y descartar enfermedades trombóticas en venas o arterias. Entre otras varias afecciones, el examen permite detectar las siguientes:
- Insuficiencia venosa. Por ejemplo, cuando se acumula líquido en las venas de las piernas.
- Estenosis de la arteria carótida, debido al estrechamiento de alguna sección en el cuello, impidiendo la correcta llegada de sangre a la cabeza, la cara y el cerebro.
- Defectos en las válvulas cardiacas, incluso cuando son patologías congénitas.
- Aneurismas, causados por el ensanchamiento de las paredes de las arterias.
- Oclusión arterial o arterias bloqueadas.
- Enfermedad arterial periférica, si la sangre no circula a las piernas en cantidades adecuadas.
- Accidente cerebrovascular.
¿Cómo prepararse para una ecografía Doppler?
La ultrasonografía Doppler la realiza un profesional en una sala de ecografía, radiología, laboratorio vascular periférico o una habitación de hospital. Al tomar la cita, el médico suele indicar no fumar un par de horas antes del procedimiento. La Sociedad de Cirugía Vascular explica que la nicotina es un vasoconstrictor, lo que hace que las arterias del cuerpo se vuelvan más pequeñas, por lo que incide en los resultados del examen.
Dependiendo del estudio, es posible que se solicite ayunar varias horas antes. Será el profesional quien especifique la preparación necesaria para la prueba.
Para el examen en sí, que dura entre media y una hora, el paciente se acuesta en una camilla y deja al descubierto la parte del cuerpo por donde pasará el transductor. Para que el dispositivo deslice, el especialista esparce gel hidrosoluble en la piel. Después moverá el aparato y con la emisión de sonidos se formarán las imágenes.
¿Qué pueden indicar los resultados?
Se entienden como resultados normales aquellos en los que no hay evidencia de arterias con flujo sanguíneo reducido o vasos estrechados. También si no se detectan coágulos.
En cambio, los problemas se presentan si hay arterias obstruidas, aneurismas, venas con coágulos de sangre o cerradas, enfermedades arteriales espásticas por frío o emociones. Asimismo, son señales de cuidado la dilatación o estrechamiento de arterias y cuando la sangre se mueve en dirección contraria a la que debería, lo que se conoce como reflujo venoso.

¿La ecografía Doppler es una prueba segura?
Esta clase de ecografía no representa riesgo para los pacientes. Si bien no se experimenta dolor, es posible sentir un poco de presión durante la exploración con el transductor.
La técnica es bastante común en la medicina actual para llegar a diagnósticos certeros sin recurrir a intervencionismos. Al finalizar el examen, la persona puede reincorporarse a sus actividades diarias sin inconvenientes.
La ecografía Doppler es una de las evaluaciones médicas por imágenes más comunes en la actualidad. El examen se basa en un ultrasonido que mide el flujo de la sangre que recorre los vasos sanguíneos.
El procedimiento emplea un dispositivo que emite ondas sonoras de alta frecuencia, las que repercuten en los glóbulos rojos del órgano a estudiar. Funciona solo en partes blandas del cuerpo. Debe su nombre al físico austriaco Christian Doppler, quien descubrió el efecto sonoro que cambia cuando un objeto se acerca o se aleja de la fuente que emite las ondas.
Tipos de ecografía Doppler
Un artículo de la Revista Médica de Clínica Los Condes destaca a la ecografía Doppler como una herramienta clínica no invasiva para el diagnóstico vascular y la caracterización de tejidos tumorales y sólidos normales. Con este fin, se hallan los siguientes tipos de ultrasonido especializado.
1. Espectral
En lugar de imágenes, en este ultrasonido el recorrido de la sangre se evidencia con un gráfico que precisa qué tan obstruido se encuentra un vaso.
En la forma Doppler de la ecografía se visualiza el flujo sanguíneo en tonos rojos y azules.2. Dúplex
El Doppler dúplex es un estudio que se apoya en los ecos convencionales para formar imágenes de los órganos y de los vasos sanguíneos. Posteriormente, el ordenador transforma las imágenes en un gráfico parecido al del Doppler espectral.
3. Color
En esta ecografía a color, una computadora otorga tonos a las ondas sonoras y cada uno de ellos expone en tiempo real la dirección y la velocidad de la sangre.
4. De onda continua
El Doppler de onda continua es el idóneo para medir con precisión la sangre que circula más rápido. En el proceso, las ondas sonoras se envían y reciben constantemente.
5. De potencia
La ecografía de potencia es una versión actualizada del Doppler color. Revela datos más puntuales del flujo sanguíneo. Sin embargo, no indica su dirección y esta es una información necesaria en muchos casos.
6. Transcraneal
La forma transcraneal es un examen que se usa sola o con otras pruebas adicionales, como la resonancia magnética, la tomografía computada (TC) y la angiografía por resonancia magnética. Sirve para observar el flujo de sangre hacia y dentro del cerebro.
¿Para qué se usa la ecografía Doppler?
La ultrasonografía Doppler es rápida y no incomoda al paciente. Por lo general, se aplica en el control del embarazo para verificar la circulación de la sangre entre la madre y el feto.
También es útil en los ecocardiogramas, para vigilar el flujo sanguíneo después de una operación cardiaca y descartar enfermedades trombóticas en venas o arterias. Entre otras varias afecciones, el examen permite detectar las siguientes:
- Insuficiencia venosa. Por ejemplo, cuando se acumula líquido en las venas de las piernas.
- Estenosis de la arteria carótida, debido al estrechamiento de alguna sección en el cuello, impidiendo la correcta llegada de sangre a la cabeza, la cara y el cerebro.
- Defectos en las válvulas cardiacas, incluso cuando son patologías congénitas.
- Aneurismas, causados por el ensanchamiento de las paredes de las arterias.
- Oclusión arterial o arterias bloqueadas.
- Enfermedad arterial periférica, si la sangre no circula a las piernas en cantidades adecuadas.
- Accidente cerebrovascular.
¿Cómo prepararse para una ecografía Doppler?
La ultrasonografía Doppler la realiza un profesional en una sala de ecografía, radiología, laboratorio vascular periférico o una habitación de hospital. Al tomar la cita, el médico suele indicar no fumar un par de horas antes del procedimiento. La Sociedad de Cirugía Vascular explica que la nicotina es un vasoconstrictor, lo que hace que las arterias del cuerpo se vuelvan más pequeñas, por lo que incide en los resultados del examen.
Dependiendo del estudio, es posible que se solicite ayunar varias horas antes. Será el profesional quien especifique la preparación necesaria para la prueba.
Para el examen en sí, que dura entre media y una hora, el paciente se acuesta en una camilla y deja al descubierto la parte del cuerpo por donde pasará el transductor. Para que el dispositivo deslice, el especialista esparce gel hidrosoluble en la piel. Después moverá el aparato y con la emisión de sonidos se formarán las imágenes.
¿Qué pueden indicar los resultados?
Se entienden como resultados normales aquellos en los que no hay evidencia de arterias con flujo sanguíneo reducido o vasos estrechados. También si no se detectan coágulos.
En cambio, los problemas se presentan si hay arterias obstruidas, aneurismas, venas con coágulos de sangre o cerradas, enfermedades arteriales espásticas por frío o emociones. Asimismo, son señales de cuidado la dilatación o estrechamiento de arterias y cuando la sangre se mueve en dirección contraria a la que debería, lo que se conoce como reflujo venoso.

¿La ecografía Doppler es una prueba segura?
Esta clase de ecografía no representa riesgo para los pacientes. Si bien no se experimenta dolor, es posible sentir un poco de presión durante la exploración con el transductor.
La técnica es bastante común en la medicina actual para llegar a diagnósticos certeros sin recurrir a intervencionismos. Al finalizar el examen, la persona puede reincorporarse a sus actividades diarias sin inconvenientes.
Todas las fuentes citadas fueron revisadas a profundidad por nuestro equipo, para asegurar su calidad, confiabilidad, vigencia y validez. La bibliografía de este artículo fue considerada confiable y de precisión académica o científica.
- Christian Johann Doppler. Historia de la medicina. España. https://www.historiadelamedicina.org/doppler.html
- Fumar y enfermedad vascular. Sociedad de Cirugía Vascular. Estados Unidos; 2018. https://vascular.org/sites/default/files/SVD_Flyer_Spanish_Form.pdf
- Grunert P. Paolinelli. Ecografía Doppler: principios y aplicaciones. Revista Médica de Clínica Las Condes. Chile; 2004. https://www.mendeley.com/catalogue/53507d53-bdb4-37ce-a904-cd04d7765393/
- Transductor de ecografía. Instituto Nacional del Cáncer. Estados Unidos. https://www.cancer.gov/espanol/publicaciones/diccionarios/diccionario-cancer/def/transductor-de-ecografia
Este texto se ofrece únicamente con propósitos informativos y no reemplaza la consulta con un profesional. Ante dudas, consulta a tu especialista.







