Espolones: causas y tratamientos


Revisado y aprobado por la médico Maricela Jiménez López
Los espolones calcáneos son un problema muy común. Suelen desarrollarse a causa de la calcificación del talón y provocan mucho dolor y problemas para movilizar la articulación del pie.
Pueden estar causados por múltiples causas, desde una mala postura, hasta el uso de cierto calzado inadecuado o cualquier elemento que pueda modificar la zona.
Cuando la inflamación del talón se agrava, esta puede provocar una fascitis plantar y las molestias podrían expandirse también al pie y los dedos.
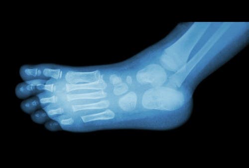
Para diagnosticar un espolón, los médicos suelen utilizar una radiografía común. No obstante, a simple vista también se pueden ver, ya que son unas pequeñas protuberancias causadas por la acumulación de calcio, como se ha mencionado antes.
A continuación, te contamos cuales son sus causas y los tratamientos disponibles.
Qué saber sobre los espolones

Según sugiere esta información de Fisio Online, entre los factores que desencadenan esta patología se encuentran las enfermedades reumáticas, la edad o el calzado inadecuado. También está relacionado con el sobrepeso, el pie plano o muy arqueado y las contracturas en el talón de Aquiles.
Los estiramientos continuados y excesivos de la fascia plantar (tejido que recubre los músculos del pie) son los que provocarían esta condición, así como la sensibilidad en la zona.
El espolón en sí no presenta ninguna sintomatología. No obstante, puede generar la denominada fascitis plantar, según expone este estudio realizado por un equipo del Hospital General Docente «Abel Santamaría Cuadrado» de Pinar Del Río (Cuba).
Esta condición puede surgir en la parte interna del talón, pero también en cualquiera de los cinco dedos. La sensación es dolorosa y punzante, pero suele desaparecer cuando el pie está en reposo.
Ver también: Cómo combatir los hongos en los pies con aloe vera
Cómo prevenir y tratar los espolones

Para evitar que se forme un espolón, primero es necesario prevenir la aparición de la fascitis plantar. Para ello, los médicos realizan un estudio detallado del pie y mediante unas plantillas personalizadas, evitan la sobrecarga y se neutralizan los desequilibrios al pisar, además de optimizar los apoyos.
Es preciso saber que los espolones no tienen una cura de un día para otro. El proceso puede llevar su tiempo y es preciso ser constante. Algunos tratamientos eficaces para reducir el dolor y la inflamación son:
Bolsa de hielo
El hielo podría funcionar como coadyuvante para aliviar la inflamación y atenuar levemente el dolor, según afirma este estudio realizado por un equipo de la Universidad de Las Américas (Chile).
- Coloca frío en la zona del talón durante 15 minutos, al menos, 2 veces al día.
- Pueden ser un par de cubos de hielo o una bolsa especial que se introduce en el congelador.
- Algunos hacen rodar el pie sobre una lata o una botella congelada.
Descanso
Es importante que el pie no esté continuamente trabajando. Trata de elevarlo a cada rato durante la jornada y por las noches duerme con un cojín puesto debajo del talón. De esta manera, la presión ejercida durante el día se reducirá y podrás descansar mejor.
Férula nocturna
Esta tablilla la receta el médico y se consigue en las tiendas de ortopedia. Ayuda a que la fascia plantar se estire mientras duermes.
Esta férula en forma de “L” permite que el pie se mantenga en su posición ideal durante la noche. No obstante, si te duele mucho puedes consultar con el podólogo si puedes usarla también durante el día.
Ejercicio

Si bien es verdad que la actividad física no siempre es una buena aliada de los espolones, algunas técnicas de estiramiento pueden ser de utilidad para fortalecer la zona. Así lo sugiere esta investigación del Hospital General Nuestra Señora del Prado (España).
Consulta con el podólogo qué tipo de ejercicios pueden ser recomendables, y bajo ningún concepto los realices sin su supervisión.
Algunos de los más comunes son:
- Estiramiento de gemelos. Ponte de pie frente a la pared y apoya las manos. Coloca un pie detrás del otro. Dobla la rodilla delantera un poco. Empuja las caderas hacia la pared y mantén durante 10 segundos.
- Estiramiento de la fascia plantar. Cruza el pie por encima de la rodilla de la otra pierna. Toma los dedos y empújalos con suavidad hacia ti. Mantén 10 segundos y vuelve a la posición habitual. Repite 20 veces y cambia de pie.
Te recomendamos leer: Cómo calmar la fascitis plantar con una pelota de tenis
Calzado

En primer lugar, es preciso que los zapatos que llevas sean de tu talla. De igual forma, procura que no te aprieten o te queden demasiado grandes.
A su vez, trata de no usar tacones si puedes evitarlo. Si tienes que ir a la oficina con un calzado de este tipo puedes llevarlos en el bolso y ponértelos al llegar al trabajo. Cuando estés viajando o en tu horario de almuerzo, cámbialos por unos más cómodos.
Prevenir es mejor que curar
Si ya tienes un espolón, es recomendable que uses aparatos ortopédicos. Puedes probar con una talonera para calzarte, unas plantillas especiales para cada zapato o productos personalizados (almohadillas o esponjas para dedos, por citar algunos).
De la misma forma, recuerda que no basta con utilizar un aparato específico: debes modificar ciertos hábitos relacionados con tu condición (sobre todo, si padeces obesidad o sobrepeso).
Consulta con tu podólogo cualquier duda que tengas al respecto. Aunque este problema no presenta gravedad, puede empeorar en gran medida tu calidad de vida.
Los espolones calcáneos son un problema muy común. Suelen desarrollarse a causa de la calcificación del talón y provocan mucho dolor y problemas para movilizar la articulación del pie.
Pueden estar causados por múltiples causas, desde una mala postura, hasta el uso de cierto calzado inadecuado o cualquier elemento que pueda modificar la zona.
Cuando la inflamación del talón se agrava, esta puede provocar una fascitis plantar y las molestias podrían expandirse también al pie y los dedos.
Para diagnosticar un espolón, los médicos suelen utilizar una radiografía común. No obstante, a simple vista también se pueden ver, ya que son unas pequeñas protuberancias causadas por la acumulación de calcio, como se ha mencionado antes.
A continuación, te contamos cuales son sus causas y los tratamientos disponibles.
Qué saber sobre los espolones

Según sugiere esta información de Fisio Online, entre los factores que desencadenan esta patología se encuentran las enfermedades reumáticas, la edad o el calzado inadecuado. También está relacionado con el sobrepeso, el pie plano o muy arqueado y las contracturas en el talón de Aquiles.
Los estiramientos continuados y excesivos de la fascia plantar (tejido que recubre los músculos del pie) son los que provocarían esta condición, así como la sensibilidad en la zona.
El espolón en sí no presenta ninguna sintomatología. No obstante, puede generar la denominada fascitis plantar, según expone este estudio realizado por un equipo del Hospital General Docente «Abel Santamaría Cuadrado» de Pinar Del Río (Cuba).
Esta condición puede surgir en la parte interna del talón, pero también en cualquiera de los cinco dedos. La sensación es dolorosa y punzante, pero suele desaparecer cuando el pie está en reposo.
Ver también: Cómo combatir los hongos en los pies con aloe vera
Cómo prevenir y tratar los espolones

Para evitar que se forme un espolón, primero es necesario prevenir la aparición de la fascitis plantar. Para ello, los médicos realizan un estudio detallado del pie y mediante unas plantillas personalizadas, evitan la sobrecarga y se neutralizan los desequilibrios al pisar, además de optimizar los apoyos.
Es preciso saber que los espolones no tienen una cura de un día para otro. El proceso puede llevar su tiempo y es preciso ser constante. Algunos tratamientos eficaces para reducir el dolor y la inflamación son:
Bolsa de hielo
El hielo podría funcionar como coadyuvante para aliviar la inflamación y atenuar levemente el dolor, según afirma este estudio realizado por un equipo de la Universidad de Las Américas (Chile).
- Coloca frío en la zona del talón durante 15 minutos, al menos, 2 veces al día.
- Pueden ser un par de cubos de hielo o una bolsa especial que se introduce en el congelador.
- Algunos hacen rodar el pie sobre una lata o una botella congelada.
Descanso
Es importante que el pie no esté continuamente trabajando. Trata de elevarlo a cada rato durante la jornada y por las noches duerme con un cojín puesto debajo del talón. De esta manera, la presión ejercida durante el día se reducirá y podrás descansar mejor.
Férula nocturna
Esta tablilla la receta el médico y se consigue en las tiendas de ortopedia. Ayuda a que la fascia plantar se estire mientras duermes.
Esta férula en forma de “L” permite que el pie se mantenga en su posición ideal durante la noche. No obstante, si te duele mucho puedes consultar con el podólogo si puedes usarla también durante el día.
Ejercicio

Si bien es verdad que la actividad física no siempre es una buena aliada de los espolones, algunas técnicas de estiramiento pueden ser de utilidad para fortalecer la zona. Así lo sugiere esta investigación del Hospital General Nuestra Señora del Prado (España).
Consulta con el podólogo qué tipo de ejercicios pueden ser recomendables, y bajo ningún concepto los realices sin su supervisión.
Algunos de los más comunes son:
- Estiramiento de gemelos. Ponte de pie frente a la pared y apoya las manos. Coloca un pie detrás del otro. Dobla la rodilla delantera un poco. Empuja las caderas hacia la pared y mantén durante 10 segundos.
- Estiramiento de la fascia plantar. Cruza el pie por encima de la rodilla de la otra pierna. Toma los dedos y empújalos con suavidad hacia ti. Mantén 10 segundos y vuelve a la posición habitual. Repite 20 veces y cambia de pie.
Te recomendamos leer: Cómo calmar la fascitis plantar con una pelota de tenis
Calzado

En primer lugar, es preciso que los zapatos que llevas sean de tu talla. De igual forma, procura que no te aprieten o te queden demasiado grandes.
A su vez, trata de no usar tacones si puedes evitarlo. Si tienes que ir a la oficina con un calzado de este tipo puedes llevarlos en el bolso y ponértelos al llegar al trabajo. Cuando estés viajando o en tu horario de almuerzo, cámbialos por unos más cómodos.
Prevenir es mejor que curar
Si ya tienes un espolón, es recomendable que uses aparatos ortopédicos. Puedes probar con una talonera para calzarte, unas plantillas especiales para cada zapato o productos personalizados (almohadillas o esponjas para dedos, por citar algunos).
De la misma forma, recuerda que no basta con utilizar un aparato específico: debes modificar ciertos hábitos relacionados con tu condición (sobre todo, si padeces obesidad o sobrepeso).
Consulta con tu podólogo cualquier duda que tengas al respecto. Aunque este problema no presenta gravedad, puede empeorar en gran medida tu calidad de vida.
Todas las fuentes citadas fueron revisadas a profundidad por nuestro equipo, para asegurar su calidad, confiabilidad, vigencia y validez. La bibliografía de este artículo fue considerada confiable y de precisión académica o científica.
- Chundru, U., Liebeskind, A., Seidelmann, F., Fogel, J., Franklin, P., & Beltran, J. (2008). Plantar fasciitis and calcaneal spur formation are associated with abductor digiti minimi atrophy on MRI of the foot. Skeletal Radiology. https://doi.org/10.1007/s00256-008-0455-2
- Prichasuk. (1994). The relationship of pes planus and calcaneal spur to plantar heel pain. Clinical Orthopaedics and Related Research.
- Zhou, B., Zhou, Y., Tao, X., Yuan, C., & Tang, K. (2015). Classification of Calcaneal Spurs and Their Relationship With Plantar Fasciitis. Journal of Foot and Ankle Surgery. https://doi.org/10.1053/j.jfas.2014.11.009
- VV.AA. (2015). Fascitis Plantar. http://scielo.sld.cu/scielo.php?script=sci_arttext&pid=S1561-31942015000200005
- Fisioterapia Online. https://www.fisioterapia-online.com/articulos/espolon-calcaneo-causas-sintomas-y-tratamiento
- VV.AA. (2010).Revisión sistemática sobre el efecto analgésico de la crioterapia en el manejo del dolor de origen músculo esquelético. http://scielo.isciii.es/scielo.php?script=sci_arttext&pid=S1134-80462010000500005
- Díaz López, Ana María., Guzmán Carrasco, Patricia. (2014). Efectividad de las distintas terapias físicas en el tratamiento conservador de la fascitis plantar. Revisión sistemática.
- Fascitis Plantar. https://fascitisplantar.info/la-fascitis-plantar-y-el-calcetin-de-estrasburgo
Este texto se ofrece únicamente con propósitos informativos y no reemplaza la consulta con un profesional. Ante dudas, consulta a tu especialista.