Leucemia de células pilosas: causas, síntomas y tratamiento


Escrito y verificado por el biólogo Samuel Antonio Sánchez Amador
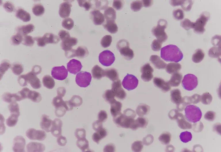
La leucemia de las células pilosas o tricoleucemia es un cáncer por el cual la médula ósea del paciente produce demasiados linfocitos B, un tipo de glóbulo blanco típico de la respuesta inmune adaptativa. Los linfocitos anormales presentan una apariencia «vellosa» al microscopio, de ahí el nombre de la patología.
Como la cantidad de linfocitos B anormales aumenta en la sangre, la proporción de leucocitos sanos, glóbulos rojos y plaquetas disminuye, con todos los efectos fisiológicos que esto conlleva. Si quieres conocer las causas, síntomas y tratamiento de esta enfermedad, continúa leyendo.
¿Quién está en riesgo?
Tal y como indica un artículo publicado en Cancer Therapy Advisor, la leucemia de células pilosas (o HCL, por su traducción al inglés Hairy Cell Leukemia) representa el 2 % de las leucemias totales, con una incidencia anual de 1 caso por cada 500 000 habitantes. Los hombres son mucho más proclives a sufrirla; en particular 5 veces más.
Por otro lado, la edad promedio de su aparición es de 55 años. Por ello, el paciente típico es un hombre de mediana/avanzada edad con signos clínicos como fatiga, cansancio y pérdida de peso. Según la Clínica Mayo, existen 2 factores predisponentes más allá del género y la vejez. Estos son los siguientes:
- Exposición a la radiación: las personas que trabajan en entornos radioactivos o han sido sometidas a radioterapias para acabar con un cáncer pueden presentar más probabilidades de desarrollar una leucemia de las células pilosas. Aun así, todavía no existen pruebas concluyentes de ello.
- Exposición a sustancias químicas: la exposición prolongada a los agroquímicos y compuestos industriales podría promover esta patología, aunque aún no se ha confirmado.

Para saber más: Leucemia linfoide aguda: tratamientos
¿Qué síntomas causa la leucemia de células pilosas?
Como hemos dicho, la leucemia de las células pilosas es un tipo de cáncer que afecta a la sangre y a la médula ósea. Este suele progresar de forma lenta o, en su defecto, no empeorar en absoluto. Tal y como indica la Biblioteca Nacional de Medicina de Estados Unidos, algunos de los signos clínicos más comunes son los siguientes:
- Tendencia a la formación de hematomas o sangrado. Esto suele ser un signo de la disminución de plaquetas en sangre.
- Sudoración profusa, sobre todo por las noches.
- Una sensación de saciedad abdominal (bazo agrandado) que puede hacer que sea un poco incómodo comer en ciertas ocasiones o en grandes cantidades. Esto puede provocar una pérdida de peso no buscada.
- Infecciones y fiebres recurrentes, debido a que el sistema inmune se ha debilitado.
- Fatiga y cansancio.
- Linfadenopatía, o lo que es lo mismo, ganglios linfáticos inflamados.
Como podrás comprobar, muchos de estos signos clínicos son típicos de otras patologías. Por ello, esta enfermedad se suele diagnosticar de forma accidental en un análisis de sangre rutinario.
Síntomas graves
La leucemia de las células pilosas progresa de forma lenta y, en ocasiones, permanece estable durante varios años sin necesidad de que se aborde médicamente. La tasa de supervivencia tras 5 años del diagnóstico es del 90 %.
De todas formas, una tricoleucemia sin tratar puede llegar a desplazar a los glóbulos blancos sanos de la médula ósea y a los eritrocitos circulantes, lo que se traduce en infecciones graves, anemia y sangrado. Son enfermedades secundarias al cáncer que pueden llegar a ser peligrosas.
¿Cómo se diagnostica?
Según la revista Leukemia & Lymphoma, existen diferentes métodos diagnósticos que pueden ayudar a los profesionales médicos a diagnosticar una tricoleucemia. Estos son los siguientes:
- Examen físico y antecedentes de salud: la inflamación del bazo, los nódulos linfáticos agrandados o la presencia anormal de hematomas se pueden observar en un examen físico directo. Desde luego, esto no resulta una confirmación de la enfermedad en ningún caso.
- Recuento sanguíneo completo (RSC): se utiliza para detectar la cantidad de glóbulos rojos en sangre, que puede disminuir a medida que la enfermedad progresa.
- Frotis de sangre periférica: se analiza al microscopio una pequeña muestra de sangre del paciente. Aquí se pueden observar a los linfocitos pilosos ya descritos.
- Estudios bioquímicos de la sangre, aspiración y biopsia de la médula ósea, pruebas genéticas, tomografía computerizada (TC) y otras pruebas diagnósticas específicas.
Tratamientos de la leucemia de las células pilosas
No siempre es necesario empezar un tratamiento para la leucemia de las células pilosas una vez se ha diagnosticado. Según el Instituto Nacional del Cáncer, en los casos no sintomáticos se realiza un seguimiento cauteloso del paciente para ver si desarrolla signos clínicos, aunque esto puede tardar mucho tiempo.
Una vez se desarrolla el cuadro antes descrito, se puede recurrir a la quimioterapia (medicamentos que interrumpen la formación de células cancerosas), la inmunoterapia (se utiliza el propio sistema inmune del paciente para destruir el cáncer) o una cirugía, como la extracción del bazo si fuese necesario.
La terapia dirigida es un campo muy prometedor contra esta enfermedad.
De todas formas, ante la administración de ciertos fármacos (2-clorodesoxiadenosina 2-CdA, pentostatina o interferón α), la tasa de supervivencia a los 5 años de los pacientes con tricoleucemia en estado avanzado es de más del 85 %. Esto significa que, hasta en los casos más severos, la muerte no se suele concebir como algo seguro.

Desarrollo de la leucemia de las células pilosas
Una publicación de Leukemia and Lymphoma Society nos muestra el desarrollo de la enfermedad. Se puede resumir en los siguientes puntos:
- Las células que dan lugar a los linfocitos normales sufren una mutación adquirida en su ADN, lo que promueve la formación de los linfocitos pilosos en vez de los normales.
- Los linfocitos pilosos no poseen capacidad inmune y se acumulan en la médula ósea, hígado y bazo, de ahí que a veces este último tenga que extraerse.
- Los linfocitos pilosos se multiplican de manera descontrolada, lo que desplaza al resto de leucocitos, eritrocitos y plaquetas.
- Esto se traduce en falta de glóbulos rojos (anemia), deficiencia de glóbulos blancos (neutropenia) y falta de plaquetas en sangre (trombocitopenia).
Quizás te pueda interesar: Tratamiento de la leucemia: presente y futuro
¿Qué hay que recordar sobre esta enfermedad?
La leucemia de las células pilosas es un tipo de cáncer muy atípico, pues no tiene por qué requerir un tratamiento inmediato ni presenta un riesgo de metástasis evidente. Muchos pacientes pueden vivir durante varios años sin tratamiento y, una vez se aborda clínicamente, su vida puede alargarse de manera considerable.
Ningún cáncer es el fin del camino hasta que llega la metástasis, pero en este caso, menos aún. Existen muchos tratamientos disponibles y las investigaciones médicas auguran un futuro cada vez más prometedor para los pacientes.
Todas las fuentes citadas fueron revisadas a profundidad por nuestro equipo, para asegurar su calidad, confiabilidad, vigencia y validez. La bibliografía de este artículo fue considerada confiable y de precisión académica o científica.
- Leucemia de las células pilosas, mayoclinic.org. Recogido a 15 de enero en https://www.mayoclinic.org/es-es/diseases-conditions/hairy-cell-leukemia/symptoms-causes/syc-20372956
- Leucemia de las células pilosas, Medlineplus.gov. Recogido a 15 de enero en https://medlineplus.gov/spanish/ency/article/000592.htm
-
Summers TA, Jaffe ES. Hairy cell leukemia diagnostic criteria and differential diagnosis. Leuk Lymphoma. 2011 Jun;52 Suppl 2(Suppl 2):6-10. doi: 10.3109/10428194.2011.565435. Epub 2011 Mar 21. PMID: 21417827; PMCID: PMC6331060.
- Leucemia de las células pilosas, NIH. Recogido a 15 de enero en https://www.cancer.gov/espanol/tipos/leucemia/paciente/tratamiento-celulas-pilosas-pdq#:~:text=posibilidad%20de%20recuperaci%C3%B3n
- Hairy Cell Leukemia, Leukemia and Lymphoma society. Recogido a 15 de enero en https://www.lls.org/leukemia/hairy-cell-leukemia
Este texto se ofrece únicamente con propósitos informativos y no reemplaza la consulta con un profesional. Ante dudas, consulta a tu especialista.