¿Qué es la pérdida de encía?


Escrito y verificado por el odontólogo Gabriel Alejandro Rojo Pittatore
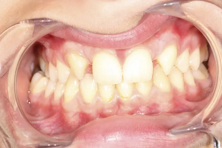
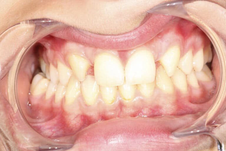
La pérdida de encía es un problema común que suele causar preocupación en los pacientes. No únicamente por el problema estético al que conlleva, sino también por los graves problemas en los que puede derivar en caso de no tratarlo de manera adecuada. ¿En qué consiste?
La encía no desaparece como tal, sino que va migrando hacia la raíz del diente, provocando la exposición dentaria y produciendo un efecto visual de diente más largo y espacios oscuros entre los dientes.
¿Por qué se produce la retracción gingival?
Como lo recopila una investigación publicada a través de Dental Press Journal of Orthodontics, existen múltiples causas que pueden provocar la pérdida de encía o retracción gingival. Las más frecuentes son las siguientes:
- Bruxismo.
- Gingivitis.
- Periodontitis.
- Tabaquismo.
- Extracciones dentarias.
- Traumatismos oclusales.
- Ortodoncia mal realizada.
- Cepillado dental muy agresivo.
- Enfermedades como la diabetes.
En el siguiente espacio nos centraremos en las causas más importantes.

Gingivitis
La gingivitis provocada por una mala higiene bucal desemboca en una inflamación de las encías. La acumulación progresiva de placa conlleva la formación de cálculos denominados sarro. Estos cálculos dentales están recubiertos por bacterias y sólo pueden eliminarse mediante una limpieza realizada por un profesional.
Esta patología es todavía reversible, en ella apreciamos a parte de la inflamación, sangrado y dolor de las encías al cepillado. Afecta a cerca del 90% de la población. En caso de no ser tratada, puede desembocar en periodontitis.
No te pierdas: ¿Qué es y cómo se forma la caries?
Periodontitis
Esta patología puede desarrollarse tras una gingivitis sin tratamiento. Aparte de la inflamación y el sangrado de las encías, empieza a presentarse una pérdida de hueso alveolar, provocando bolsas periodontales. También encontramos supuración de las piezas dentales y movilidad.
Esta enfermedad destruye todo el tejido que rodea al diente, pudiendo llegar a perder las piezas dentales si no es tratada. A diferencia de la gingivitis, no es reversible. Todo el tejido que se pierda no puede volver a recuperarse.
Tabaquismo
El tabaco, aparte de pigmentar los dientes y la encías, contiene sustancias vasoconstrictoras. Estas sustancias disminuyen el flujo de riego sanguíneo a las encías, provocando un enmascaramiento de los síntomas tanto de la gingivitis como de la periodontitis.
También afecta al sistema inmune, aumentando el daño que pueden cometer las bacterias intraorales y, por tanto, incrementando así el avance de las enfermedades periodontales.

Cepillado dental agresivo
El cepillado agresivo, empleando un cepillo de cerdas duras o apretando demasiado sobre el diente, puede provocar abrasiones en el esmalte y dañar las encías, produciendo su retracción.
Ortodoncia mal realizada
Sucede cuando durante el tratamiento de ortodoncia se realizan movimientos bruscos o mayores de los que el hueso pueda asimilar. En este caso, podemos sacar los dientes de las tablas óseas, produciendo con seguridad un problema de encías en el futuro.
Factores de riesgo de la enfermedad periodontal
- Genética: predispone a ciertas personas a presentar enfermedad periodontal con más facilidad.
- Enfermedades sistémicas: aquellas enfermedades que afecten al sistema inmunitario favorecen la actuación de las bacterias.
- Higiene: una deficiencia en la higiene provoca la acumulación de placa, uno de los desencadenantes de la pérdida de encía.
- Estrés: estudios han demostrado la relación entre el estrés y la enfermedad periodontal.
Descubre: Perjuicios del tabaco en la cavidad oral
Tratamientos para la pérdida de encía
Lo primero es eliminar la causa de la pérdida de encía, intentando que la encía vuelva a su posición natural. Por ejemplo, si la causa es la técnica de cepillado, corregirla.
Si el origen de la pérdida de encía es debido a la enfermedad peridontal, bien sea la gingivitis o la periodontitis, debemos tratar la enfermedad mediante una limpieza profesional, un raspado y alisado radicular.
En estos casos, también es muy importante el seguimiento de la evolución del paciente y su colaboración en casa con un buen cepillado y una correcta higiene.
Una vez encontrado y controlado el desencadenante de la retracción gingival, en caso de que no se solucione de forma espontánea, existen distintos tratamientos con los que podemos mejorar esa recesión.

Injerto de encía
Uno de los tratamientos para corregir las recesiones gingivales son los microinjertos. Consiste en injertar tejido del paladar, tomado mediante una incisión muy pequeña, y cubrir la zona que queremos recuperar. Es una cirugía mínimamente invasiva que se puede realizar de forma muy sencilla y con pocas molestias para el paciente.
Colgajo de encía
Otra forma de recuperar encía, sin necesidad de realizar un injerto, es posicionando la encía hacía el espacio necesario, como si la estirásemos pudiendo así cubrir la raíz del diente.
En resumen
La pérdida de la encía es una condición en la cual la encía va migrando hacia la raíz del diente. Más allá de ser un problema estético, acarrea consecuencias importantes en la salud oral. Por eso, ante sus primeras señales es primordial solicitar atención profesional.
Todas las fuentes citadas fueron revisadas a profundidad por nuestro equipo, para asegurar su calidad, confiabilidad, vigencia y validez. La bibliografía de este artículo fue considerada confiable y de precisión académica o científica.
- Jati AS, Furquim LZ, Consolaro A. Gingival recession: its causes and types, and the importance of orthodontic treatment. Dental Press J Orthod. 2016;21(3):18–29. doi:10.1590/2177-6709.21.3.018-029.oin
- Pradeep K, Rajababu P, Satyanarayana D, Sagar V. Gingival recession: review and strategies in treatment of recession. Case Rep Dent. 2012;2012:563421. doi:10.1155/2012/563421
- Khan SA, Kong EF, Meiller TF, Jabra-Rizk MA. Periodontal Diseases: Bug Induced, Host Promoted. PLoS Pathog. 2015;11(7):e1004952. Published 2015 Jul 30. doi:10.1371/journal.ppat.1004952
- Leite, F. R. M., Nascimento, G. G., Scheutz, F., & López, R. (2018, June 1). Effect of Smoking on Periodontitis: A Systematic Review and Meta-regression. American Journal of Preventive Medicine. Elsevier Inc. https://doi.org/10.1016/j.amepre.2018.02.014
- Goyal S, Gupta G, Thomas B, Bhat KM, Bhat GS. Stress and periodontal disease: The link and logic!!. Ind Psychiatry J. 2013;22(1):4–11. doi:10.4103/0972-6748.123585
Este texto se ofrece únicamente con propósitos informativos y no reemplaza la consulta con un profesional. Ante dudas, consulta a tu especialista.







