10 formas de eliminar la placa dental naturalmente


Revisado y aprobado por el médico Nelton Abdon Ramos Rojas
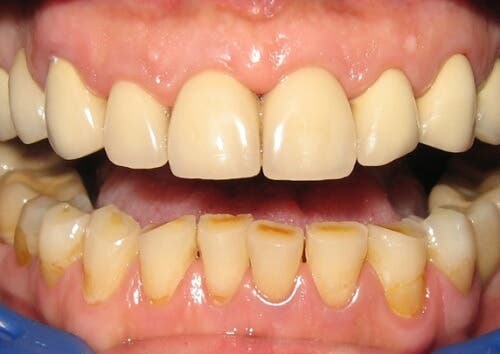
Tras ingerir alimentos es recomendable lavar los dientes para eliminar los residuos. Y es que, sin notarlo, en nuestra dentadura se va formando una sustancia pegajosa, que pasa de transparente a blanca, llamada placa. Esta sustancia llamada placa dental, si no se elimina con frecuencia, se endurece hasta convertirse en el temido sarro.
Por suerte, es posible eliminar la placa dental mediante técnicas naturales en casa. Lo importante es evitar que crezca hasta convertirse en un problema.
La importancia de una correcta higiene bucal
Cuando se trata de evitarnos problemas dentales, la higiene es, sin duda, la mejor de las opciones. Los dientes que se limpian correctamente son menos propensos a sufrir infecciones y a la proliferación de bacterias bucales.
Lee también: Tips para evitar problemas de salud bucal
Remedios para eliminar la placa dental naturalmente
Hay recetas prácticas que ayudan a eliminar la placa naturalmente sin salir de casa. Te contamos sobre algunas de las más efectivas:
1. Infusión de ajenjo de montaña
En tiendas naturistas puedes encontrar el ajenjo de montaña. Esta es una planta muy beneficiosa para tu boca, ya que según este estudio realizado por el Centro de Investigación y Desarrollo de Medicamentos de Cuba, tiene propiedades antisépticas de gran acción, y además su fuerte aroma ayuda a combatir la halitosis.
- Prepara una infusión con una cucharada de ajenjo en una taza de agua. Utilízala para cepillarte o para enjuagar varias veces.
2. Vinagre de manzana

Es un gran aliado para la limpieza bucal pues elimina las bacterias que causan la placa dental, según afirma esta investigación realizada por la Universidad Middlesex de Reino Unido. Además, también actúa como un blanqueador ya que ayuda a equilibrar el pH del ácido y de esta manera, aclara los dientes.
- Puedes elegir enjuagar con el vinagre puro, para luego aclarar con agua.
- También puedes mezclar en partes iguales el agua y el vinagre para hacer enjuagues en la mañana y antes de dormir.
3. Infusión de cáscara de nuez
Las nueces son un alimento rico en fósforo, este mineral es necesario para nuestros huesos y dientes, al igual que el calcio, de manera que es utilizado por el cuerpo para la reparación de células y tejidos y ayuda a aliviar el dolor muscular, tal y como afirma este informe obtenido por la Universidad Estatal de Oregón (Estados Unidos). Puedes cepillarte con esta infusión de cáscara de nuez o bien, sumergir el cepillo en ella.
- Calienta la cáscara de nuez en un recipiente con agua.
- Cuando llegue a ebullición, deja que infusione durante 5 minutos.
- Deja reposar otros 15 minutos antes de usar.
4. Aceite esencial de romero
Este aceite es desinfectante y ayuda a eliminar las bacterias de la boca, tal y como afirma este estudio realizado por la Universidad de Murcia (España). Por lo tanto, puede evitar la acumulación de placa y sarro, y además ayuda a mejorar el mal aliento.
- Mezcla 2 o 3 gotas del aceite esencial de romero con una cuchara de agua.
- Enjuagate con esa mezcla, pasándola por tus dientes durante unos minutos. Pero no te trates la mezcla.
- Escúpela y cepilla tus dientes como lo harías normalmente
5. Aloe vera
El aloe vera es un antimicrobiano que podría ayudar a eliminar las bacterias que causan la placa dental, combatiendo, además, el mal aliento. Así lo afirma este estudio llevado a cabo por el New Horizon Dental College and Research Institute (India).
- Extrae el gel de la planta de aloe vera y frótalo directamente en las encías y dientes.
- Déjalo por unos minutos y después enjuagate. Si puedes, repite este procedimiento varias veces al día, cuando vayas a lavarte los dientes.
6. Bicarbonato de sodio

Según esta investigación realizada por la Universidad de Iowa (Estados Unidos). El bicarbonato de sodio es uno de los productos más eficaces como remedio casero para eliminar la placa dental, ya que neutraliza los ácidos de la boca, al igual que el vinagre de manzana, reduciendo las bacterias, y también ayuda a blanquear el color de los dientes.
- Coloca un poco de bicarbonato de sodio en tu cepillo de dientes previamente mojado y cepillate como lo harías normalmente. Luego enjuágate bien.
- También puedes mezclar el bicarbonato con un poco de sal.
- Otra opción sería mezclar el bicarbonato con limón y seguir el mismo procedimiento de limpieza.
No uses el bicarbonato de sodio en exceso, porque puede dañar el esmalte dental.
7. Cáscara de naranja
La cáscara de naranja es una fuente de vitamina C que ayuda a combatir las bacterias y prevenir la placa dental de manera natural, gracias a, según este estudio realizado por la Universidad de Zaragoza (España), limoneno de la cáscara de naranja. Además es un blanqueador natural de los dientes.
- Simplemente, tras comerte una naranja, usa la cáscara para frotar tus dientes con ella durante unos minutos.
- Luego enjuagate la boca, y si puedes, repite el procedimiento varias veces al día.
8. Peróxido de hidrógeno
El agua oxigenada es el antiséptico bucal por excelencia, pero debes utilizarla bajo la supervisión de un dentista.
- Los enjuagues bucales diarios previenen la placa dental y logran mejorarla.
9. Pasta dental de aceite de coco y bicarbonato
El aceite de coco es un ácido láurico que ayuda con su acción antimicrobiana y antibacteriana, según asegura este estudio realizado por la Universidad Estatal de Santa Cruz (Brasil). Además, también ayuda a reducir el mal aliento.
- Basta con mezclar en partes iguales bicarbonato y aceite de coco.
- Luego, toma un poco de esta mezcla con el cepillo de dientes y limpia como siempre tu boca.
- Puedes hacer la cantidad suficiente para varios días y guardarla en un frasco de vidrio bien cerrado.
10. Semillas de sésamo
Se cree que las semillas de sésamo actúan como un exfoliante natural y ayudan a la eliminación del sarro. Sin embargo, apenas existen evidencias científicas que lo avalen.
Lo que sí está comprobado es que contienen calcio, por lo que son beneficiosas para la salud de nuestros huesos y dientes. Puedes usarlas durante tu limpieza bucal diaria.
- Puedes masticarlas durante varios minutos, frotándolas en tus dientes para quitar suavemente la placa dental.
- Después, retira los excesos.
- Para terminar, cepilla de forma acostumbrada con tu pasta dental.
Pasos para eliminar la placa dental
Existen dos pasos que son fundamentales, tanto para una limpieza efectiva como para eliminar la placa dental:
1. Correcto cepillado
El tiempo que dura tu cepillado es determinante. Dedícate con calma al aseo de tus dientes.
- Elige un cepillo de cerdas suaves y redondas que no causen heridas en tus encías.
- Utiliza una crema dental adecuada, incluye la seda dental y finaliza con un enjuague bucal de buena calidad.
- Debes hacerlo, por lo menos, dos veces al día.
Lee también: 14 razones por las que te sangran las encías al cepillarte los dientes
2. Enjuague constante
Procura enjuagar tu boca tras cada comida. No necesariamente debes cepillar con dedicación, pero sí es importante que los residuos no permanezcan por mucho tiempo entre tus dientes.
Puedes solo enjuagar con agua, con enjuagues antiplaca o los que te hemos recomendado.
Como has podido ver, eliminar la placa dental naturalmente es posible. No obstante, recuerda que el éxito también depende de la prevención, que incluye la visita periódica a tu odontólogo.
Tras ingerir alimentos es recomendable lavar los dientes para eliminar los residuos. Y es que, sin notarlo, en nuestra dentadura se va formando una sustancia pegajosa, que pasa de transparente a blanca, llamada placa. Esta sustancia llamada placa dental, si no se elimina con frecuencia, se endurece hasta convertirse en el temido sarro.
Por suerte, es posible eliminar la placa dental mediante técnicas naturales en casa. Lo importante es evitar que crezca hasta convertirse en un problema.
La importancia de una correcta higiene bucal
Cuando se trata de evitarnos problemas dentales, la higiene es, sin duda, la mejor de las opciones. Los dientes que se limpian correctamente son menos propensos a sufrir infecciones y a la proliferación de bacterias bucales.
Lee también: Tips para evitar problemas de salud bucal
Remedios para eliminar la placa dental naturalmente
Hay recetas prácticas que ayudan a eliminar la placa naturalmente sin salir de casa. Te contamos sobre algunas de las más efectivas:
1. Infusión de ajenjo de montaña
En tiendas naturistas puedes encontrar el ajenjo de montaña. Esta es una planta muy beneficiosa para tu boca, ya que según este estudio realizado por el Centro de Investigación y Desarrollo de Medicamentos de Cuba, tiene propiedades antisépticas de gran acción, y además su fuerte aroma ayuda a combatir la halitosis.
- Prepara una infusión con una cucharada de ajenjo en una taza de agua. Utilízala para cepillarte o para enjuagar varias veces.
2. Vinagre de manzana

Es un gran aliado para la limpieza bucal pues elimina las bacterias que causan la placa dental, según afirma esta investigación realizada por la Universidad Middlesex de Reino Unido. Además, también actúa como un blanqueador ya que ayuda a equilibrar el pH del ácido y de esta manera, aclara los dientes.
- Puedes elegir enjuagar con el vinagre puro, para luego aclarar con agua.
- También puedes mezclar en partes iguales el agua y el vinagre para hacer enjuagues en la mañana y antes de dormir.
3. Infusión de cáscara de nuez
Las nueces son un alimento rico en fósforo, este mineral es necesario para nuestros huesos y dientes, al igual que el calcio, de manera que es utilizado por el cuerpo para la reparación de células y tejidos y ayuda a aliviar el dolor muscular, tal y como afirma este informe obtenido por la Universidad Estatal de Oregón (Estados Unidos). Puedes cepillarte con esta infusión de cáscara de nuez o bien, sumergir el cepillo en ella.
- Calienta la cáscara de nuez en un recipiente con agua.
- Cuando llegue a ebullición, deja que infusione durante 5 minutos.
- Deja reposar otros 15 minutos antes de usar.
4. Aceite esencial de romero
Este aceite es desinfectante y ayuda a eliminar las bacterias de la boca, tal y como afirma este estudio realizado por la Universidad de Murcia (España). Por lo tanto, puede evitar la acumulación de placa y sarro, y además ayuda a mejorar el mal aliento.
- Mezcla 2 o 3 gotas del aceite esencial de romero con una cuchara de agua.
- Enjuagate con esa mezcla, pasándola por tus dientes durante unos minutos. Pero no te trates la mezcla.
- Escúpela y cepilla tus dientes como lo harías normalmente
5. Aloe vera
El aloe vera es un antimicrobiano que podría ayudar a eliminar las bacterias que causan la placa dental, combatiendo, además, el mal aliento. Así lo afirma este estudio llevado a cabo por el New Horizon Dental College and Research Institute (India).
- Extrae el gel de la planta de aloe vera y frótalo directamente en las encías y dientes.
- Déjalo por unos minutos y después enjuagate. Si puedes, repite este procedimiento varias veces al día, cuando vayas a lavarte los dientes.
6. Bicarbonato de sodio

Según esta investigación realizada por la Universidad de Iowa (Estados Unidos). El bicarbonato de sodio es uno de los productos más eficaces como remedio casero para eliminar la placa dental, ya que neutraliza los ácidos de la boca, al igual que el vinagre de manzana, reduciendo las bacterias, y también ayuda a blanquear el color de los dientes.
- Coloca un poco de bicarbonato de sodio en tu cepillo de dientes previamente mojado y cepillate como lo harías normalmente. Luego enjuágate bien.
- También puedes mezclar el bicarbonato con un poco de sal.
- Otra opción sería mezclar el bicarbonato con limón y seguir el mismo procedimiento de limpieza.
No uses el bicarbonato de sodio en exceso, porque puede dañar el esmalte dental.
7. Cáscara de naranja
La cáscara de naranja es una fuente de vitamina C que ayuda a combatir las bacterias y prevenir la placa dental de manera natural, gracias a, según este estudio realizado por la Universidad de Zaragoza (España), limoneno de la cáscara de naranja. Además es un blanqueador natural de los dientes.
- Simplemente, tras comerte una naranja, usa la cáscara para frotar tus dientes con ella durante unos minutos.
- Luego enjuagate la boca, y si puedes, repite el procedimiento varias veces al día.
8. Peróxido de hidrógeno
El agua oxigenada es el antiséptico bucal por excelencia, pero debes utilizarla bajo la supervisión de un dentista.
- Los enjuagues bucales diarios previenen la placa dental y logran mejorarla.
9. Pasta dental de aceite de coco y bicarbonato
El aceite de coco es un ácido láurico que ayuda con su acción antimicrobiana y antibacteriana, según asegura este estudio realizado por la Universidad Estatal de Santa Cruz (Brasil). Además, también ayuda a reducir el mal aliento.
- Basta con mezclar en partes iguales bicarbonato y aceite de coco.
- Luego, toma un poco de esta mezcla con el cepillo de dientes y limpia como siempre tu boca.
- Puedes hacer la cantidad suficiente para varios días y guardarla en un frasco de vidrio bien cerrado.
10. Semillas de sésamo
Se cree que las semillas de sésamo actúan como un exfoliante natural y ayudan a la eliminación del sarro. Sin embargo, apenas existen evidencias científicas que lo avalen.
Lo que sí está comprobado es que contienen calcio, por lo que son beneficiosas para la salud de nuestros huesos y dientes. Puedes usarlas durante tu limpieza bucal diaria.
- Puedes masticarlas durante varios minutos, frotándolas en tus dientes para quitar suavemente la placa dental.
- Después, retira los excesos.
- Para terminar, cepilla de forma acostumbrada con tu pasta dental.
Pasos para eliminar la placa dental
Existen dos pasos que son fundamentales, tanto para una limpieza efectiva como para eliminar la placa dental:
1. Correcto cepillado
El tiempo que dura tu cepillado es determinante. Dedícate con calma al aseo de tus dientes.
- Elige un cepillo de cerdas suaves y redondas que no causen heridas en tus encías.
- Utiliza una crema dental adecuada, incluye la seda dental y finaliza con un enjuague bucal de buena calidad.
- Debes hacerlo, por lo menos, dos veces al día.
Lee también: 14 razones por las que te sangran las encías al cepillarte los dientes
2. Enjuague constante
Procura enjuagar tu boca tras cada comida. No necesariamente debes cepillar con dedicación, pero sí es importante que los residuos no permanezcan por mucho tiempo entre tus dientes.
Puedes solo enjuagar con agua, con enjuagues antiplaca o los que te hemos recomendado.
Como has podido ver, eliminar la placa dental naturalmente es posible. No obstante, recuerda que el éxito también depende de la prevención, que incluye la visita periódica a tu odontólogo.
Todas las fuentes citadas fueron revisadas a profundidad por nuestro equipo, para asegurar su calidad, confiabilidad, vigencia y validez. La bibliografía de este artículo fue considerada confiable y de precisión académica o científica.
- Serrano, J., & Herrera, D. (2005). La placa dental como biofilm: ¿Cómo eliminarla? Rcoe, 10(4), 431–439. https://doi.org/10.4321/S1138-123X2005000400005
- Gil, Aguilar, Cañamas, & Ibañez, Y. (2005). Sistemática de la higiene bucodental: el cepillado dental manual. Periodoncia Y Osteointegración, 15(1), 43–58. https://doi.org/10.1016/J.MATLET.2016.02.139
- Moromi, h, Martinez, E., & Ramos, D. (2009). Anti bacterianos naturales orales : Estudios en la Facultad de Odontología de la Universidad Nacional Mayor de San Marcos. Revistas de Investigación UNMSM, 12(1), 1–4. https://doi.org/10.15381/os.v12i1.2910
Este texto se ofrece únicamente con propósitos informativos y no reemplaza la consulta con un profesional. Ante dudas, consulta a tu especialista.








