Manifestaciones bucales causadas por VIH: ¿cómo tratarlas?


Escrito y verificado por la odontóloga Vanesa Evangelina Buffa
Las manifestaciones bucales causadas por VIH suelen ser un síntoma común de estos pacientes. Las defensas están alteradas y, por lo tanto, son más susceptibles de padecer infecciones e incluso algunos tipos de cáncer que pueden darse en la boca.
El VIH es el virus de la inmunodeficiencia humana. Las personas infectadas por este agente sufren un daño en su sistema inmune, ya que sus glóbulos blancos son atacados.
Las manifestaciones bucales más frecuentes causadas por VIH
Muchas manifestaciones orales son los primeros síntomas de la enfermedad, por lo tanto, es muy importante prestarles especial atención. A veces, a partir de las mismas se sospecha y luego se confirma el VIH.
Múltiples pacientes VIH positivos presentan lesiones en la boca asociadas a su patología de base. Estas suelen aparecer de manera exacerbada, teniendo mayor duración, mayor tamaño, más frecuencia y siendo más difíciles de tratar que en los casos sin VIH.
La presencia de lesiones en la boca afectará la calidad de vida del paciente. Pueden doler, sangrar, supurar y alterar la masticación, el tragar y el hablar. Así, la persona verá comprometida su alimentación y la toma de las medicaciones.
El herpes simple, las verrugas, la leucoplasia pilosa y la candidiasis suelen ser las infecciones en la boca más comunes. Las aftas, la gingivitis y la boca seca también son molestias frecuentes en estos pacientes.

Herpes simple o herpes labial
Como ya mencionamos, para estos pacientes es mucho más difícil luchar contra las infecciones. El herpes simple o herpes labial es uno de los virus que con más frecuencia provoca manifestaciones bucales causadas por VIH.
La infección se manifiesta con llagas rojas en la boca o pequeños bultos rojos, elevados, de contenido líquido, que se rompen con facilidad. Suelen localizarse en el paladar o alrededor de los labios, lugar donde se las conoce con el nombre de llagas febriles.
Son muy dolorosos y molestos. En los pacientes con VIH esta infección, que de por sí es muy incómoda, suele ser de mayor duración y gravedad. Es contagiosa y quien la sufre debería evitar compartir alimentos y utensilios que lleva a su boca.
Tratamiento
Para tratar esta infección un médico puede recetar aciclovir, un medicamento antiviral que disminuirá las molestias, acortará la duración y ayudará a reducir la frecuencia de los nuevos brotes. Además, el paciente debe continuar con los tratamientos habituales para VIH, a menos que el médico indique lo contrario.
Verrugas
La aparición de esta manifestación bucal causada por VIH se debe a la infección por el virus del papiloma humano (HPV, según sus siglas en inglés). Las verrugas son pequeñas protuberancias, crecimientos o abultamientos rugosos que aparecen en la mucosa del interior de la boca o en los labios. Pueden ser de color blanco, gris o rosado. Algunas tienen forma de coliflor, otras de placas o pueden verse como masas proyectadas.
En general, no causan dolor, pero pueden resultar molestas o incómodas. Si están ubicadas en alguna zona de mucho trauma masticatorio se lastiman y sangran. En el caso de que se rompan y salga líquido resultan contagiosas. El HPV está asociado al cáncer orofaríngeo, por lo que se hace muy importante prestar especial atención a este tipo de lesiones en la boca.
Tratamiento
Las verrugas que se encuentran en el interior de la boca se eliminan quirúrgicamente. Se pueden cortar con láser o hacer criocirugía, que es la eliminación con frío, congelando la lesión.
Si se ubican en los labios se pueden tratar con cremas de aplicación local recetadas por el médico. De todos modos, es posible que vuelvan a aparecer después de cualquiera de estos tratamientos que mencionamos.
Leucoplasia pilosa
La leucoplasia pilosa es una de las manifestaciones bucales causadas por VIH más característica en estos pacientes. Es originada por el virus Epstein-Barr, el mismo de la mononucleosis.
Este virus, en general, solo afecta a personas con el sistema inmune debilitado, por lo que la presencia de una lengua pilosa nos debe hacer sospechar de VIH. Incluso, a veces es la primera señal de la enfermedad.
La leucoplasia pilosa es la presencia de placas blanquecinas con forma de pelos sobre la superficie de la lengua, sobre todo a los costados de la misma. No salen al cepillar la lengua ni se desprenden al frotarlas. Pueden verse también en mejillas o en la parte interna de los labios. No duelen y no son contagiosas, pero su mal aspecto es una preocupación para el paciente.
Tratamiento
No requiere tratamiento específico. La medicación general para disminuir la carga viral que recibe el paciente con antirretrovirales suele ser suficiente y contribuye a la desaparición o disminución de esta lesión.
Aftas
Las aftas, también conocidas como llagas, son heridas o úlceras redondas u ovaladas que se producen en la mucosa del interior de la boca. Su aspecto es de color blanco o amarillo y se rodean por un halo inflamado color rojo.
Su sintomatología más molesta es el dolor intenso que producen, en especial durante la masticación o la ingesta de alimentos irritantes, como comidas muy calientes, saladas o picantes. No son contagiosas.
Se ubican en la mucosa que está dentro de las mejillas, dentro de los labios y a los costados de la lengua. Las aftas son una de las manifestaciones bucales causadas por VIH que aparecen de manera más frecuente y más grave en estos pacientes. Las lesiones suelen ser más grandes, más numerosas y tardar más en desaparecer.
Tratamiento
Las aftas no necesitan un tratamiento específico, ya que suelen remitir de manera espontánea. Pero sí se puede utilizar medicación para controlar la sintomatología dolorosa que provocan.
Para los casos más leves, el uso de cremas o enjuagues bucales de manera local podrá disminuir el dolor. Algunos poseen anestésicos locales. Se recomienda usarlos unos minutos antes de comer para que la alimentación no sea tan dolorosa. Deben evitarse los enjuagues bucales que incluyan alcohol.
En los casos más graves, el médico podría indicar el uso de algún antiinflamatorio y controlará. De ser necesario, reajustará el tratamiento para el VIH.
Existen alternativas naturales que pueden ayudan a aliviar el dolor que provocan las aftas. El uso de hielo, manzanilla, té de caléndula o miel puede hacer menos doloroso el cursado de estas lesiones. De todos modos, si se decide usar un elemento natural se debe realizar de manera responsable y con conciencia, nunca desatendiendo el tratamiento que prescriba el médico.
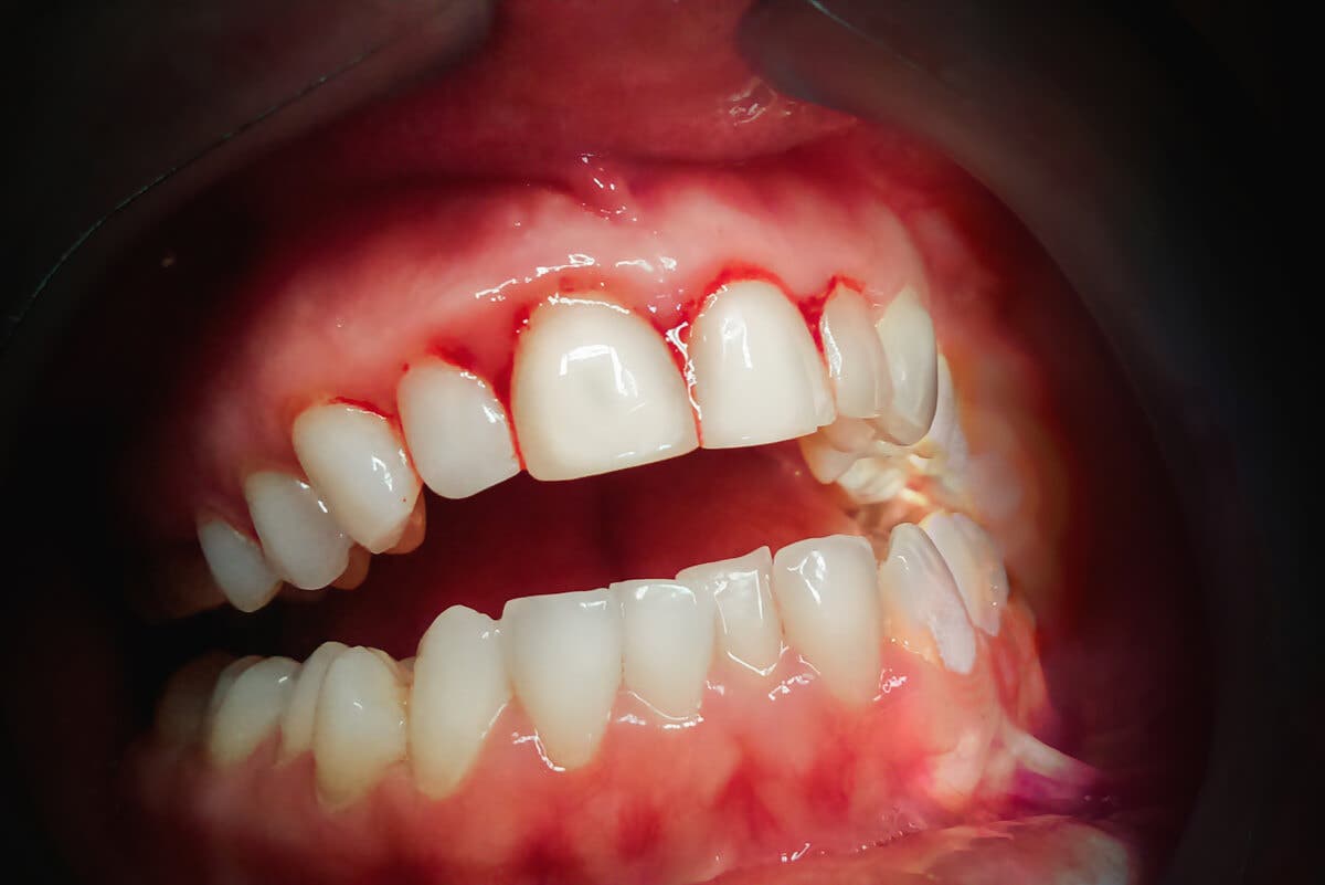
Gingivitis
La gingivitis es la inflamación de las encías por el acúmulo de baterías sobre las mismas. Estas se ven de color rojo, se hinchan, sangran con facilidad y duelen.
Si bien la gingivitis puede darse en la boca de cualquier persona con una deficiente higiene oral, los pacientes VIH positivo desarrollan esta patología con mayor facilidad. Puede hacerse crónica o evolucionar a formas más graves.
Los casos severos de la enfermedad llevan a la necrosis de algunos sectores de la encía o al movimiento y pérdida de piezas dentarias de manera rápida. Asimismo, está asociada al riesgo de enfermedad cardíaca y accidentes cerebrovasculares.

Tratamiento
El control y tratamiento de esta patología es una buena higiene bucal. Se debe realizar un correcto cepillado dental, frecuente, con cepillo suave y pasta dental. Además, se debe complementar con el uso regular de hilo dental. Puede que el odontólogo prescriba enjuagues bucales con antimicrobianos.
Una consulta al odontólogo siempre será oportuna, ya que varias veces es necesario realizar una limpieza dental para eliminar el sarro acumulado bajo las encías.
Lee también: Gingivitis o inflamación de las encías
Boca seca
La boca seca es la disminución o ausencia de saliva en la boca porque la persona no produce la suficiente. Este problema está asociado al virus del SIDA en sí mismo, pero también a los tratamientos contra el VIH.
La saliva en la boca ayuda a masticar y digerir la comida y tiene un papel protector, favorece la autolimpieza y previene las infecciones. Sin saliva, estos pacientes acumulan mucha placa bacteriana que los predispone a sufrir inflamación de las encías, caries o empeorar las otras manifestaciones bucales causadas por VIH.
La boca se siente seca, pegajosa y puede arder. Los labios también pueden resecarse y agrietarse.
Tratamiento
Es importante avisar al médico que se está sintiendo sequedad en la boca. Como ya mencionamos, varias veces este síntoma se debe a la medicación contra el VIH y el doctor lo podrá corregir.
Para contrarrestar la boca seca es muy útil beber abundante agua y de manera frecuente. Utilizar goma de mascar o consumir caramelos duros sin azúcar estimulan el flujo salival.
Además, se debe evitar el consumo de alcohol, alimentos salados y tabaco que empeorarán la situación. El cepillado dental y el uso de hilo dental son muy necesarios para controlar la placa bacteriana y mantener la boca limpia. Si el caso es muy severo, el odontólogo puede recomendar el uso de saliva artificial.
Candidiasis
La candidiasis es una infección por un hongo llamado Candida. Este hongo es parte de la flora normal de la boca y los pacientes con su sistema inmune sano lo mantienen en equilibrio. Pero en los pacientes con VIH la población de Candidas se puede salir de control provocando la infección.
Se ven como parches blancos, amarillos o rojos en la boca. Puede darse en cualquier sector, siendo más común en el dorso de la lengua, el paladar o los ángulos de los labios. Al rasparlas se las puede eliminar, pero al hacerlo sangran y dejan una zona roja. Si bien no duelen, pueden dar sensación de ardor.
No es contagiosa, pero si no se la trata se extiende pudiendo llegar otras zonas del cuerpo. El odontólogo será quien la identifique y realice el diagnóstico, ya que según la ubicación suele cambiar su manera de manifestarse.

Tratamiento
El tratamiento de este hongo es a través de antifúngicos. Se suele comenzar con enjuagues bucales antimicóticos o pastillas que se disuelven en la boca.
Puede que el VIH haga más resistente la infección y sea necesario complementar con antifúngicos de vía sistémica. En estos casos más severos se recetan píldoras antimicóticas para tomar por vía oral. Pueden volver a aparecer luego del tratamiento.
Algunos consejos sobre las manifestaciones bucales por VIH
Como ya te contamos, las manifestaciones bucales causadas por VIH son bastante comunes. Pueden alterar la masticación, alimentación e incluso la toma de medicación de los pacientes que las padecen.
Por esto, cuéntale a tu médico si notas algunos de los problemas que mencionamos. Es importante no descuidar ni interrumpir el tratamiento del VIH.
Además, visitar al dentista de forma periódica y regular ayudará a diagnosticar y tratar a tiempo estas lesiones. La correcta higiene oral también controlará y prevendrá estas manifestaciones.
Todas las fuentes citadas fueron revisadas a profundidad por nuestro equipo, para asegurar su calidad, confiabilidad, vigencia y validez. La bibliografía de este artículo fue considerada confiable y de precisión académica o científica.
- Gopalan, Kannan, and Razil Ahamed. "Prevalence of oral manifestations among HIV patients–A cross sectional study." Journal of Pakistan Association of Dermatology 30.2 (2020): 298-305.
- Nayak, Sarat Kumar, et al. "Oral manifestations of human immunodeficiency virus/acquired immunodeficiency syndrome and their correlation to cluster of differentiation lymphocyte count in population of North-East India in highly active antiretroviral therapy era." Contemporary clinical dentistry 7.4 (2016): 539.
- Bernaola-Paredes, Wilber Edison, et al. "Oral Manifestations, DMFT Index and Medical Profile in HIV/AIDS Patients: A Cross-Sectional Study."
- Donoso-Hofer, Francisca. "Lesiones orales asociadas con la enfermedad del virus de inmunodeficiencia humana en pacientes adultos, una perspectiva clínica." Revista chilena de infectología 33 (2016): 27-35.
- López, Luis Ernesto¹, et al. "Manifestaciones Periodontales en pacientes infectados con el Virus de la Inmunodeficiencia humana (Vih) y síndrome de Inmunodeficiencia adquirida (Sida)(Revisión Bibliográfica)." Acta Odontológica Venezolana 41.3 (2003): 266-282.
- Van der Waal, Isaäc. "Leucoplasia oral: una propuesta de simplificación y coherencia de la clasificación clínica y terminológica." Medicina oral, patología oral y cirugía bucal. Ed. española 25.4 (2020): 228-232.
- Gallardo-Rosales, Rubén Nicanor, et al. "Manifestaciones Orales en pacientes VIH/SIDA del Hospital Base de Valdivia en Chile, un estudio descriptivo de corte transversal." CES Odontología 29.2 (2016): 12-19.
- Ruiz Moncada, Marjorie Viviana, and Michael Armando Pincay Bajaña. Manifestaciones clínicas bucales en pacientes con VIH. BS thesis. Universidad de Guayaquil. Facultad Piloto de Odontología, 2020.
- Mera León, Andrés Samael. Manifestaciones bucales en pacientes con Síndrome de Inmunodeficiencia. BS thesis. Universidad de Guayaquil. Facultad Piloto de Odontología, 2020.
- Ortega, Jessenia A. Gálvez, and Veronica R. Huacon Cherrez. "El Sida y su connotación en la práctica odontológica." Polo del Conocimiento: Revista científico-profesional 4.1 (2019): 86-99.
- Mariluz, Od Benito Urdaneta, et al. "Manifestaciones bucales en pacientes VIH positivos y su relación con valores de Linfocitos CD4." Acta Odontológica Venezolana 45.2 (2007).
Este texto se ofrece únicamente con propósitos informativos y no reemplaza la consulta con un profesional. Ante dudas, consulta a tu especialista.







