Muela picada: causas y tratamientos


Escrito y verificado por la odontóloga Vanesa Evangelina Buffa
Tener una muela picada, o lo que es lo mismo, sufrir caries sobre un molar, es una situación bastante frecuente. Debido a la ubicación y a las características anatómicas de esta pieza dentaria, el riesgo de sufrir la enfermedad es mayor.
Las muelas tienen la superficie oclusal con muchas irregularidades que favorecen la acumulación de placa bacteriana. Además, dado que se usan para triturar, están más tiempo en contacto con la comida y pueden retener restos de alimentos.
Entre otras cosas, su localización en la parte posterior de la boca dificulta su limpieza, lo que también crea condiciones idóneas para el crecimiento bacteriano. ¿Qué más debes saber al respecto? ¡Sigue leyendo!
¿Cuáles son las causas de la muela picada?
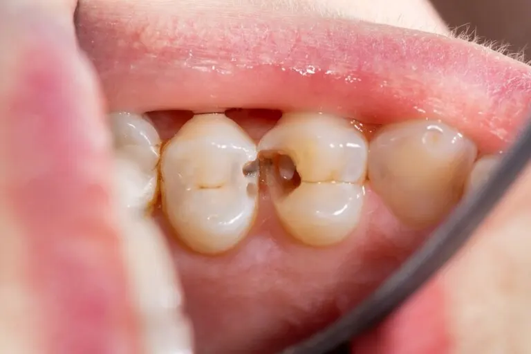
«Muela picada» es el nombre popular que se emplea en muchas ocasiones para hablar sobre un molar que tiene caries. Dicha patología es una de las afecciones bucodentales más frecuentes en todo el mundo.
Se produce por la desmineralización de los tejidos duros de los dientes. Esto sucede por la acción de los ácidos que genera el metabolismo de los hidratos de carbono por parte de las bacterias de la boca.
La primera capa afectada por los ácidos es el esmalte dental, que es el encargado de proteger y cubrir la superficie externa del diente. A medida que la patología avanza, se deteriora la dentina (que está por debajo), y se van perdiendo más minerales. En consecuencia, se originan manchas y huecos en los dientes.
Si la enfermedad continúa, la destrucción puede ser tan grande que alcanza la pulpa del diente, lo que causa dolor y sensibilidad. Algunos de los factores relacionados con las caries son los siguientes:
- Bacterias: estos microorganismos de la boca se adhieren sobre las superficies dentarias y forman una película que, si no se elimina con una adecuada higiene oral, prolifera y crece.
- Dieta: el consumo de una dieta abundante en hidratos de carbono y, sobre todo, en azúcares refinados, favorece la acción de los microorganismos que los utilizan en su metabolismo. El ácido que producen durante dicha fermentación es el responsable de desmineralizar los tejidos dentarios.
- Huésped: la anatomía de las piezas dentarias favorece que las bacterias y restos de alimentos se acumulen y puedan proliferar. Como mencionamos, las muelas son más susceptibles de sufrir la enfermedad, pues tienen surcos y grietas sobre la superficie oclusal que facilita la permanencia de la placa bacteriana.
- Tiempo: todos los factores deben coexistir durante un tiempo para que las bacterias sobre las superficies dentarias utilicen los azúcares, produzcan el ácido y se vayan perdiendo los minerales.

Lee también: 6 alimentos que producen caries
¿Cómo se puede tratar una muela picada?
Tan pronto como se observa la presencia de una muela picada, es necesario acudir al odontólogo. El profesional realizará una evaluación rigurosa y determinará el grado de avance de la lesión. En función de esto, elegirá un tratamiento u otro.
Hay muchas opciones de terapéuticas, pero la atención oportuna es clave para su éxito. Cuanto más rápido se aplique una solución, más conservadora y menos complicada será la intervención. A continuación, detallamos los principales tratamientos.
Tratamiento con flúor
El flúor se utiliza para tratar las caries en sus primeros estadios, apenas empieza la lesión. Es útil para revertir la denominada «mancha blanca», que es la primera manifestación de la enfermedad, cuando el daño solo afecta al esmalte.
Consiste en colocar flúor terapéutico sobre la muela picada y dejarlo actuar un tiempo. El mismo viene en forma de geles, espumas o barnices, y contiene una alta concentración del mineral.
El procedimiento lo hace el odontólogo en el consultorio, e indicará al paciente no comer, beber, ni enjuagarse por unas horas. De igual manera, le dirá cada cuánto se repiten las aplicaciones.
Empastes dentales
En este caso, la caries ha avanzado y hay más tejido dentario afectado de manera irreversible. Es necesario limpiar toda la zona involucrada, para luego reconstruir la muela con un material artificial, mediante el relleno de la cavidad.
Existen muchos materiales disponibles, como las amalgamas de plata, los ionómeros y las resinas compuestas. Estas últimas son las más elegidas actualmente, ya que no contienen mercurio, tienen un color similar al diente y soportan de manera adecuada las fuerzas masticatorias.
Al rellenar la muela ya limpia y libre de caries, se intenta devolver la anatomía perdida. Esto permite que quede bien sellada y lo más funcional posible.
Coronas dentales
Se utilizan cuando la muela picada está muy destruida, la caries ha avanzado mucho y es necesario restaurar la totalidad de la pieza dentaria. Las coronas tienen la forma de un molar. En general, se mandan a confeccionar para cada paciente, en distintos materiales como el metal, el acrílico, la porcelana, el oro o las resinas.
Como en el caso de los empastes, se limpia y se elimina todo el tejido enfermo. Además, se talla el remanente dentario para recibir la corona. Esta se coloca y se cementa sobre el elemento para tapar y proteger la muela.
Endodoncias
Cuando la caries ha afectado a la pulpa, es necesario tratar este tejido blando lleno de terminaciones nerviosas y vasos sanguíneos. De lo contrario, hay un alto riesgo de inflamación e infección, lo que deriva síntomas como el dolor.
La endodoncia o tratamiento de conducto consiste en acceder a la zona pulpar para eliminar y limpiar por completo todo el tejido blando. Luego, el espacio dejado se sella con materiales especiales.
Los tejidos dentarios afectados por las caries también se limpian, y la muela se reconstruye con empastes o coronas para recuperar su anatomía. Este procedimiento permite conservar la muela en la boca sin dolor ni infección.

Extracción dentaria
Cuando la destrucción de la muela picada es tan severa que la pieza dentaria no puede tratarse ni reconstruirse, es necesario recurrir a una extracción dentaria. A veces, la muela se puede sacar entera, pero en algunos casos hay que partirla para sacarla por partes.
Incluso, puede ser que la corona se ha destruido por completo y solo quedan restos en las raíces del interior del hueso. Si es así, hay que buscarlos y extraerlos para no dejar posibles focos de infección en la boca.
Luego de la extracción, se requiere rehabilitar el espacio con un implante, un puente o una prótesis removible. Así se devuelve la funcionalidad a la boca, se conserva la masticación y no se afecta a las demás piezas dentarias.
Tratamiento de la sintomatología
Muchas veces, las personas no se dan cuenta que hay una muela picada en su boca hasta que aparece algún síntoma molesto, como la sensibilidad, el dolor, un flemón o la hinchazón de la cara. En estos casos, es necesario acudir con urgencia al odontólogo.
El profesional evaluará la situación y recomendará alguno de los tratamientos que ya mencionamos para solucionar el problema. Sumado a esto, indicará antiinflamatorios para calmar el dolor, y antibióticos si hay infección.
Otras medidas complementarias pueden ser los drenajes o las aperturas de las muelas. En cualquier caso, no hay que caer en la automedicación.
Te puede interesar: Síntomas de una infección dental que se propaga al cuerpo
¿Cómo se puede prevenir la muela picada?
El cuidado de la salud bucodental es fundamental para evitar las muelas picadas. A continuación, compartimos algunos consejos para mantener los dientes sanos, libres de caries.
- Higiene dental: con el fin de eliminar las bacterias y los restos de alimentos que se acumulan sobre los dientes, se debe realizar el cepillado dental por lo menos 3 veces al día. Hay que asegurarse de limpiar todas las caras de las piezas dentarias. Además, es conveniente utilizar pasta dental con flúor para reforzar el esmalte y prevenir las caries. Finalmente, hay que complementar el aseo con hilo dental para eliminar la placa bacteriana que se acumula entre los dientes.
- Dieta: una dieta equilibrada y nutritiva, además de cuidar la salud general, disminuye el riesgo de caries. Se deben evitar los alimentos pegajosos y con alto contenido de azúcar, como los ultraprocesados, los refrescos, las golosinas y la bollería.
- Visitas al odontólogo: los controles semestrales con el dentista son fundamentales para detectar de manera oportuna cualquier problema, y resolverlo de inmediato. El profesional evaluará la salud oral y aplicará medidas preventivas puntuales, como los selladores de fosas, los puntos y fisuras y las topicaciones con flúor.
Ser constantes con la aplicación de estas medidas preventivas no solo evitará una muela picada, sino que ayudará a mejorar la calidad de vida en general. De cualquier modo, es conveniente estar atentos a irregularidades y consultar siempre que sea necesario.
Todas las fuentes citadas fueron revisadas a profundidad por nuestro equipo, para asegurar su calidad, confiabilidad, vigencia y validez. La bibliografía de este artículo fue considerada confiable y de precisión académica o científica.
- Garcés, Yadeleine Lee, et al. "Caries dental en primeros molares permanentes en escolares de 6-12 años de edad." Revista Información Científica 96.5 (2017): 817-825.
- Reyna-Rosales, Karina, et al. "Caries en primeros molares permanentes y factores asociados a esta en escolares de Acapulco." Rev Cubana Estomatol 58.2 (2021): 3156.
- Ortega, Erika Hernández, and Olga Taboada Aranza. "Prevalencia y algunos factores de riesgo de caries dental en el primer molar permanente en una población escolar de 6 a 12 años de edad." Revista de la Asociación Dental Mexicana 74.3 (2017): 141-145.
- Palma-Portaro, Camila, et al. "Recomendaciones basadas en la evidencia para la prevención de caries en infantes." Revista Odontología Pediátrica 16.2 (2017): 51-64.
- Veloz Moncada, Francisco Santiago. Prevención de caries activas y pasivas en escolares. BS thesis. Universidad de Guayaquil. Facultad Piloto de Odontología, 2019.
- Alonso, María Elia, et al. "Manejo clínico de la caries profunda." Odontoestomatología 11.13 (2009): 59-67.
- Salerno, Antonella. Manejo de caries profunda. Diss. Universidad Nacional de Cuyo. Facultad de Odontología, 2020.
- Fereira, Jesús Alberto Luengo, et al. "Comparación de dos barnices fluorados para el control de lesiones de mancha blanca. Ensayo clínico aleatorio." REVISTA ODONTOLOGÍA PEDIÁTRICA 16.1 (2017): 6-14.
- Cisneros Trujillo, Yanina Liliana. "Efecto de la aplicación tópica del flúor barniz sobre la actividad de caries de la lesión de mancha blanca en piezas permanentes jóvenes de pacientes de 06 a 12 años del Centro Médico Naval Cirujano Mayor Santiago Távara." (2015).
- Ortega Valarezo, Ariana Eunice. Sellantes como método de prevención en el tratamiento de lesiones de caries incipientes. BS thesis. Universidad de Guayaquil. Facultad Piloto de Odontología, 2021.
- Feldens, Carlos Alberto, et al. "uso de selladores capítulo."
Este texto se ofrece únicamente con propósitos informativos y no reemplaza la consulta con un profesional. Ante dudas, consulta a tu especialista.







