Nódulo pulmonar, ¿qué significa?


Revisado y aprobado por el médico Leonardo Biolatto
Cuando oímos hablar de un nódulo pulmonar, el primer pensamiento que se nos viene a la mente es el cáncer. Sin embargo, aunque en ocasiones ambas patologías estén relacionadas, puede tratarse de un proceso benigno.
Un nódulo pulmonar es una masa que aparece en el pulmón que puede medir entre 5 y 30 milímetros. De acuerdo con una publicación de Medicina Integral, se trata de una patología cada vez más frecuente, que se estima que afecta en torno a un 0,2 % de la población; casi el 60 % de estos nódulos son benignos.
Las causas de esta enfermedad son muy variadas y van desde una infección a un proceso tumoral. La mayoría de los nódulos se encuentra de manera accidental al realizar una TAC —tomografía axial computada— o una radiografía.
Es importante diagnosticar de manera precoz esta situación para evitar complicaciones y descartar que se trate de algo más grave. Con ese objetivo, a continuación te explicamos todo lo que debes saber sobre el nódulo pulmonar y los síntomas que produce.
¿Cuáles son las causas de un nódulo pulmonar?
Como ya hemos mencionado, un nódulo pulmonar es una masa que aparece en el pulmón que puede tener causas muy variadas. Lo más frecuente es que sean secundarios a una infección, ya sea por bacterias, hongos o parásitos, según indica la investigación citada previamente.
Dentro de las causas infecciosas, se destaca que los nódulos pulmonares son frecuentes en personas afectadas por tuberculosis. Aunque su incidencia ha descendido, la tuberculosis sigue siendo una infección con relativa frecuencia.
Lee también: ¿Cómo se contagia la tuberculosis y cuál es su tratamiento?
Causa neoplásica
Actualmente, lo primero que se busca descartar ante un nódulo pulmonar es que se trate de un proceso cancerígeno. Esto es así porque el cáncer de pulmón es uno de los más frecuentes debido, entre otras cosas, al tabaquismo.
En estos casos, los nódulos suelen tener un aspecto irregular en la radiografía, con unos bordes mal definidos; de ahí el término «neoplásico». También suelen ser de menor tamaño que los benignos y, además, se asocian a ciertos factores de riesgo, como los siguientes:
- Fumar regularmente.
- Tener más de 35 años.
- Haber padecido algún cáncer anteriormente.
- Que el nódulo pulmonar haya crecido rápidamente en los últimos meses.
Es importante saber que no todos los nódulos pulmonares neoplásicos son malignos. Existen también los tumores benignos, aunque son mucho menos frecuentes: se dan en una cuarta parte de los casos, según el estudio de Medicina Integral.
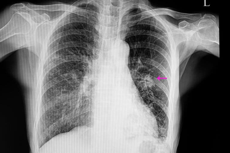
El nódulo pulmonar puede detectarse accidentalmente en una radiografía
Otras causas del nódulo pulmonar
Hay otras enfermedades que pueden dar como resultado esta alteración pulmonar. Por ejemplo, existen ciertos procesos autoinmunes como la granulomatosis de Wegener o el nódulo reumatoideo. Ambos son poco frecuentes.
Por otra parte, en algunas personas el nódulo pulmonar puede aparecer por un traumatismo, una enfermedad metabólica llamada amiloidosis o tras la génesis de un quiste bronquial.
¿Cómo se diagnostica el nódulo pulmonar?
Para diagnosticar el nódulo pulmonar y conocer su causa, primero es esencial realizar una buena historia clínica de esa persona. Hay que conocer si ha padecido tuberculosis o si ha estado expuesto a ciertas infecciones o personas infectadas.
También es importante saber si se trata de un fumador o no. Numerosas publicaciones médicas, como un artículo del Instituto Nacional del Cáncer, afirman que el tabaco aumenta exponencialmente el riesgo de desarrollar un nódulo pulmonar cancerígeno.
Una vez hecho esto, es necesario realizar ciertas pruebas de imagen para localizar el nódulo. Además, las imágenes permiten observar ciertas características como la forma y el tamaño, que son importantes para diferenciar uno benigno de uno posiblemente maligno.
Las más utilizadas son la radiografía de tórax y la tomografía computarizada. Para conocer exactamente la causa del nódulo pulmonar, en ocasiones se realizan biopsias que permiten analizar el tejido que lo forma.
El examen médico se complementa con pruebas de imágenes y, de ser necesario, una biopsia
Quizá te interese: Embolia pulmonar: síntomas y tratamiento
¿Cuál es el tratamiento de elección?
El tratamiento va a depender de cuál sea la causa del nódulo. En primer lugar, un artículo de Mayo Clinic detalla que puede no requerir tratamiento cuando se da por un proceso infeccioso, aunque es probable que se receten antibióticos o antifúngicos para detener la infección.
Cuando no se conoce la causa claramente, el tratamiento se orienta según el riesgo de cáncer. Por ejemplo, en personas jóvenes no fumadoras, cuyo nódulo no parece maligno, puede ser que solo haya que hacer revisiones periódicamente. Así se comprobará si cambia o crece el nódulo.
Por otra parte, si existe riesgo de cáncer, lo más importante es realizar la biopsia. Si efectivamente era cancerígeno, puede requerirse cirugía para extirparlo. Cuando la cirugía es inviable, se opta por quimioterapia o radioterapia.
Dejar de fumar, clave para prevenir un nódulo pulmonar
Para concluir, es esencial remarcar de nuevo la influencia negativa del tabaco. Es primordial ser conscientes del riesgo que supone y hacerse revisiones médicas con frecuencia para poder diagnosticar este tipo de patologías pronto.
Todas las fuentes citadas fueron revisadas a profundidad por nuestro equipo, para asegurar su calidad, confiabilidad, vigencia y validez. La bibliografía de este artículo fue considerada confiable y de precisión académica o científica.
- Un nódulo pulmonar solitario | Medicina Integral. (n.d.). Retrieved December 24, 2019, from https://www.elsevier.es/es-revista-medicina-integral-63-articulo-un-nodulo-pulmonar-solitario-13046283
- Nódulos pulmonares: ¿Pueden ser cancerosos? Mayo Clinic. https://www.mayoclinic.org/es-es/diseases-conditions/lung-cancer/expert-answers/lung-nodules/faq-20058445#:~:text=Los%20n%C3%B3dulos%20pulmonares%20no%20cancerosos%20generalmente%20no%20requieren%20tratamiento.,o%20cambia%20con%20el%20tiempo.
- Prevención del cáncer de pulmón (PDQ®)–Versión para profesionales de salud. Instituto Nacional del Cáncer. https://www.cancer.gov/espanol/tipos/pulmon/pro/prevencion-pulmon-pdq
Este texto se ofrece únicamente con propósitos informativos y no reemplaza la consulta con un profesional. Ante dudas, consulta a tu especialista.







