Acné hormonal: causas y tratamientos


Revisado y aprobado por el médico Leonardo Biolatto
El acné hormonal es una modalidad de acné tardío que afecta sobre todo a las mujeres. Se estima que el 30 % de aquellas que se encuentran entre los 25 y 30 años padecen este tipo de problema. Asimismo, el porcentaje es de un 20 % para las mujeres entre los 22 y los 50 años.
Aunque no se trata de una patología grave, el acné hormonal a veces tiene un impacto importante en la imagen y el estado psicológico de las afectadas. Puede llegar incluso a deteriorar la calidad de vida. En esta línea, los desencadenantes son muchos, pero el factor hormonal prevalece.
El acné normal, o “acné vulgar” es una condición frecuente durante la adolescencia. Se cree que hasta el 90 % de las personas lo han padecido. El acné hormonal, en cambio, es menos frecuente. Sin embargo, en las últimas décadas se ha incrementado en todo el mundo. ¿Qué tratamientos hay para afrontarlo?
¿Qué es el acné hormonal?
El acné hormonal es el que tiene lugar en la edad adulta, posterior a la adolescencia. A veces reaparece después de las edades juveniles; y otras veces se prolonga o persiste, tras haberlo sufrido en la etapa adolescente.

Descubre: Acné conglobata: causas y síntomas
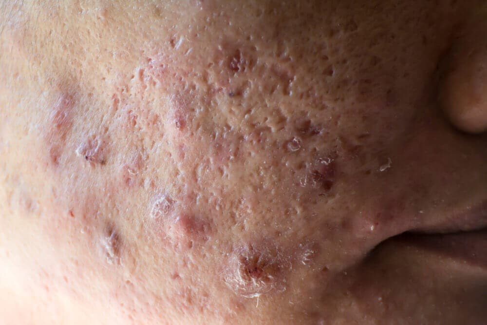
Como bien recoge un artículo publicado en los Anales Brasileños de Dermatología, este tipo de acné presenta algunas diferencias frente al acné vulgar. La primera de ellas es que las lesiones son inflamatorias y profundas. En cambio, los comedones son menos abundantes. Asimismo, el acné hormonal tiende a dejar cicatrices con mayor frecuencia; ya que la piel madura es más propensa a generar marcas.
Otra de las diferencias es la zona en la cual tiene lugar. El acné juvenil afecta sobre todo a la llamada “zona T”; conformada por la frente, la nariz y la barbilla. En cambio, el acné hormonal se sitúa en el cuello, alrededor de la mandíbula y de la boca. No obstante, en ambos casos puede aparecer en cualquier parte del cuerpo.
Causas del acné hormonal
Las causas del acné hormonal son variadas, pero en todos los casos están relacionadas con las hormonas. En particular, está asociado con el aumento de la testosterona.
Lo anterior tiene lugar por diversas razones. La primera de ellas es la menstruación irregular. Esta hace que la piel produzca más sebo, conduciendo a la obstaculización de los folículos y favoreciendo la aparición de granos.
Algo similar ocurre cuando una mujer presenta síndrome de ovarios poliquísticos (SOP). Este no produce el acné, pero sí lo favorece. Asimismo, el consumo habitual de tabaco también está relacionado con la aparición de este tipo de acné; así como el uso de cosméticos inadecuados.
El estrés es otro de los factores que incide en la aparición de acné hormonal. Según indican varios investigadores de la Universidad McGill, esto se debe a que está implicado en el aumento de la hormona cortisol; y esta favorece el incremento de las hormonas androgénicas. Además, la polución y la mala alimentación también contribuyen al problema.
Síntomas y manifestaciones
El síntoma más evidente es la aparición de barros, espinillas y otro tipo de lesiones en la piel en edades posteriores a la adolescencia. Esto puede suceder a cualquier edad, pero es más frecuente en el rango que va de los 24 a los 35 años.

No te pierdas: Tipos de tratamientos para el acné pápulo-pustuloso
A diferencia de lo que ocurre en el acné vulgar, las lesiones suelen ser más dolorosas. La inflamación también es más visible y tiene lugar en la zona “U”, que ya se había mencionado: mandíbula, cuello y alrededor de la boca.
Otro de los aspectos que lo define es el hecho de que se muestra resistente a la mayoría de remedios convencionales que se emplean para el acné. Así, como su causa es sobre todo hormonal, se requiere de un tratamiento más especializado.
Tratamientos disponibles
El acné hormonal necesita un tratamiento integral, que debe ser dirigido por el dermatólogo. Lo más frecuente es que se ordene un tratamiento tópico, complementado con uno oral. El tratamiento tópico suele incluir productos con componentes tales como ácido salicílico, peróxido de benzoilo, retinoides y antibióticos.
Según un artículo publicado por la Revista Médica de Costa Rica y Centroamérica, el tratamiento oral se lleva a cabo para restaurar el equilibrio hormonal. Suele incluir pastillas anticonceptivas y espironolactona, que es un diurético, en el caso de las mujeres. Para ambos sexos se emplea isotretinoína (antibacterial y antiséptico) y dapsona (antibiótico).
Además, a día de hoy también ha comenzado a emplearse la terapia biofotónica o Kleresca. Consiste en la aplicación de un gel fotoconversor que es atravesado por un haz de luz. Este penetra la dermis, elimina las bacterias y disminuye la producción de sebo. También previene la aparición de cicatrices.
¿Qué hacer en caso de acné hormonal?
¿Tienes síntomas de acné hormonal? ¿Te preocupan sus consecuencias en la salud de la piel? Si es así, visita cuanto antes al dermatólogo para recibir una valoración y tratamientos adecuados.
No ignores el problema, mañana tu piel te lo agradecerá.
El acné hormonal es una modalidad de acné tardío que afecta sobre todo a las mujeres. Se estima que el 30 % de aquellas que se encuentran entre los 25 y 30 años padecen este tipo de problema. Asimismo, el porcentaje es de un 20 % para las mujeres entre los 22 y los 50 años.
Aunque no se trata de una patología grave, el acné hormonal a veces tiene un impacto importante en la imagen y el estado psicológico de las afectadas. Puede llegar incluso a deteriorar la calidad de vida. En esta línea, los desencadenantes son muchos, pero el factor hormonal prevalece.
El acné normal, o “acné vulgar” es una condición frecuente durante la adolescencia. Se cree que hasta el 90 % de las personas lo han padecido. El acné hormonal, en cambio, es menos frecuente. Sin embargo, en las últimas décadas se ha incrementado en todo el mundo. ¿Qué tratamientos hay para afrontarlo?
¿Qué es el acné hormonal?
El acné hormonal es el que tiene lugar en la edad adulta, posterior a la adolescencia. A veces reaparece después de las edades juveniles; y otras veces se prolonga o persiste, tras haberlo sufrido en la etapa adolescente.

Descubre: Acné conglobata: causas y síntomas
Como bien recoge un artículo publicado en los Anales Brasileños de Dermatología, este tipo de acné presenta algunas diferencias frente al acné vulgar. La primera de ellas es que las lesiones son inflamatorias y profundas. En cambio, los comedones son menos abundantes. Asimismo, el acné hormonal tiende a dejar cicatrices con mayor frecuencia; ya que la piel madura es más propensa a generar marcas.
Otra de las diferencias es la zona en la cual tiene lugar. El acné juvenil afecta sobre todo a la llamada “zona T”; conformada por la frente, la nariz y la barbilla. En cambio, el acné hormonal se sitúa en el cuello, alrededor de la mandíbula y de la boca. No obstante, en ambos casos puede aparecer en cualquier parte del cuerpo.
Causas del acné hormonal
Las causas del acné hormonal son variadas, pero en todos los casos están relacionadas con las hormonas. En particular, está asociado con el aumento de la testosterona.
Lo anterior tiene lugar por diversas razones. La primera de ellas es la menstruación irregular. Esta hace que la piel produzca más sebo, conduciendo a la obstaculización de los folículos y favoreciendo la aparición de granos.
Algo similar ocurre cuando una mujer presenta síndrome de ovarios poliquísticos (SOP). Este no produce el acné, pero sí lo favorece. Asimismo, el consumo habitual de tabaco también está relacionado con la aparición de este tipo de acné; así como el uso de cosméticos inadecuados.
El estrés es otro de los factores que incide en la aparición de acné hormonal. Según indican varios investigadores de la Universidad McGill, esto se debe a que está implicado en el aumento de la hormona cortisol; y esta favorece el incremento de las hormonas androgénicas. Además, la polución y la mala alimentación también contribuyen al problema.
Síntomas y manifestaciones
El síntoma más evidente es la aparición de barros, espinillas y otro tipo de lesiones en la piel en edades posteriores a la adolescencia. Esto puede suceder a cualquier edad, pero es más frecuente en el rango que va de los 24 a los 35 años.

No te pierdas: Tipos de tratamientos para el acné pápulo-pustuloso
A diferencia de lo que ocurre en el acné vulgar, las lesiones suelen ser más dolorosas. La inflamación también es más visible y tiene lugar en la zona “U”, que ya se había mencionado: mandíbula, cuello y alrededor de la boca.
Otro de los aspectos que lo define es el hecho de que se muestra resistente a la mayoría de remedios convencionales que se emplean para el acné. Así, como su causa es sobre todo hormonal, se requiere de un tratamiento más especializado.
Tratamientos disponibles
El acné hormonal necesita un tratamiento integral, que debe ser dirigido por el dermatólogo. Lo más frecuente es que se ordene un tratamiento tópico, complementado con uno oral. El tratamiento tópico suele incluir productos con componentes tales como ácido salicílico, peróxido de benzoilo, retinoides y antibióticos.
Según un artículo publicado por la Revista Médica de Costa Rica y Centroamérica, el tratamiento oral se lleva a cabo para restaurar el equilibrio hormonal. Suele incluir pastillas anticonceptivas y espironolactona, que es un diurético, en el caso de las mujeres. Para ambos sexos se emplea isotretinoína (antibacterial y antiséptico) y dapsona (antibiótico).
Además, a día de hoy también ha comenzado a emplearse la terapia biofotónica o Kleresca. Consiste en la aplicación de un gel fotoconversor que es atravesado por un haz de luz. Este penetra la dermis, elimina las bacterias y disminuye la producción de sebo. También previene la aparición de cicatrices.
¿Qué hacer en caso de acné hormonal?
¿Tienes síntomas de acné hormonal? ¿Te preocupan sus consecuencias en la salud de la piel? Si es así, visita cuanto antes al dermatólogo para recibir una valoración y tratamientos adecuados.
No ignores el problema, mañana tu piel te lo agradecerá.
Todas las fuentes citadas fueron revisadas a profundidad por nuestro equipo, para asegurar su calidad, confiabilidad, vigencia y validez. La bibliografía de este artículo fue considerada confiable y de precisión académica o científica.
- Flores, G. G., & Morice, W. M. (2012). Tratamiento del acné. Revista Médica de Costa Rica y Centroamérica, 69(600), 91-97.
- Bagatin E, Freitas THP, Rivitti-Machado MC, et al. Adult female acne: a guide to clinical practice [published correction appears in An Bras Dermatol. 2019 Mar-Apr;94(2):255. Machado MCR [corrected to Rivitti-Machado MC]]. An Bras Dermatol. 2019;94(1):62–75. doi:10.1590/abd1806-4841.20198203
- Zari S, Alrahmani D. The association between stress and acne among female medical students in Jeddah, Saudi Arabia. Clin Cosmet Investig Dermatol. 2017;10:503–506. Published 2017 Dec 5. doi:10.2147/CCID.S148499
Este texto se ofrece únicamente con propósitos informativos y no reemplaza la consulta con un profesional. Ante dudas, consulta a tu especialista.







