Bultos en el paladar: ¿son peligrosos?


Escrito y verificado por la odontóloga Vanesa Evangelina Buffa
Los bultos en el paladar pueden asustar y preocupar a quien los encuentra en su boca. Para estar atentos a estas lesiones es necesario saber cómo se ve la estructura de la cavidad bucal de manera normal.
El paladar es la pared superior del interior de la boca. Está formado por hueso revestido de una mucosa gruesa y con estrías de color rosa pálido. Posee glándulas salivales, vasos sanguíneos y nervios.
Al notar un bulto en el paladar es necesario acudir a un odontólogo, quien a través del examen clínico y estudios complementarios realizará un diagnóstico. Conociendo de qué se trata se podrá planificar el tratamiento más adecuado.
¿Es normal tener bultos en el paladar?
Encontrar bultos en el paladar no es algo normal; en realidad, es una anomalía que necesita atención médica. Hay bultos de diferente naturaleza y no significa que todos sean malignos, pero hay que determinar su origen para saber cómo proseguir.
El odontólogo examinará la ubicación, la forma, el color, los límites y la consistencia del bulto. Además, en algunos casos será necesario hacer placas radiográficas y toma de muestras del tejido o biopsias para llegar al diagnóstico. Por esto es importante una consulta a tiempo si se encuentra alguna dureza o agrandamiento en esta zona de la boca.
¿Por qué puede ocurrir?
Como ya mencionamos, los bultos en el paladar pueden aparecer por diferentes motivos. La mayoría son inofensivos, pero hay que tener un diagnóstico certero para saber cómo actuar. Un profesional experimentado podrá diferenciar la naturaleza del mismo y así saber cómo tratarlo. Aquí te contamos algunas causas y cómo se manifiestan.
Torus palatino
El torus palatino es una protuberancia ósea de consistencia dura que se ubica en el medio del paladar. Algunas personas lo tienen desde el nacimiento, pero también puede aparecer con posterioridad.
En general, obedece a causas genéticas. No duele ni genera molestias. Puede aumentar de tamaño de manera lenta a lo largo de la vida.
Al ser asintomático y benigno no requiere tratamiento, a menos que interfiera con la capacidad para comer, hablar o colocar una prótesis dental. En esos casos se elimina quirúrgicamente.

Perlas de Epstein
Son pequeños bultos en el paladar que presentan los recién nacidos. Se trata de quistes de coloración amarillo blanquecina muy comunes en los neonatos. Son benignos, indoloros y suelen desaparecer por sí mismos unas semanas después del nacimiento.
Bultos en el paladar por infecciones
Algunas infecciones, cuando se localizan sobre el paladar pueden manifestarse con la presencia de bultos. Las más frecuentes son las siguientes:
- Absceso o quiste odontogénico: es un pequeño bulto inflamatorio que se ubica sobre el paladar, en cercanía a alguna pieza dentaria. Se debe a una infección del diente que se disemina, apareciendo una elevación en la mucosa palatina. Esta elevación puede supurar y doler. Para su eliminación hay que tratar la infección del diente que le da origen y, en algunos casos, es necesaria su extirpación con un procedimiento quirúrgico.
- Herpes simple: el virus del herpes simple genera ampollas dolorosas agrupadas en forma de racimo que se pueden ubicar en el paladar. Están llenas de líquido y se rompen con facilidad. Son contagiosas y curan por sí mismas después de unas semanas. Se puede acelerar el proceso y disminuir la sintomatología usando medicación recetada por un profesional médico.
- Papiloma escamoso: son bultos no cancerosos originados por el virus del papiloma humano (VPH). Suelen tener el aspecto de una coliflor, de color blanco o rosa pálido. No duelen y crecen con lentitud. Se los puede controlar o extirpar con cirugía.
Bultos en el paladar por lesiones externas
Cualquier irritación en la mucosa palatina puede manifestarse con la aparición de bultos en el paladar. Son inofensivas y curan por sí mismas al cabo de unos días. Algunas causas comunes son las siguientes:
- Traumatismos: un corte en la mucosa puede hincharse y sentirse como un bulto doloroso en el paladar.
- Irritación crónica: el roce e irritación por prótesis desadaptadas provocan aumentos de tamaño en la mucosa, como tejido cicatricial. Se puede ver una zona firme y lisa de mayor tamaño debajo de la dentadura postiza. Es necesario reajustar o volver a hacer la prótesis dental.
- Quemaduras: la ingesta de alimentos o bebidas muy calientes pueden quemar el paladar. Esto desarrolla ampollas llenas de líquido que duelen.
Hiperodoncia
La hiperodoncia se trata de una condición en la que se desarrollan más elementos dentarios de lo normal. En caso de que haya un diente de más en el paladar se puede manifestar con un bulto doloroso.
Aparece con frecuencia en la zona detrás de los dientes frontales. Un diente de más se detecta con una radiografía y se extrae con una cirugía menor.
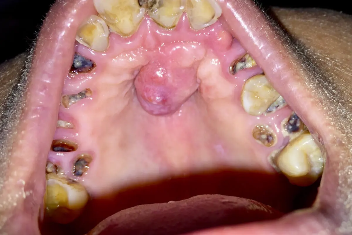
Granuloma piógeno
Es un bulto de paladar común en las mujeres embarazadas. Esta protuberancia tiene color rosado, es blando y si se irrita puede sangrar.
La ubicación más usual es en el centro del paladar. Aunque sea una alteración benigna, resulta molesta para el paciente, por lo que su tratamiento es la extirpación con una simple cirugía.
Lee este artículo: Salud bucodental y embarazo: ¿qué debes saber?
Mucocele o quiste mucoso
Se produce por la acumulación de moco o saliva en el interior de una glándula salival. Al lesionarse un conducto glandular, el contenido no puede salir y se almacena en el interior dando origen a este bulto en el paladar.
Si bien la localización palatina no es la más frecuente, la presencia de glándulas salivales menores posibilitan su aparición. Es una protuberancia redondeada, blanda, de contenido líquido, transparente o azulada y bordes inflamados. Su crecimiento es lento y puede romperse y desaparecer.
No duelen y no necesitan tratamiento. Aunque si persisten o molestan al paciente se los puede eliminar con una cirugía simple.
Adenoma pleomorfo
Es un tumor benigno, no canceroso, de las glándulas salivales. Se manifiesta como una masa única, redondeada, del mismo color de la mucosa palatina, firme a la palpación e indoloro. Se ubica sobre uno de los lados del paladar, en el sector posterior. Su crecimiento es lento.
El tratamiento es quirúrgico. Se lo extirpa de forma completa, aprovechando que, en general, es un tumor bien delimitado, encapsulado y sin infiltraciones.
Tumor maligno de las glándulas salivales
Se presenta como una masa similar al adenoma pleomorfo, pero con un crecimiento más rápido y doloroso. La piel está engrosada. Pueden ser de color blanco, gris o rojo brillante. También pueden verse como una llaga sangrante que no sana. Afecta el habla y la capacidad para tragar.
Si bien se puede dar en cualquier persona, presentan mayor riesgo los fumadores y alcohólicos. Existen diversos grados de malignidad, por lo que es ideal ir al especialista apenas aparezca la lesión.
Al dar con el diagnóstico se debe empezar de inmediato el tratamiento. El mismo dependerá del estadio del tumor y puede ser quirúrgico, con radioterapia o con quimioterapia.
¿Cuándo ver a un médico por un bulto en el paladar?
La mayoría de las veces, los bultos en el paladar sueles ser inofensivos. De todos modos, siempre es recomendable acudir a un odontólogo para llegar a un diagnóstico certero lo antes posible.
Una consulta inmediata es ideal en el caso de presentar algunos de estos síntomas:
- Dolor intenso durante varios días.
- El bulto no desaparece luego de dos semanas.
- La protuberancia presenta heridas o úlceras que no cicatrizan.
- El bulto en el paladar cambia de apariencia o aumenta de tamaño.
- Molestias o dolor al masticar, beber, tragar o hablar.
- Problemas para respirar.
- Presencia de mal aliento u olor fétido en la boca.
- Las prótesis dentales se mueven o no ajustan como siempre.

Posibles tratamientos para los bultos en el paladar
Como ya mencionamos, al notar algo extraño en el techo de la boca siempre es recomendable consultar al dentista. El profesional explorará el bulto en el paladar y solicitará estudios complementarios para arribar al diagnóstico certero.
Extirpación quirúrgica
Son cirugías ambulatorias con anestesia local en las que se extrae la masa tumoral ubicada en el paladar. Se las utiliza, por ejemplo, en los casos de torus que molestan o que interfieren con el uso de una prótesis.
Control de infección
Es el tratamiento para eliminar los bultos que se originan por infecciones, como los abscesos o quistes. En estos casos se realiza la endodoncia del diente y se complementa con antibióticos. En algunos casos hay que agregar cirugía si el problema persiste.
Biopsia excisional
Consiste en eliminar la lesión o quiste y enviarla a analizar para determinar su naturaleza y malignidad. Es útil cuando la clínica no fue suficiente para saber de qué tipo de lesión se trata o se tienen dudas sobre la benignidad o no de la misma.
Se utiliza en casos de granuloma piógeno, adenoma pleomorfo y otros tumores del paladar. La biopsia servirá para evaluar la necesidad de algún tratamiento más intensivo.
Te puede interesar: 5 remedios para el cuidado de la boca
Identificar los bultos en el paladar es el primer paso
Ahora ya sabes que los bultos en el paladar se deben a diferentes causas e incluso son la manifestación de varias patologías. La mayoría de las veces son inofensivos y benignos.
De todas formas, no son algo normal en la boca y la malignidad no deja de ser una posibilidad. Identificarlos y tratarlos a tiempo podrá evitar mayores consecuencias. La valoración de la lesión por un dentista es el primer paso para controlar estas lesiones.
Todas las fuentes citadas fueron revisadas a profundidad por nuestro equipo, para asegurar su calidad, confiabilidad, vigencia y validez. La bibliografía de este artículo fue considerada confiable y de precisión académica o científica.
- De Los Santos, Loudwin, and José Vladimir Diaz. "Torus palatino, Revisión bibliográfica y Reporte de caso clínico." (2017).
- Herrera, Priscila Martínez, Emma Genoveva Aguilar Fuentes, and Jaime Fabián Gutiérrez Rojo. "Lesiones orales del recién nacido." Oral 16.52 (2017): 1283-1286.
- Ortiz, Lizeth Vanessa Fajardo, and Claudia Patricia Peña Vega. "Frecuencia de quistes odontogénicos en pacientes de la Facultad de Odontología, Universidad Nacional de Colombia." Universitas Odontologica 37.79 (2018): 11.
- Min, Hyun Jin, and Kyung Soo Kim. "Pyogenic Granuloma of the Hard Palate." Journal of Craniofacial Surgery 31.6 (2020): e612-e614.
- Terán, Ana Laura Ramírez, et al. "Quiz/Mucocele oral." Dermatología Cosmética, Médica y Quirúrgica 14.1 (2016): 87-89.
- Barrientos Velázquez, Miguel, Luis Alberto Montoya Pérez, and Carlos Juan Liceaga Escalera. "Adenoma pleomorfo del paladar: Reporte de un caso y revisión de la literatura." Revista ADM 71.2 (2014).
- Becerra, Ana Elizabeth Sánchez. "Nódulo fluctuante en paladar duro." e-Gnosis 17 (2019).
- González, Y., J. Tebres López, and Y. Moret. "Carcinoma de paladar duro y antro maxilar. Reporte de un caso." Acta odontológica venezolana 55.1 (2017): 25-26.
- Beristain, Julio César Aguilera, et al. "“ABSCESO APICAL AGUDO VS ADENOMA PLEOMÓRFICO DE PALADAR”." ENDODONCIA MILITAR.
Este texto se ofrece únicamente con propósitos informativos y no reemplaza la consulta con un profesional. Ante dudas, consulta a tu especialista.







