¿Qué es la cardiomegalia y por qué ocurre?


Escrito y verificado por el médico Galo Flores
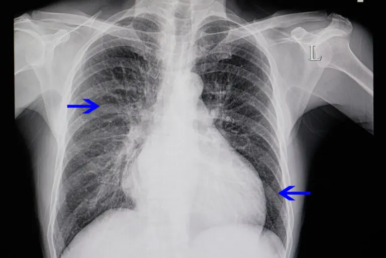
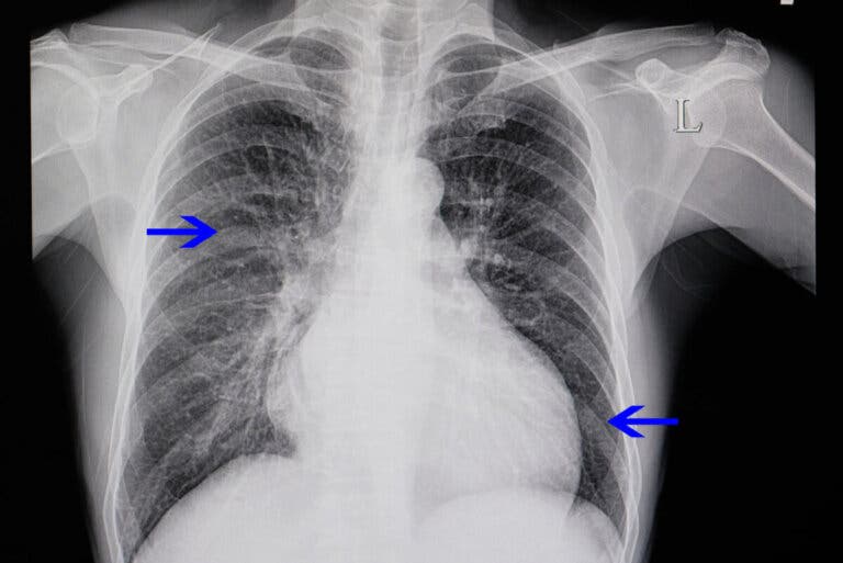
El término cardiomegalia significa aumento del tamaño del corazón. Con frecuencia, un corazón agrandado es un hallazgo en una radiografía de tórax que se realizó por otra razón.
El agrandamiento del corazón no es una enfermedad como tal. Suele ocurrir como resultado de alguna patología que no siempre produce síntomas.
El proceso de aumento de tamaño puede ser de unos pocos meses, como en el embarazo, o tomar años, como en la hipertensión. Una vez que se detectó una cardiomegalia es necesario realizar estudios para encontrar el origen. A continuación te explicamos las causas y sus efectos sobre la salud.
¿Cuáles son los síntomas de la cardiomegalia?
La cardiomegalia, en términos generales, no produce síntomas. Cuando llega a producirlos son inespecíficos. Por esto es indispensable comenzar la búsqueda de la causa.
Como se mencionó antes, a veces aparece como un hallazgo en un estudio de imagen solicitado por otra razón. Un ejemplo es cuando el médico indica una radiografía de tórax para observar los pulmones y aparece un corazón agrandado.
Cuando la cardiomegalia produce síntomas es porque la causa del aumento de tamaño está muy avanzada. En las personas que los tienen síntomas son los siguientes:
- Falta de aire con o sin esfuerzos.
- Ritmo anormal o arritmia.
- Palpitaciones.
- Hinchazón de piernas.
- Dolor en el pecho (angina).
- Náuseas o falta de apetito.
Otra característica de estos síntomas es que las personas suelen sentirse bien en reposo. Al realizar esfuerzos es cuando se presentan las molestias.

¿Cuáles son las causas de la cardiomegalia?
Las causas que producen un aumento del tamaño del corazón son muy diversas. El órgano puede aumentar de tamaño por engrosamiento del músculo o se dilata; esto se traduce en un aumento de tamaño, pero con fuerza disminuida.
A continuación se incluyen las causas más frecuentes:
- Presión arterial elevada: el corazón tiene que latir con más fuerza, lo que ocasiona que el corazón aumente de tamaño por engrosamiento del músculo.
- Obstrucción de las arterias coronarias: cuando ya se ha producido un infarto, una parte del corazón deja de funcionar. El resto del músculo tiene que bombear con más fuerza para satisfacer las necesidades.
- Alteraciones de las válvulas cardiacas: en el corazón hay cuatro válvulas que dirigen el flujo de la sangre en la dirección correcta. Cuando alguna de estas falla, el corazón tiene que hacer un esfuerzo adicional. Esto produce un engrosamiento de las paredes.
- Miocardiopatía: esta es una enfermedad degenerativa del músculo del corazón.
- Hipertensión pulmonar: en esta patología la presión en la arteria que conecta el corazón con los pulmones está elevada. Esto implica un mayor esfuerzo para el miocardio.
- Anemia: cuando hay un bajo nivel de hierro en la sangre el corazón debe bombear más cantidad para llevar oxígeno suficiente a todo el cuerpo.
- Ritmo anormal o arritmia: esto ocurre cuando hay un aumento de los latidos, una reducción o cuando son irregulares.
Lee también: ¿Qué es la cardiopatía isquémica?
¿Existen factores de riesgo para la cardiomegalia?
Las personas que pueden tener un mayor riesgo de cardiomegalia son quienes tienen los siguientes antecedentes:
- Presión arterial alta o hipertensión arterial.
- Alteraciones congénitas o adquiridas de las válvulas del corazón.
- Historia familiar de cardiomegalia.
¿Cómo se diagnostica?
Hay que recordar que un corazón aumentado de tamaño no siempre produce síntomas. Para determinar si existe cardiomegalia y encontrar su origen se deben realizar algunas de las siguientes pruebas:
- Radiografía de tórax: con esta técnica se puede ver el estado de los pulmones y el tamaño del corazón. Si aparece dilatado en una radiografía se necesitarán otras pruebas.
- Electrocardiograma: se puede determinar si el músculo cardiaco está engrosado. También se detectan arritmias, causantes de cardiomegalia. Los infartos antiguos aparecen como zonas con poca actividad eléctrica.
- Ecocardiograma: esta prueba es la más adecuada para diagnosticar y dar seguimiento a un corazón agrandado. Es similar a un estudio por ultrasonido.
- Tomografía computarizada o resonancia magnética cardiaca: mediante estas técnicas se puede determinar si el corazón tiene aumento de tamaño. Al igual que con la radiografía de tórax, no siempre brindan información sobre las causas.
¿Cuál es el tratamiento para la cardiomegalia?
El tratamiento para la cardiomegalia consiste en corregir la causa. Entre los abordajes para atender el origen, los más frecuentes incluyen los siguientes:
- Controlar la presión arterial alta.
- Mejorar la función de bombeo del corazón.
- Corregir arritmias o alteraciones del ritmo cardiaco.
- Reducir el riesgo de formación de coágulos sanguíneos.
- Reparar la función de las válvulas cardiacas.

Posibles complicaciones de la cardiomegalia
El desarrollo de complicaciones y el tiempo para que aparezcan depende del origen de la cardiomegalia. Si no se realiza un diagnóstico oportuno pueden aparecer las siguientes:
- Insuficiencia cardiaca: esto es cuando el corazón no bombea de forma correcta.
- Arritmias: de difícil manejo.
- Formación de trombos o coágulos sanguíneos: por aumento del tamaño de las cavidades cardiacas.
- Muerte súbita: en casos graves.
Te puede interesar: ¿Se puede prevenir una cardiopatía?
¿Se puede prevenir?
Hay muchas formas en las que se puede evitar el desarrollo de una cardiomegalia. Si ya se tiene el diagnóstico, es recomendable aplicar los siguientes cambios en el estilo de vida:
- Dejar de fumar.
- Mantener el peso ideal.
- Llevar una dieta saludable.
- Controlar la diabetes y la presión arterial si están presentes.
- Realizar actividad física moderada con asesoramiento profesional.
- Evitar consumir alcohol y cafeína.
- Tener buenos hábitos de sueño.
El punto más importante es tratar la alteración que produjo la cardiomegalia. Con el tratamiento adecuado y con cambios en el estilo de vida es posible llevar una vida normal. Se pueden obtener grandes resultados si la atención es oportuna.
Todas las fuentes citadas fueron revisadas a profundidad por nuestro equipo, para asegurar su calidad, confiabilidad, vigencia y validez. La bibliografía de este artículo fue considerada confiable y de precisión académica o científica.
- Jaulent-Huertas L, Consuegra-Sánchez L, Vicente-Gilabert M, Melgarejo-Moreno A, Alonso-Fernández N, Díaz-Pastor A, Escudero-García G, Galcerá-Tomás J. Importancia de la presencia de cardiomegalia en el pronóstico de los pacientes con infarto agudo de miocardio [Prognostic importance of cardiomegaly in patients with acute myocardial infarction]. Emergencias. 2015 Oct;27(5):294-300.
- Candemir, Sema, et al. "Deep learning for grading cardiomegaly severity in chest x-rays: an investigation." 2018 IEEE Life Sciences Conference (LSC). IEEE, 2018.
- Amin H, Siddiqui WJ. Cardiomegaly. StatPearls. 2020 Aug 10.
- Samak M, Fatullayev J, Sabashnikov A, Zeriouh M, Schmack B, Farag M, Popov AF, Dohmen PM, Choi YH, Wahlers T, Weymann A. Cardiac Hypertrophy: An Introduction to Molecular and Cellular Basis. Med Sci Monit Basic Res. 2016 Jul 23;22:75-9.
- Desdin Hernández, Yirleydis, Emiliano Izaguirre Cabrera, and Noel Tomás Bruzón. "Cardiomegalia radiológica: una comparación ecocardiográfica." Rev electrón (2009).
Este texto se ofrece únicamente con propósitos informativos y no reemplaza la consulta con un profesional. Ante dudas, consulta a tu especialista.







