8 enfermedades bucales que son contagiosas


Escrito y verificado por la odontóloga Vanesa Evangelina Buffa
Las enfermedades bucales contagiosas no siempre son tenidas en cuenta, pero sí existen. Hay algunas patologías que se pueden transmitir entre las personas y que tienen sus manifestación en la boca.
Sin embargo, hay diversas vías y distintas maneras en las que una enfermedad puede esparcirse desde la boca de alguien. Así también, son variadas las formas que puede tomar una infección contagiosa que se relaciona con la cavidad bucal.
A grandes rasgos, podríamos clasificar a las enfermedades bucales contagiosas en los siguientes grupos:
- Infecciones que se transmiten entre personas y tienen síntomas típicos en la boca: sífilis, herpes, virus del papiloma humano (VPH).
- Enfermedades infecciosas que se transmiten por la saliva: mononucleosis, mano-pie-boca, resfríos.
- Patologías de la boca que necesitan microbios para desarrollarse: caries, periodontitis.
Sigue leyendo y vamos a repasar cada una de ellas para que sepas en qué consisten y qué relación tienen con los microorganismos. Descubrirás que las enfermedades bucales contagiosas son más frecuentes de lo que crees, pero que con medidas simples se puede prevenir su contagio.
Infecciones transmisibles con síntomas típicos en la boca
El primer grupo del que vamos a hablar es el de aquellas enfermedades que tienen signos clásicos en la boca y que un paciente puede transmitir a otra persona. Estas patologías pueden manifestar signos en otras partes del cuerpo, pero su cuadro clínico en la cavidad bucal está bien definido.
1. Sífilis
La sífilis es una infección de transmisión sexual (ITS) que tiene momentos de mayor y de menor prevalencia en el mundo. Si bien tiene un tratamiento simple, con penicilina o sus derivados, sigue siendo un problema de salud pública.
La forma clásica de la enfermedad comienza con una lesión en los órganos genitales, aunque, si se practica sexo oral, también puede aparecer en las mucosas orales. En general, se trata de un chancro sin dolor que puede pasar desapercibido, sobre todo en las mujeres.
Si no se realiza un abordaje correcto al inicio, en la primera etapa, la infección puede avanzar y la enfermedad se complica. En dicho caso, una segunda etapa tendrá síntomas más notorios en la piel y en las mucosas, incluida la de la boca.
Si no se tratara tampoco en este estadio, la tercera etapa será la de las complicaciones a largo plazo. Tras años de latencia, la sífilis podría derivar, hasta en el 30 % de los pacientes, en daños en el sistema nervioso central, en los nervios y en el corazón, con serias consecuencias.
Como una de las enfermedades bucales contagiosas, la sífilis aparece con lesiones concretas en la boca de los pacientes. En su forma primaria o más temprana, hay quienes pueden tener una úlcera en el paladar o en los labios. Esta úlcera tiene una base roja, pero el resto es de color marrón o más oscuro. No siempre resulta fácil diferenciarla de las aftas que causan otras patologías.
En cuanto a la sífilis secundaria, es la etapa en la que la boca recibe más cantidad de signos. Los pacientes suelen presentar elevaciones de la mucosa en el paladar, en las comisuras de los labios, en las encías y hasta en el fondo de la garganta.
Finalmente, en un paciente con sífilis terciaria, un problema bucal notorio es el llamado “goma sifilítico”. Es un nódulo que tiende a estar en el paladar o en la lengua, que resulta duro al principio, pero luego se reblandece con el paso del tiempo.
La mejor herramienta para evitar la sífilis es el uso del preservativo en las relaciones sexuales ocasionales o con parejas desconocidas. De todos modos, si sucediese el contagio, el tratamiento oportuno con penicilina, en la primera etapa, resuelve el cuadro por completo.
2. Herpes oral
El herpes oral es una de las enfermedades bucales contagiosas más prevalente. Es posible que nosotros mismos o algún conocido haya tenido alguna vez pequeñas ampollas en forma de racimos en la comisura de los labios.
El agente causal es el virus del herpes simple tipo 1 (VHS 1). La otra variedad del virus, la tipo 2 (VHS-2), si bien puede causar la forma oral, no es la más frecuente. Se encuentra más asociada al herpes genital.
Las pequeñas ampollas de la patología tienen líquido adentro. Una vez que se rompen y ese contenido se drena, se suele formar una costra que iniciará el proceso de cicatrización. Lo normal es que no queden marcas en la zona tras haber padecido el cuadro clínico.
El contagio del virus entre personas sucede en diferentes etapas. Antes de que un paciente tenga las ampollas puede contagiar a otro, pero también lo hará cuando esté la infección activa, con el líquido de las lesiones.
Este líquido se considera el más contagioso. En el momento en que las ampollas comienzan a reventar por sí solas, la persona tiene más capacidad de transmitir el virus a los otros, por contacto directo o a través de utensilios de uso diario, como toallas o cubiertos.
Si bien no hay un tratamiento específico y curativo para el herpes labial, existen fármacos que reducen la duración de los síntomas. Es el caso del aciclovir. De todas maneras, el virus queda latente en el cuerpo y puede reactivarse en cualquier momento, generando de nuevo las ampollas.
Las situaciones de estrés, la caída en las defensas del sistema inmunitario o la ocurrencia de otra enfermedad en el cuerpo, son motivos suficientes para la reactivación. En general, los subsiguientes episodios duran menos días.

3. Virus del papiloma humano (VPH)
La infección por el VPH se considera la ITS más prevalente en todo el mundo. La transmisión del virus es relativamente sencilla a través del contacto directo, las relaciones sexuales y los fluidos corporales.
Pero no toda infección por VPH es igual. Existen múltiples tipos del virus, aunque los que causan enfermedades bucales contagiosas son algunos, mas no aquellos que se vinculan con las verrugas genitales y el riesgo de cáncer de cuello uterino en las mujeres.
La transmisión del agente viral por las relaciones sexuales con sexo oral de por medio es muy frecuente. Esta práctica suele carecer de los métodos preventivos que sí se aplican para otras modalidades, como podría ser el preservativo. Eso la hace más propensa al contagio.
Hay que tomar en cuenta que una infección por VPH en la boca es susceptible de evolucionar a cáncer en la cavidad bucal. En específico, se ha relacionado con el carcinoma escamocelular, partiendo de una lesión premaligna que se forma en la mucosa o en los labios.
La lesión típica del VPH en la boca es un papiloma o una verruga. También puede suceder que la persona que porta el virus ni siquiera se entere de su presencia en la mucosa, porque las lesiones no se han desarrollado o porque son tan pequeñas, que no molestan.
No hay un tratamiento específico para el VPH oral. La mayoría de las lesiones que lleguen a desarrollarse, desaparecerán en el término promedio de 2 años. Es la evolución natural del virus en el cuerpo.
Enfermedades infecciosas que se transmiten por la saliva
Hay enfermedades que sin ser totalmente bucales, resultan contagiosas por la saliva. En este grupo incluimos 3 cuadros clínicos benignos que no suelen derivar en mayores complicaciones.
4. Mononucleosis
La mononucleosis o “mono” o “enfermedad del beso” es una infección originada por el virus de Epstein-Barr (VEB) que, como su nombre coloquial lo indica, se transmite por la saliva. Tiene tendencia a presentarse en personas jóvenes.
Una vez que el virus ingresó al cuerpo, tarda casi un mes en desarrollar los primeros síntomas. A veces aparecen todos los signos juntos, pero también pueden escalonarse en su manifestación.
En general, los pacientes cursan un cuadro de gran agotamiento físico con ganglios inflamados en todo el cuerpo (adenopatías). Hay también inflamación de la garganta y puede confundirse con una gripe. La fiebre puede estar presente o no.
No hay un tratamiento específico. Se indica reposo por el cansancio extremo, así como hidratación y suspensión de las actividades hasta tanto se recupere el organismo. Al inicio, sobre todo, son necesarios antiinflamatorios y antifebriles para contribuir al bienestar.
5. Mano-pie-boca
La enfermedad mano-pie-boca es una de las clásicas de la infancia. Sobre todo entre niños pequeños que asisten a guarderías y jardines, su presencia se puede multiplicar de manera exponencial cuando hay brotes.
El virus causal es el coxsackie A16 y se transmite a través de la saliva o las heces. Por eso, cuando da inicio un caso en un ambiente cerrado, como las escuelas de nivel inicial, es muy probable que gran parte de los compañeros se contagien.
El nombre representa a los síntomas de esta patología. Aparece una erupción, que puede o no ser dolorosa, en las manos, en los pies y en la boca. También habrá algo de fiebre e irritabilidad. Recordemos que la mayoría de los pacientes son menores de 5 años, así que el llanto y la falta de apetito serán frecuentes.
No hay un tratamiento específico, como sucede con otras enfermedades bucales que son contagiosas. Se trata de aislar a los casos para reducir el contagio, pero luego resta esperar a que el cuerpo del infante elimine el virus de manera natural.
Las complicaciones son mínimas e infrecuentes. Se realizan controles regulares para detectar si el agente viral ha migrado a ciertos órganos, como el cerebro. Sin embargo, la mayoría de los niños evolucionan muy bien.
6. Resfríos
El resfrío es una enfermedad infecciosa respiratoria muy frecuente en determinadas temporadas del año. El frío y la exposición a las bajas temperaturas favorecen su aparición y transmisión entre personas.
Se incluye dentro de las enfermedades bucales contagiosas porque las gotitas de saliva son, en parte, culpables del viaje de las partículas virales por el aire. Lo mismo aplica para otros cuadros clínicos del mismo tipo o similares, como podría ser la gripe.
Es por esto que las recomendaciones de cuidado para un paciente con resfrío o para la población general en las épocas de frío, incluyen medidas vinculadas con la boca:
- Tapar la nariz y la cavidad bucal con el pliegue interno del codo al estornudar o toser.
- Reservar cubiertos y elementos varios aislados para la persona que atraviesa el cuadro de resfrío.
- Evitar la asistencia a lugares de trabajo o estudio mientras están presentes los síntomas, de modo que no haya cercanía con otros.
Patologías de la boca que requieren microbios para desarrollarse
Este último grupo del que hablaremos entre las enfermedades bucales que son contagiosas, puede prestarse a confusión. Las caries y la periodontitis necesitan la presencia de bacterias en la boca para desarrollarse, sin embargo, no es un contagio como lo imaginamos con otras patologías.
Las bacterias de la boca que se esconden detrás de las caries, por ejemplo, es posible que estén presentes en la mayoría de la población mundial. Así que el contagio como tal ha ocurrido en la infancia, por el mero hecho de vivir.
Aun así, ellas no son las únicas responsables. Otros factores coinciden para que, finalmente, una persona tenga caries o periodontitis.

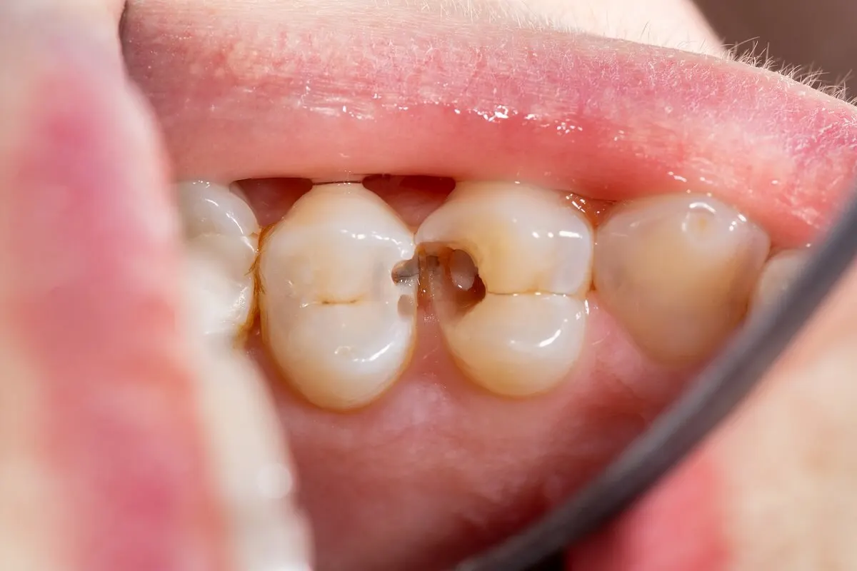
7. Caries
Las bacterias de la boca metabolizan los azúcares de la dieta, convirtiéndolos en ácidos que son capaces de dañar el esmalte. Entonces, los microorganismos son necesarios para la enfermedad, pero si hay una buena higiene bucal y una baja ingesta de carbohidratos simples, será más difícil que ocurra el proceso de daño.
Los microorganismos de la boca forman una microbiota estable que se conforma a lo largo de los años de vida. Adquirimos diversas bacterias por “contagio”, por contacto con otras personas y con el mundo.
Sin embargo, si nuestra higiene dental es apropiada y controlamos la presencia de azúcares en la dieta, será menos probable que tengamos caries. Nunca podremos eliminar a estas bacterias de la cavidad bucal, así que debemos convivir con ellas.
8. Periodontitis
La periodontitis es la evolución de una gingivitis (inflamación de las encías). Se llama así porque se asienta en el periodonto, que es la región anatómica que rodea al diente y lo mantiene unido al hueso maxilar.
En consecuencia, una persona con periodontitis puede llegar a la caída de sus dientes, por el aflojamiento de los mismos. La inflamación es tanta, que las encías también sangrarán al mínimo contacto de manera espontánea.
De nuevo, es la higiene bucodental la clave para la prevención. Con una correcta limpieza de dientes y encías es posible prevenir la proliferación de las bacterias que llevarán a la gingivitis y, luego, a la periodontitis.
Las enfermedades bucales contagiosas se pueden prevenir
Como habrás comprobado, estas 8 enfermedades bucales contagiosas se pueden prevenir en su gran mayoría. Y las formas de evitar sus apariciones son sencillas.
Para las ITS, la herramienta es el preservativo. Las relaciones sexuales seguras limitan el contagio. Para las patologías virales, el aislamiento de los pacientes con lesiones activas, el hecho de no compartir utensilios y el tratamiento oportuno, reducen la dispersión de los microorganismos.
Finalmente, para mantener controladas las bacterias de la boca, el método efectivo es la correcta higiene bucodental. Tareas sencillas y buenos hábitos pueden mantenernos lejos de las enfermedades bucales más contagiosas.
Todas las fuentes citadas fueron revisadas a profundidad por nuestro equipo, para asegurar su calidad, confiabilidad, vigencia y validez. La bibliografía de este artículo fue considerada confiable y de precisión académica o científica.
- Apoita Sanz, María, et al. "Sífilis: manifestaciones orales, revisión sistemática." Avances en Odontoestomatología 36.3 (2020): 159-173.
- Ros-Vivancos, Cristina, et al. "Evolución del tratamiento de la sífilis a lo largo de la historia." Revista española de quimioterapia 31.6 (2018): 485.
- Morones, Diviana Gómez, et al. "Recurrent intraoral herpes." Revista Mexicana de Periodontología 12.1-3 (2021): 30-33.
- Boguñá, Núria, Laia Capdevila, and Enric Jané-Salas. "El virus del papiloma humano y su relación con la patología de la cavidad oral." Medicina Clínica 153.4 (2019): 157-164.
- Naughton, P., et al. "Infectious Mononucleosis: diagnosis and clinical interpretation." British journal of biomedical science 78.3 (2021): 107-116.
- Acosta Torres, José, et al. "Características clínico epidemiológicas de pacientes pediátricos con enfermedad boca, mano, pie." Revista Cubana de Pediatría 90.3 (2018): 1-12.
- García, Ana Pamela Gómez, Yolanda López Vidal, and María Magdalena Aguirre García. "Microbioma oral: variabilidad entre regiones y poblaciones." Revista de la Facultad de Medicina UNAM 65.5 (2022): 8-19.
- Al-Shahrani, Mohammed Awadh. "Microbiology of dental caries: A literature review." Annals of Medical and Health Sciences Research (2019).
- Scannapieco, Frank A., and Eva Gershovich. "The prevention of periodontal disease—An overview." Periodontology 2000 84.1 (2020): 9-13.
Este texto se ofrece únicamente con propósitos informativos y no reemplaza la consulta con un profesional. Ante dudas, consulta a tu especialista.







