Manchas blancas en los dientes: ¿por qué aparecen?


Escrito y verificado por la odontóloga Vanesa Evangelina Buffa
Las manchas blancas en los dientes pueden aparecer por diferentes motivos y relacionarse a distintos factores. Significan para quien las lleva un problema estético y muchas veces, también una afección subyacente.
En algunos casos son una señal que indica que la higiene dental está fallando, que la placa bacteriana se está acumulando y los elementos dentarios están perdiendo sus minerales. Pero otras veces pueden generarse por otras situaciones y en este artículo te las detallamos.
Conocer su origen permite determinar el tratamiento a realizar. En la mayoría de los casos, tienen solución y el paciente puede volver a lucir una sonrisa bonita. Sigue leyendo para conocer más sobre las manchas blancas en los dientes.
¿Qué son las manchas blancas en los dientes?
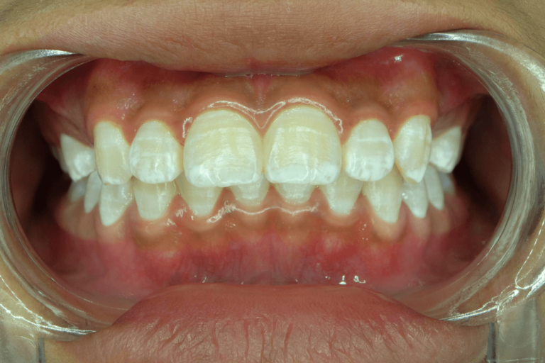
Las manchas blancas en los dientes se observan como un cambio de coloración sobre la superficie del esmalte dentario. Se ven como zonas de un aspecto blanco mate seco, que contrasta con el blanquecino amarillento o grisáceo brillante normal de la pieza dentaria.
Son bastante comunes y su aparición está relacionada a varios factores, siendo la falta de higiene dental la causa más frecuente. El consumo excesivo de alimentos azucarados, el inicio de las caries, las hipoplasias y la fluorosis pueden ser otros motivos de su origen.
Pueden aparecer tanto en niños como en adultos, en elementos dentarios temporales y definitivos. Su aparición no solo supone un problema de salud, sino también estético. Pues a veces ocasionan inseguridad y baja autoestima en el paciente, que trata de ocultar su sonrisa por la manera en la que se ven sus dientes.
Poder esclarecer la causa que origina las manchas blancas en los dientes permite planificar el tratamiento adecuado y tomar las medidas necesarias para evitar la aparición de nuevas lesiones. Visitar al odontólogo al notar cualquier cambio de coloración en las piezas dentarias es lo más aconsejable.
Manchas blancas en los dientes y su relación con enfermedades bucodentales
Como ya adelantamos, existen diferentes motivos que hacen aparecer manchas blancas en los dientes. Algunos se relacionan al momento de formación de las piezas dentarias y otros a situaciones externas que originan afecciones bucodentales que se manifiestan con estas lesiones.

1. Hipoplasias dentarias
La lesión se genera por una mineralización deficiente e insuficiente en el proceso de formación de los tejidos duros del diente. Se trata de una alteración que se produce durante el momento del desarrollo del elemento dentario, es decir, en el vientre de la madre o en los primeros años de vida.
Son varias las causas que pueden dar origen a una hipoplasia dentaria:
- Problemas durante el embarazo: padecer ciertos problemas durante el embarazo, cuando se están formando las futuras piezas dentarias del bebé, puede alterar su mineralización y ocasionar hipoplasias. Fiebre alta, infecciones, enfermedades maternas, deficiencias nutricionales o la ingesta de medicamentos durante la gestación dan origen a estas alteraciones.
- Problemas en la primera infancia: sufrir ciertas afecciones durante los primeros años de vida, cuando las piezas dentarias se siguen formando, también ocasiona hipoplasias. Nacimientos prematuros, bajo peso al nacer, infecciones, fiebres altas, enfermedades sistémicas, desnutrición y déficit de vitaminas son algunos ejemplos que pueden alterar la mineralización de los dientes.
- Traumatismos: cuando un golpe afecta una pieza dentaria de leche, la misma puede lesionar el germen del diente definitivo que se está formando en el interior del hueso a través de su raíz . Esto ocasiona una hipoplasia en el elemento permanente.
2. Manchas blancas en los dientes por fluorosis
La fluorosis dental es una patología que se produce por el consumo excesivo de flúor durante el período de formación de las piezas dentarias. Superar las dosis diarias recomendadas para este mineral cuando los dientes se están desarrollando es lo que ocasiona el problema.
En algunas regiones del mundo, el agua de bebida contiene una elevada cantidad del mineral y su consumo durante el desarrollo de los elementos dentarios puede originar la fluorosis. Utilizar suplementos de flúor cuando no es necesario o la ingesta de flúor en pastas dentales con altas concentraciones también pueden ser el origen.
La fluorosis se manifiesta como manchas blancas en la superficie de los dientes. Suelen ser varias las piezas dentarias afectadas y tienen un veteado característico. En los casos más severos la coloración es más amarronada y también pueden observarse imperfecciones, como rugosidades y hoyuelos sobre las coronas dentarias.
3. Caries dental
Una de las causas más frecuentes de las manchas blancas en los dientes es la caries dental. El inicio de esta enfermedad se manifiesta con una coloración blanquecina opaca, sin brillo y de aspecto seco.
La misma se ocasiona por la pérdida de minerales del esmalte de la corona dentaria. Esto sucede por la acción de los ácidos que producen las bacterias al fermentar los hidratos de carbono de la dieta.
Por lo tanto, este tipo de mancha blanca está asociada a una deficiente higiene dental y una dieta rica en hidratos de carbono, sobre todo de alimentos ricos en azúcares. Pues esto favorece la formación y el acúmulo de la placa bacteriana que da origen a las caries.
En general, esta lesión suele pasar desapercibida por los pacientes, por lo que los controles odontológicos periódicos son fundamentales. Este estadio de la enfermedad es reversible y con el uso de flúor terapéutico la pieza dentaria puede recuperar su salud.
4. Descalcificación de los dientes
Existen zonas localizadas de pérdida y falta de calcio que se manifiestan como manchas blancas en los dientes. Las mismas pueden ocasionarse por diferentes motivos:
- Erosión dental: exponer de manera frecuente la superficie de los dientes a la acción de ácidos, sodas, refrescos, cítricos o vinagres afecta el esmalte dentario. Sufrir de reflujo ácido también puede alterar la superficie dentaria.
- Prácticas de higiene dental muy traumáticas: cepillar los dientes muy rápido, con demasiada presión, haciendo mucha fuerza o utilizando un cepillo de cerdas muy duras de manera frecuente puede desgastar el esmalte dentario.
- Deficiencias nutricionales: la falta de nutrientes suficientes y los períodos prolongados de acidez del medio bucal favorecen la pérdida de minerales de las piezas dentarias.
- Sequedad bucal: la falta de saliva favorece la pérdida de minerales de las piezas dentarias.
5. Manchas blancas asociadas al uso de ortodoncia
Existe una relación entre los tratamientos de ortodoncia con brackets y las manchas blancas en los dientes. Si bien no son los aparatos los que ocasionan estos defectos en las piezas dentarias, la dificultad para mantener una adecuada higiene dental suele dar origen a la afección
Al no higienizar de manera correcta todas las zonas de la boca se acumula placa bacteriana alrededor de los brackets y debajo de las bandas. Esto da lugar a una desmineralización del esmalte que se observa como manchas blancas en los dientes. En general, las mismas se hacen evidentes al retirar la aparatología y se deben tratar en ese momento.
¿Cómo se eliminan las manchas blancas en los dientes?
Como ya lo adelantamos, es necesario determinar la causa de las manchas blancas en los dientes para decidir qué tratamiento utilizar para revertirlas. Acudir al odontólogo permite obtener un diagnóstico certero y planificar la terapéutica indicada para cada caso particular.
1. Flúor terapéutico
El flúor se utiliza para tratar las manchas blancas ocasionadas por descalcificaciones y los primeros estadios de las caries. Aplicar el elemento de manera local sobre las piezas dentarias permite que las mismas se remineralicen.
El tratamiento lo realiza el odontólogo en el consultorio, colocando el flúor sobre la superficie dentaria, dejándolo actuar un tiempo. El mismo se presenta en forma de geles, barnices o espumas que contienen una alta concentración del mineral.
Luego de colocar el producto, el dentista indicará al paciente no comer, beber ni enjuagarse la boca por unas horas. Además, indicará cada cuánto repetir las aplicaciones para revertir la lesión.
2. Microabrasión dental
Esta terapéutica es útil para tratar manchas blancas superficiales. El procedimiento consiste en pulir la zona del diente afectada con instrumental rotatorio o ácidos especiales. Luego, la porción del diente intervenido se rellena con composites del mismo color de la pieza dentaria.
3. Empastes
Otra manera de eliminar las manchas de los dientes es a través de la colocación de empastes. Se utilizan para manchas más grandes y más profundas.
Aquí hay que eliminar el tejido afectado con instrumental rotatorio y dejar una cavidad. La misma se rellena con composites del mismo color del diente que se unen a través de sistemas de adhesivos especiales.
El material que se utiliza tiene una consistencia similar a la masilla, permitiendo que el dentista pueda moldearla y darle el aspecto que desee. Al finalizar, se aplica una luz especial que endurece el material y luego se pule el empaste para darle el acabado final.
4. Carillas o coronas dentales
Estas opciones se consideran para los casos más severos, cuando hay grandes zonas afectadas y las manchas se ocasionaron por problemas durante el desarrollo, como las hipoplasias y la fluorosis. Las carillas o coronas permiten cubrir las imperfecciones, dando un aspecto natural a las piezas dentarias.
Las carillas se caracterizan por colocarse en la porción frontal del diente. Previamente se debe hacer un pequeño desgaste sobre la pieza dentaria para otorgarle sostén. Las mismas están confeccionadas de composite o de porcelana, lográndose una óptima estética.
En cambio, las coronas cubren la totalidad de los dientes, como un tapón. También es necesario tallar la pieza dentaria para colocarlas, siendo necesario un desgaste mayor.
Para diseñarlas se tiene en cuenta la forma, el color y el tamaño del diente a restaurar, de modo que sean personalizadas y solucionen de manera adecuada cada caso particular.
5. Blanquemiento dental
El blanqueamiento es una de las formas más eficaces de conseguir una sonrisa más blanca y bonita. Además, resulta una buena forma de eliminar las manchas blancas de los dientes, sobre todo cuando se encuentran en la capa más externa de la pieza.
Esta técnica odontológica no solo busca obtener resultados más estéticos, sino que también nivela el esmalte, lo que facilita la limpieza de los dientes y la eliminación de las bacterias. En la actualidad existen múltiples tipos de blanqueamientos, por lo que lo ideal es consultar con un odontólogo para seleccionar el más adecuado.

Prevención de manchas blancas en los dientes
Algunas manchas blancas en los dientes no se pueden evitar, pero la mayoría son prevenibles poniendo en práctica algunos de los siguientes consejos:
- Higiene dental adecuada: evitar la acumulación de placa bacteriana previene la pérdida de minerales de las piezas dentarias. Cepillar los dientes de manera exhaustiva tres veces al día, utilizar hilo dental, pasta con flúor y complementar con enjuagues bucales es fundamental. Los pacientes con brackets deberán prestar especial atención a la higiene minuciosa de su boca, procurando llegar a todas las zonas de la cavidad oral.
- Evitar el consumo excesivo de flúor: conocer los niveles de flúor del agua de bebida, evitar utilizar suplementos que contengan el mineral sin indicación médica y usar la cantidad de pasta dental adecuada para cada edad evitará fluorosis en los niños.
- Alimentación saludable: llevar una dieta equilibrada y nutritiva evita la carencia de minerales que podrían ocasionar descalcificaciones en los dientes. Evitar los alimentos procesados, ácidos y con alto contenido de azúcar también ayudará a disminuir el riesgo de manchas blancas en los dientes.
- Visitar regularmente al dentista: consultar de manera frecuente al odontólogo permite detectar cualquier problemática a tiempo para tratarla de manera oportuna. Las limpiezas profesionales y los consejos que aporta el dentista ayudan a controlar la placa bacteriana y mantener la boca saludable.
Cuidar la sonrisa
Tener manchas blancas en los dientes no solo es un problema de salud bucodental. También afecta la estética de la persona, lo que puede ocasionar problemas de autoestima y seguridad.
Evitar las manchas blancas y tener una dentadura bonita es posible llevando ciertos cuidados. Con prácticas saludables y visitas regulares al odontólogo, sonreír no será un problema para ti.
Todas las fuentes citadas fueron revisadas a profundidad por nuestro equipo, para asegurar su calidad, confiabilidad, vigencia y validez. La bibliografía de este artículo fue considerada confiable y de precisión académica o científica.
- Quiñones Ybarría, María Elena, et al. "Estado de salud bucal: su relación con el estado nutricional en niños de 2 a 5 años." Revista Cubana de Estomatología 45.2 (2008): 0-0.
- Giraldo Giraldo, Nubia Amparo, Alejandro Estrada Restrepo, and Andrés Alonso Agudelo Suárez. "Malnutrición y su relación con aspectos de salud en adultos mayores." (2019).
- Loyola-Rodríguez, J. P., et al. "Incidencia de lesión de mancha blanca en las clínicas de ortodoncia de la Universidad Michoacana en Morelia, Michoacán, México." Actualidad Médica 803 (2018).
- Da Silva, Claudia Ester, Julieta Galán, and Stella Maris González. "Etiología y diagnóstico diferencial de las lesiones de mancha blanca sobre la superficie adamantina." III Jornadas de Actualización en Prácticas Odontológicas Integradas SEPOI-PPS (La Plata, 2018). 2018.
- Narváez Santos, María José. Tratamiento de la mancha blanca del esmalte post tratamiento ortodóncico. BS thesis. Universidad de Guayaquil. Facultad Piloto de Odontología, 2021.
- Garófalo León, Mirian Adela. "Prevalencia de mancha blanca en pacientes de 3 a 6 años Clínica Odontológica UCSG B 2017." (2018).
- Maldonado-Ramírez, M. A., et al. "Remineralización de caries de mancha blanca no cavitada: estudio in vitro." Oral 20.64 (2019): 1766-1770.
- Carrasco Morales, Maria Belén. Fluorosis dental infantil. BS thesis. Universidad de Guayaquil. Facultad Piloto de Odontología, 2021.
- Lalama Pincay, Martha Elizabeth. Microabrasión adamantina con ácido clorhídrico y ácido fosfórico en tratamiento de fluorosis dental leve. BS thesis. Universidad de Guayaquil. Facultad Piloto de Odontología, 2018.
- Poma Torres, Esthefania Mirella. Manejo y protocolo de atención de la hipoplasia en niños. BS thesis. Universidad de Guayaquil. Facultad Piloto de Odontología, 2021.
- Montero Ronquillo, Mercedes María. Manchas blancas como primera manifestación en la Estructura dental en dentición temporaria. BS thesis. Universidad de Guayaquil. Facultad Piloto de Odontología, 2021.
- Uzuriaga Bonifacio, Jossibel Dunea. "EFECTIVIDAD DEL FLUOR BARNIZ FRENTE AL FLUOR GEL NEUTRO PARA EL TRATAMIENTO DE MANCHAS BLANCAS DENTARIAS EN NIÑOS DE 5 A 6 AÑOS EN EL HOSPITAL II ESSALUD HUÀNUCO 2019." (2021).
- González, María Alejandra Romero, and Denisse Pilar Carmen Aguilar Gálvez. "Comparación de tres agentes remineralizantes utilizados en lesiones de manchas blancas en premolares medidos con fluorescencia láser: un estudio in vitro." Revista Científica Odontológica 7.1 (2019): 66-77.
Este texto se ofrece únicamente con propósitos informativos y no reemplaza la consulta con un profesional. Ante dudas, consulta a tu especialista.







