Micosis fungoide: qué es y en qué consiste


Escrito y verificado por el médico Nelton Abdon Ramos Rojas
La micosis fungoide es la forma más frecuente de linfoma cutáneo de células T, un tipo de glóbulos blancos. Un linfoma es una formación neoplásica, en este caso afecta a la piel y suele manifestarse por enrojecimiento cutáneo, con distintas etapas de evolución.
El diagnóstico se basa en una toma de tejido o biopsia que posteriormente se analizará. En función del estadio en el que se diagnostique, el pronóstico y las opciones terapéuticas serán unas u otras.
Aunque el término micosis suele utilizarse para hablar de infecciones producidas por hongos, en este caso estamos hablando de un linfoma, es decir, una proliferación neoplásica o cancerosa. Los linfomas son neoplasias causadas porque los linfocitos (células sanguíneas que forman parte del sistema inmune) se vuelven malignos.
Hay dos tipos de linfocitos: linfocitos B y linfocitos T. En la micosis fungoide los linfocitos malignos son los linfocitos T, que crecen en órganos linfoides y afectan a la piel.
¿Linfoma o leucemia?

Ambos términos se utilizan para hablar de neoplasias que afectan a las células sanguíneas. La diferencia principal entre leucemia y linfoma es el lugar donde se encuentran las células malignas:
- En las leucemias, las células malignas aparecen en sangre periférica y en la médula ósea, lugar donde se generan todas las células sanguíneas.
- En los linfomas, las células malignas se encuentran en órganos linfoides, como los ganglios linfáticos, con baja presencia en sangre y médula ósea. Los ganglios linfáticos son estructuras pequeñas y ovaladas que forman parte del sistema inmune y están distribuidos por todo el organismo.
Aunque leucemia y linfoma son términos distintos, no siempre se diferencian bien en la práctica. Se dice que los linfomas se “leucemizan” cuando las células cancerosas aparecen en la sangre. De igual forma, en las leucemias se pueden encontrar células cancerosas en ganglios linfáticos.
La forma leucémica de la micosis fungoide se denomina síndrome de Sezary. Al respecto, los expertos del Instituto Nacional del Cáncer indican: “la micosis fungoide y el síndrome de Sézary son enfermedades por las que los linfocitos (tipo de glóbulos blancos) se vuelven malignos (cancerosos) y afectan la piel”.
Lee: Un grupo de científicos encuentra un sistema para que las células de leucemia se destruyan entre sí
Clínica de la micosis fungoide
Pueden diferenciarse distintos estadios evolutivos en el desarrollo de la micosis fungoide, aunque no siempre aparecen ni siguen esta secuencia:
- Fase premicótica: es difícil el diagnóstico en esta fase ya que únicamente aparece una erupción cutánea. La piel se enrojece en algunas zonas sin seguir un patrón claro. Además, no suele producir síntomas de ningún tipo.
- Fase de parches: la erupción cutánea es similar a un eccema como el que aparece en algunos tipos de dermatitis. La piel enrojecida se inflama y puede descamarse, produciendo picor intenso o prurito.
- Fase de placas: las lesiones se elevan y forman lo que se denominan pápulas, pueden seguir enrojecidas y suelen ser duras al tacto.
- Fase tumoral: las placas pasan a ser tumores, es decir, masas de células anormales. En función de la agresividad y el tiempo de evolución, pueden infectarse o ulcerarse.
Si hay síndrome de Sezary, la distribución de las lesiones puede ser generalizada, con dolor y quemazón, escozor y posible descamación.
Diagnóstico de la micosis fungoide

Es clave en cualquier diagnóstico el examen físico del paciente. Hay que examinar cada lesión por separado y preguntar sobre la evolución y la forma de aparición de las mismas.
Ya que no todos los pacientes evolucionan de la misma forma, es imprescindible un estudio sanguíneo y la realización de una biopsia de piel.
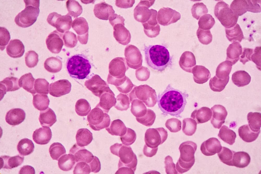
- Estudio sanguíneo: debe incluir un hemograma, es decir, un recuento de cada tipo de célula sanguínea. Es muy útil ya que informa sobre el tipo de célula que está proliferando. También se puede hacer un frotis de sangre periférica que, en el caso de las leucemias, mostrará las células anormales.
- Biopsia cutánea: una toma de las lesiones cutáneas y su posterior análisis microscópico nos dará el diagnóstico de la micosis fungoide.
Estadio evolutivo
Una vez tenemos el diagnóstico, es importante determinar el estadio evolutivo de la micosis fungoide. Dicho de otra forma, hay que averiguar en qué grado afecta el cáncer al resto del organismo.
Como es lógico, cuanto mayor sea la propagación tumoral peor pronóstico tendrá el paciente. Se distinguen cuatro estadios:
- Estadio I:
- IA. La superficie afectada es menor del 10 % de la superficie corporal y solo aparecen manchas o pápulas.
- IB. La superficie afectada es mayor del 10 %, pero solo aparecen manchas o pápulas.
- Estadio II:
- IIA. Además de la afectación cutánea, los ganglios linfáticos están inflamados. Dicho de otra forma, hay adenopatías, pero no contienen células tumorales.
- IIB. Aparecen tumores en la piel. Su longitud es como mínimo de 1 cm y si hay adenopatías, no contienen células tumorales.
- Estadio III: Casi toda la piel está enrojecida y con manchas, placas o tumores. El cáncer no ha infiltrado los ganglios linfáticos.
- Estadio IV:
- IVA: La mayor parte de la piel está afectada así como los ganglios linfáticos.
- IVB: La afección cutánea es generalizada y además el tumor se ha diseminado hacia otros órganos. Los ganglios linfáticos pueden estar infiltrados o no, también puede haber linfocitos malignos en sangre.
Te recomendamos leer: Linfoma de Hodgkin
Pronóstico de la micosis fungoide

El pronóstico de la enfermedad depende del estado general del paciente, de las características específicas de las células tumorales y del estadio evolutivo en el que se diagnostica la enfermedad.
En general, tanto la micosis fungoide como el síndrome de Sezary, son enfermedades de díficil curación, el tratamiento suele ser paliativo. Aun así, si el diagnóstico es temprano la esperanza de vida es larga. Los pacientes diagnosticados en estadio I tienen una media de supervivencia de 20 años.
Los principales factores de mal pronóstico son los siguientes:
- Diagnóstico en estadio IV.
- Más de 60 años.
- Transformación celular a células grandes.
- Concentraciones elevadas de lactato-deshidrogenasa (LDH). Es un marcador de la replicación celular, cada vez que una célula se divide, produce LDH. Entonces, cuánto más se dividan las células tumorales, más agresivo será el tumor y más se elevará la LDH.
El tratamiento de la micosis fungoide suele basarse en un tratamiento sintomático, se basa en radioterapia, quimioterapia, terapia fotodinámica (se utilizan láseres de distintos tipos para eliminar las células tumorales), terapia biológica y ciertos fármacos.
La micosis fungoide es la forma más frecuente de linfoma cutáneo de células T, un tipo de glóbulos blancos. Un linfoma es una formación neoplásica, en este caso afecta a la piel y suele manifestarse por enrojecimiento cutáneo, con distintas etapas de evolución.
El diagnóstico se basa en una toma de tejido o biopsia que posteriormente se analizará. En función del estadio en el que se diagnostique, el pronóstico y las opciones terapéuticas serán unas u otras.
Aunque el término micosis suele utilizarse para hablar de infecciones producidas por hongos, en este caso estamos hablando de un linfoma, es decir, una proliferación neoplásica o cancerosa. Los linfomas son neoplasias causadas porque los linfocitos (células sanguíneas que forman parte del sistema inmune) se vuelven malignos.
Hay dos tipos de linfocitos: linfocitos B y linfocitos T. En la micosis fungoide los linfocitos malignos son los linfocitos T, que crecen en órganos linfoides y afectan a la piel.
¿Linfoma o leucemia?

Ambos términos se utilizan para hablar de neoplasias que afectan a las células sanguíneas. La diferencia principal entre leucemia y linfoma es el lugar donde se encuentran las células malignas:
- En las leucemias, las células malignas aparecen en sangre periférica y en la médula ósea, lugar donde se generan todas las células sanguíneas.
- En los linfomas, las células malignas se encuentran en órganos linfoides, como los ganglios linfáticos, con baja presencia en sangre y médula ósea. Los ganglios linfáticos son estructuras pequeñas y ovaladas que forman parte del sistema inmune y están distribuidos por todo el organismo.
Aunque leucemia y linfoma son términos distintos, no siempre se diferencian bien en la práctica. Se dice que los linfomas se “leucemizan” cuando las células cancerosas aparecen en la sangre. De igual forma, en las leucemias se pueden encontrar células cancerosas en ganglios linfáticos.
La forma leucémica de la micosis fungoide se denomina síndrome de Sezary. Al respecto, los expertos del Instituto Nacional del Cáncer indican: “la micosis fungoide y el síndrome de Sézary son enfermedades por las que los linfocitos (tipo de glóbulos blancos) se vuelven malignos (cancerosos) y afectan la piel”.
Lee: Un grupo de científicos encuentra un sistema para que las células de leucemia se destruyan entre sí
Clínica de la micosis fungoide
Pueden diferenciarse distintos estadios evolutivos en el desarrollo de la micosis fungoide, aunque no siempre aparecen ni siguen esta secuencia:
- Fase premicótica: es difícil el diagnóstico en esta fase ya que únicamente aparece una erupción cutánea. La piel se enrojece en algunas zonas sin seguir un patrón claro. Además, no suele producir síntomas de ningún tipo.
- Fase de parches: la erupción cutánea es similar a un eccema como el que aparece en algunos tipos de dermatitis. La piel enrojecida se inflama y puede descamarse, produciendo picor intenso o prurito.
- Fase de placas: las lesiones se elevan y forman lo que se denominan pápulas, pueden seguir enrojecidas y suelen ser duras al tacto.
- Fase tumoral: las placas pasan a ser tumores, es decir, masas de células anormales. En función de la agresividad y el tiempo de evolución, pueden infectarse o ulcerarse.
Si hay síndrome de Sezary, la distribución de las lesiones puede ser generalizada, con dolor y quemazón, escozor y posible descamación.
Diagnóstico de la micosis fungoide

Es clave en cualquier diagnóstico el examen físico del paciente. Hay que examinar cada lesión por separado y preguntar sobre la evolución y la forma de aparición de las mismas.
Ya que no todos los pacientes evolucionan de la misma forma, es imprescindible un estudio sanguíneo y la realización de una biopsia de piel.
- Estudio sanguíneo: debe incluir un hemograma, es decir, un recuento de cada tipo de célula sanguínea. Es muy útil ya que informa sobre el tipo de célula que está proliferando. También se puede hacer un frotis de sangre periférica que, en el caso de las leucemias, mostrará las células anormales.
- Biopsia cutánea: una toma de las lesiones cutáneas y su posterior análisis microscópico nos dará el diagnóstico de la micosis fungoide.
Estadio evolutivo
Una vez tenemos el diagnóstico, es importante determinar el estadio evolutivo de la micosis fungoide. Dicho de otra forma, hay que averiguar en qué grado afecta el cáncer al resto del organismo.
Como es lógico, cuanto mayor sea la propagación tumoral peor pronóstico tendrá el paciente. Se distinguen cuatro estadios:
- Estadio I:
- IA. La superficie afectada es menor del 10 % de la superficie corporal y solo aparecen manchas o pápulas.
- IB. La superficie afectada es mayor del 10 %, pero solo aparecen manchas o pápulas.
- Estadio II:
- IIA. Además de la afectación cutánea, los ganglios linfáticos están inflamados. Dicho de otra forma, hay adenopatías, pero no contienen células tumorales.
- IIB. Aparecen tumores en la piel. Su longitud es como mínimo de 1 cm y si hay adenopatías, no contienen células tumorales.
- Estadio III: Casi toda la piel está enrojecida y con manchas, placas o tumores. El cáncer no ha infiltrado los ganglios linfáticos.
- Estadio IV:
- IVA: La mayor parte de la piel está afectada así como los ganglios linfáticos.
- IVB: La afección cutánea es generalizada y además el tumor se ha diseminado hacia otros órganos. Los ganglios linfáticos pueden estar infiltrados o no, también puede haber linfocitos malignos en sangre.
Te recomendamos leer: Linfoma de Hodgkin
Pronóstico de la micosis fungoide

El pronóstico de la enfermedad depende del estado general del paciente, de las características específicas de las células tumorales y del estadio evolutivo en el que se diagnostica la enfermedad.
En general, tanto la micosis fungoide como el síndrome de Sezary, son enfermedades de díficil curación, el tratamiento suele ser paliativo. Aun así, si el diagnóstico es temprano la esperanza de vida es larga. Los pacientes diagnosticados en estadio I tienen una media de supervivencia de 20 años.
Los principales factores de mal pronóstico son los siguientes:
- Diagnóstico en estadio IV.
- Más de 60 años.
- Transformación celular a células grandes.
- Concentraciones elevadas de lactato-deshidrogenasa (LDH). Es un marcador de la replicación celular, cada vez que una célula se divide, produce LDH. Entonces, cuánto más se dividan las células tumorales, más agresivo será el tumor y más se elevará la LDH.
El tratamiento de la micosis fungoide suele basarse en un tratamiento sintomático, se basa en radioterapia, quimioterapia, terapia fotodinámica (se utilizan láseres de distintos tipos para eliminar las células tumorales), terapia biológica y ciertos fármacos.
Todas las fuentes citadas fueron revisadas a profundidad por nuestro equipo, para asegurar su calidad, confiabilidad, vigencia y validez. La bibliografía de este artículo fue considerada confiable y de precisión académica o científica.
- Pincus, L. B. (2014). Mycosis fungoides. Surgical Pathology Clinics. https://doi.org/10.1016/j.path.2014.02.004
- Zinzani, P. L., Ferreri, A. J. M., & Cerroni, L. (2008). Mycosis fungoides. Critical Reviews in Oncology/Hematology. https://doi.org/10.1016/j.critrevonc.2007.08.004
- Foss, F. M., & Girardi, M. (2017). Mycosis Fungoides and Sezary Syndrome. Hematology/Oncology Clinics of North America. https://doi.org/10.1016/j.hoc.2016.11.008
- Weberschock, T., Strametz, R., Lorenz, M., Röllig, C., Bunch, C., Bauer, A., & Schmitt, J. (2012). Interventions for mycosis fungoides. Cochrane Database of Systematic Reviews. https://doi.org/10.1002/14651858.CD008946.pub2
- Nashan, D., Faulhaber, D., Ständer, S., Luger, T. A., & Stadler, R. (2007). Mycosis fungoides: A dermatological masquerader. British Journal of Dermatology. https://doi.org/10.1111/j.1365-2133.2006.07526.x
Este texto se ofrece únicamente con propósitos informativos y no reemplaza la consulta con un profesional. Ante dudas, consulta a tu especialista.







