Neurofibromatosis: todo lo que debes saber


Escrito y verificado por el médico José Gerardo Rosciano Paganelli
La neurofibromatosis es una enfermedad que se caracteriza por la aparición de tumores benignos o malignos que afectan a los nervios centrales o periféricos. Otra de las manifestaciones que suele ocasionar esta enfermedad son manchas en la piel debido a una sobrepigmentación.
Se trata de una afección de carácter genético. Surge como consecuencia de mutaciones en los genes que codifican para la neurofibromina y la merlina. Ambas moléculas actúan como supresores tumorales al regular negativamente determinados oncogenes.
Los oncogenes son genes incluidos en el genoma humano que regulan el crecimiento y la proliferación celular. Si estos genes se descontrolan, se puede descontrolar el ciclo celular, lo que implica que la célula en cuestión adquiere características de célula tumoral.
Tipos de neurofibromatosis

Neurofibromatosis de tipo I
También conocida como enfermedad de von Recklinghausen. Es la más frecuente de todos los tipos de neurofibromatosis; se presenta en 1 de cada 3 000 personas. Da lugar a manifestaciones neurológicas, cutáneas e incluso, en ocasiones, óseas o de partes blandas.
En este tipo, el gen mutado es el que codifica para la neurofibromina —se han identificado más de mil mutaciones posibles, pero no todas ellas dan lugar a un gen disfuncional—. Es una enfermedad autosómica dominante; es decir, las mutaciones tienen lugar en cromosomas no sexuales y solo se requiere la mutación en uno de los dos alelos.
Neurofibromatosis de tipo II
Es mucho menos común que la de tipo I; se da aproximadamente en 1 de cada 35 000 personas. Da lugar a neuromas acústicos bilaterales, que son tumores que aparecen en los nervios que conectan el oído con el encéfalo.
En este tipo de enfermedad, el gen mutado es el que codifica para la merlina —se han identificado hasta 200 mutaciones posibles, pero nuevamente, no todas ellas dan lugar a un gen disfuncional—. La gran mayoría de las personas que padecen neurofibromatosis de tipo II han heredado el gen defectuoso de uno de sus progenitores.
Lee también: Leishmaniasis cutánea
Schwannomatosis
Las manifestaciones de esta enfermedad antes eran atribuidas a la neurofibromatosis de tipo II, en vez de ser considerado como un tercer tipo de neurofibromatosis. En este caso, el gen mutado es el SMARCB1, localizado en el mismo brazo cromosómico que el gen mutado en la neurofibromatosis de tipo II.
Antiguamente, se pensaba que el gen implicado era el mismo que en el caso anterior. No obstante, los avances en el ámbito de la secuenciación han permitido evidenciar los distintos genes implicados.
La schwannomatosis se caracteriza por el desarrollo de neuromas en los nervios periféricos que, en la mayoría de las ocasiones, resultan verdaderamente dolorosos. Es muy similar el tipo II de neurofibromatosis, pero en este caso no se desarrollan los neuromas acústicos característicos. Además, el cuadro clínico difiere entre un tipo y otro.
Tumores periféricos o centrales

Tumores en nervios periféricos
Son muy frecuentes en la neurofibromatosis de tipo I. Se caracterizan por aparecer en cualquier lugar del recorrido de los nervios periféricos, que son los que conectan el conjunto de órganos y músculos del cuerpo con el sistema nervioso central.
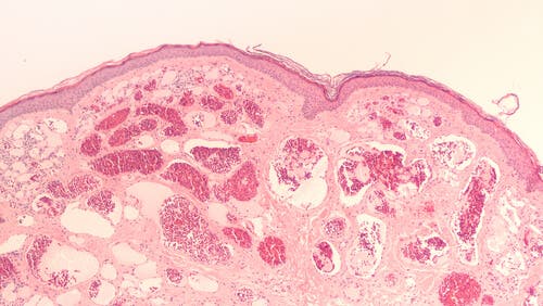
Estos tumores se desarrollan a partir de las vainas nerviosas —vainas de mielina—, un tipo de tejido que recubre los axones neuronales, los protege y facilita la transmisión del impulso nervioso. Si los analizásemos al microscopio, podríamos observar que están constituidos por una mezcla de células de Schwann, fibroblastos, células neurales y mastocitos.
Existen distintas formas de tumores en nervios periféricos:
- Neurofibroma cutáneo. Es blando y carnoso.
- Neurofibroma subcutáneo. Generalmente, es duro y tiene aspecto nodular.
- Neurofibroma plexiforme nodular: Pueden crecer hacia el agujero intervertebral, y dan lugar así a masas tumorales intraespinales que pueden comprimir la médula espinal y causar un gran dolor.
- Neurofibroma plexiforme difuso. Se trata de nódulos subcutáneos originados por un crecimiento amorfo o excesivo de los huesos o de las células de Schwann subyacentes.
- Schwannomas: Tumores que derivan de las células de Schwann. Su malignización es muy poco frecuente.
Te puede interesar: Un simple test sanguíneo podría localizar dónde crecen los tumores
Tumores en nervios centrales

En este caso, surgen en los nervios situados en el sistema nervioso central —encéfalo y médula espinal—. También se presentan en varias formas:
- Gliomas ópticos: Son consecuencia de un descontrol en el ciclo de unas células denominadas astrocitos —tipo de célula nerviosa—. La mayoría de las veces son asintomáticos. Sin embargo, si crecen lo suficiente pueden llegar a comprimir el nervio óptico y causar ceguera.
- Neuromas acústicos: Surgen en los nervios que conectan el sistema auditivo con el encéfalo. Pueden generar mareos, ataxia e incluso sordera. Son característicos de la neurofibromatosis de tipo II.
- Meningiomas: Estos tumores se desarrollan en las membranas que protegen el cerebro, denominadas meninges. Suelen ser asintomáticos; sin embargo, si el tumor crece lo suficiente puede dar lugar a fuertes dolores de cabeza.
En definitiva, la neurofibromatosis es una enfermedad genética que, en la mayoría de las ocasiones, no desencadena en casos de cáncer. No obstante, el análisis médico inmediato es sumamente recomendable para comenzar con el tratamiento apropiado a tiempo.
La neurofibromatosis es una enfermedad que se caracteriza por la aparición de tumores benignos o malignos que afectan a los nervios centrales o periféricos. Otra de las manifestaciones que suele ocasionar esta enfermedad son manchas en la piel debido a una sobrepigmentación.
Se trata de una afección de carácter genético. Surge como consecuencia de mutaciones en los genes que codifican para la neurofibromina y la merlina. Ambas moléculas actúan como supresores tumorales al regular negativamente determinados oncogenes.
Los oncogenes son genes incluidos en el genoma humano que regulan el crecimiento y la proliferación celular. Si estos genes se descontrolan, se puede descontrolar el ciclo celular, lo que implica que la célula en cuestión adquiere características de célula tumoral.
Tipos de neurofibromatosis

Neurofibromatosis de tipo I
También conocida como enfermedad de von Recklinghausen. Es la más frecuente de todos los tipos de neurofibromatosis; se presenta en 1 de cada 3 000 personas. Da lugar a manifestaciones neurológicas, cutáneas e incluso, en ocasiones, óseas o de partes blandas.
En este tipo, el gen mutado es el que codifica para la neurofibromina —se han identificado más de mil mutaciones posibles, pero no todas ellas dan lugar a un gen disfuncional—. Es una enfermedad autosómica dominante; es decir, las mutaciones tienen lugar en cromosomas no sexuales y solo se requiere la mutación en uno de los dos alelos.
Neurofibromatosis de tipo II
Es mucho menos común que la de tipo I; se da aproximadamente en 1 de cada 35 000 personas. Da lugar a neuromas acústicos bilaterales, que son tumores que aparecen en los nervios que conectan el oído con el encéfalo.
En este tipo de enfermedad, el gen mutado es el que codifica para la merlina —se han identificado hasta 200 mutaciones posibles, pero nuevamente, no todas ellas dan lugar a un gen disfuncional—. La gran mayoría de las personas que padecen neurofibromatosis de tipo II han heredado el gen defectuoso de uno de sus progenitores.
Lee también: Leishmaniasis cutánea
Schwannomatosis
Las manifestaciones de esta enfermedad antes eran atribuidas a la neurofibromatosis de tipo II, en vez de ser considerado como un tercer tipo de neurofibromatosis. En este caso, el gen mutado es el SMARCB1, localizado en el mismo brazo cromosómico que el gen mutado en la neurofibromatosis de tipo II.
Antiguamente, se pensaba que el gen implicado era el mismo que en el caso anterior. No obstante, los avances en el ámbito de la secuenciación han permitido evidenciar los distintos genes implicados.
La schwannomatosis se caracteriza por el desarrollo de neuromas en los nervios periféricos que, en la mayoría de las ocasiones, resultan verdaderamente dolorosos. Es muy similar el tipo II de neurofibromatosis, pero en este caso no se desarrollan los neuromas acústicos característicos. Además, el cuadro clínico difiere entre un tipo y otro.
Tumores periféricos o centrales

Tumores en nervios periféricos
Son muy frecuentes en la neurofibromatosis de tipo I. Se caracterizan por aparecer en cualquier lugar del recorrido de los nervios periféricos, que son los que conectan el conjunto de órganos y músculos del cuerpo con el sistema nervioso central.
Estos tumores se desarrollan a partir de las vainas nerviosas —vainas de mielina—, un tipo de tejido que recubre los axones neuronales, los protege y facilita la transmisión del impulso nervioso. Si los analizásemos al microscopio, podríamos observar que están constituidos por una mezcla de células de Schwann, fibroblastos, células neurales y mastocitos.
Existen distintas formas de tumores en nervios periféricos:
- Neurofibroma cutáneo. Es blando y carnoso.
- Neurofibroma subcutáneo. Generalmente, es duro y tiene aspecto nodular.
- Neurofibroma plexiforme nodular: Pueden crecer hacia el agujero intervertebral, y dan lugar así a masas tumorales intraespinales que pueden comprimir la médula espinal y causar un gran dolor.
- Neurofibroma plexiforme difuso. Se trata de nódulos subcutáneos originados por un crecimiento amorfo o excesivo de los huesos o de las células de Schwann subyacentes.
- Schwannomas: Tumores que derivan de las células de Schwann. Su malignización es muy poco frecuente.
Te puede interesar: Un simple test sanguíneo podría localizar dónde crecen los tumores
Tumores en nervios centrales

En este caso, surgen en los nervios situados en el sistema nervioso central —encéfalo y médula espinal—. También se presentan en varias formas:
- Gliomas ópticos: Son consecuencia de un descontrol en el ciclo de unas células denominadas astrocitos —tipo de célula nerviosa—. La mayoría de las veces son asintomáticos. Sin embargo, si crecen lo suficiente pueden llegar a comprimir el nervio óptico y causar ceguera.
- Neuromas acústicos: Surgen en los nervios que conectan el sistema auditivo con el encéfalo. Pueden generar mareos, ataxia e incluso sordera. Son característicos de la neurofibromatosis de tipo II.
- Meningiomas: Estos tumores se desarrollan en las membranas que protegen el cerebro, denominadas meninges. Suelen ser asintomáticos; sin embargo, si el tumor crece lo suficiente puede dar lugar a fuertes dolores de cabeza.
En definitiva, la neurofibromatosis es una enfermedad genética que, en la mayoría de las ocasiones, no desencadena en casos de cáncer. No obstante, el análisis médico inmediato es sumamente recomendable para comenzar con el tratamiento apropiado a tiempo.
Todas las fuentes citadas fueron revisadas a profundidad por nuestro equipo, para asegurar su calidad, confiabilidad, vigencia y validez. La bibliografía de este artículo fue considerada confiable y de precisión académica o científica.
- Huson, S. M. (2013). Neurofibromatosis. In Brenner’s Encyclopedia of Genetics: Second Edition (pp. 33–38). Elsevier Inc. https://doi.org/10.1016/B978-0-12-374984-0.01030-5
- Hirbe, A. C., & Gutmann, D. H. (2014). Neurofibromatosis type 1: A multidisciplinary approach to care. The Lancet Neurology. Lancet Publishing Group. https://doi.org/10.1016/S1474-4422(14)70063-8
Este texto se ofrece únicamente con propósitos informativos y no reemplaza la consulta con un profesional. Ante dudas, consulta a tu especialista.







