¿Qué debes saber sobre las complicaciones de los implantes dentales?


Escrito y verificado por la odontóloga Vanesa Evangelina Buffa
Aunque las técnicas son cada vez más precisas, existen complicaciones de los implantes dentales. Estos son postes metálicos que se colocan quirúrgicamente en el hueso maxilar para que se fusionen al mismo y sostengan un diente artificial.
En general tienen una alta tasa de éxito, pero puede haber fallas inmediatas a las cirugías o bien ocurrir meses o años después de la intervención. Aquí te contamos algunos de los problemas que pueden suceder al colocar un implante, cómo evitarlos y las alternativas para recuperar tu sonrisa cuando esta técnica no es viable.
¿Qué factores influyen en el éxito de los implantes dentales?
Son varios los factores que condicionan el éxito de los implantes dentales. Aquí te mencionamos algunos:
- Fumar: este hábito disminuye el flujo sanguíneo de las encías, lo que dificulta la cicatrización. La bibliografía habla de una falla de hasta el 20 % en pacientes fumadores.
- Hueso maxilar insuficiente: una buena capa de hueso sano es necesaria para sostener el implante. El cirujano debe asegurarse que haya tejido óseo suficiente, sin alteraciones y con el espesor adecuado. La osteoporosis o la enfermedad de las encías pueden afectar la densidad ósea volviéndolos más frágiles. También si el paciente recibió radioterapia en la zona. De todos modos, hoy existen técnicas de relleno que pueden revertir esta condición.
- Enfermedad de las encías: encías inflamadas o con infección activa deben ser tratadas antes de realizar un implante. Las encías deben estar sanas al momento de la cirugía para evitar complicaciones.
- Condiciones médicas: alteraciones sistémicas preexistentes que padezca el paciente y que alteren el proceso de cicatrización pueden interferir en la osteointegración del implante. Diabéticos, enfermos autoinmunes o con artritis reumatoidea son más propensos a tener una falla en estos tratamientos.
- Medicación: algunos medicamentos pueden interferir con la integración del implante al hueso. Es importante mencionar al cirujano todos los tratamientos que se realizan con habitualidad para evitar complicaciones.
- Mala higiene oral: una deficiente limpieza bucal interferirá en el éxito del implante. El paciente que reciba un implante debe comprometerse a mantener su boca limpia de manera exhaustiva.
El rol del cirujano
Una cirugía con un profesional capacitado podrá prevenir ciertos errores que una mano no experimentada puede cometer. Es importante pedir opiniones, sacarse dudas y buscar a alguien con mucha experiencia en la especialidad.
Además, un correcto y exhaustivo plan de tratamiento podrá evitar complicaciones posteriores. El odontólogo deberá realizar un examen completo de toda la boca y tomar imágenes radiográficas de la misma. Se valorará la salud de las encías, del hueso y la higiene bucal. Se debe considerar el estado de salud general del paciente, las enfermedades pasadas y la medicación que toma. Esto ayudará a definir si la persona es candidata a recibir el implante en su boca o si hay que realizar algunos ajustes previos.

Problemas y fallas tempranas de los implantes dentales
Se consideran fallas tempranas a aquellas complicaciones de los implantes dentales que suceden durante la inserción del mismo o de manera inmediata. En general, se incluyen como tempranos aquellos problemas que ocurren dentro de los primeros tres meses del procedimiento. Aquí te comentamos las más comunes.
Dolor
Luego de la cirugía es común sentir malestar, hinchazón y cierto grado de dolor en la zona. Incluso el odontólogo cirujano indicará tomar analgésicos para facilitar la recuperación.
El proceso de integración del metal del implante al hueso tarda entre tres a seis meses en completarse. Es habitual sentir algunas molestias en este período de cicatrización ósea. Pero si el dolor es intenso y persiste después de cinco a siete días hay que consultar al cirujano.
Infección
Puede aparecer una infección en la zona del implante. Las señales como hinchazón, dolor y supuración obligan a acudir al odontólogo para tratar la misma.
La mala higiene dental, las enfermedades autoinmunes y el hábito de fumar predisponen a su aparición. Para evitarlas es vital cumplir las indicaciones postquirúrgicas.
Su tratamiento específico dependerá de la localización, la severidad y el tipo de infección. Si por ejemplo se trata de una infección bacteriana en la encía, los antibióticos o un injerto de tejido blando suelen ser suficientes.
Si, en cambio, el tejido afectado es el hueso, puede ser necesario eliminar tejido óseo infectado junto con el implante. Luego del tratamiento hay que reconstituir la zona con injertos óseos y de tejido blando.
Micromovimientos del implante
Cuando el implante dentario carece de estabilidad puede tener ligeros movimientos. Sucede cuando se coloca el implante en el mismo momento de la extracción dentaria y ocupa el espacio del diente extraído.
También estas complicaciones de los implantes dentales suelen suceder al colocar la corona artificial de manera temprana. Al no esperar el tiempo suficiente para que se integre al hueso se genera una sobrecarga que deriva en esta falla.
Soporte óseo insuficiente
Esta complicación de los implantes dentales sucede cuando no hay suficiente hueso para sostener. Si el espesor del hueso o la calidad del mismo no son los adecuados, no podrá integrarse al maxilar. En general, se deben a una falla del cirujano que no tuvo este factor en cuenta o realizó el procedimiento de todos modos.
Implante dental suelto
Como ya mencionamos, para que esta técnica resulte exitosa es necesario que el metal del implante se integre al hueso del maxilar. Este proceso de fusión entre el metal y el hueso se llama osteointegración y dura varios meses.
En aquellos casos que esto no suceda, el implante quedará suelto. Se moverá y el odontólogo lo deberá retirar. Se podrá volver a intentar una colocación una vez que la zona haya cicatrizado.
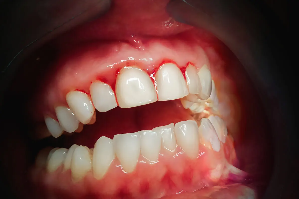
Recesión de las encías
Puede que la encía alrededor del implante comience a retroceder, cause inflamación o dolor. Es importante consultar al dentista ante cualquier cambio que se note en la misma.
Reacción alérgica
Algunos pacientes pueden desarrollar una alergia al metal de los implantes que es el titanio. Se notará hinchazón de la zona, sensación de hormigueo o calambre y pérdida del gusto.
Si el paciente sabe que es alérgico al titanio deberá mencionarlo al cirujano para utilizar un implante de otro material. Aunque en la mayoría de los casos la persona desconoce que sufre esta hipersensibilidad.

Lee también: ¿Qué es la pérdida de encía?
Fallas y problemas tardíos de los implantes dentales
Puede que luego de la cirugía dental no se den complicaciones de los implantes dentales de manera inmediata. Pero después de varios meses o incluso años las fallas son una probabilidad. Entre las más comunes tenemos las siguientes:
- Daño a nervios cercanos: durante la cirugía, el odontólogo puede colocar el implante muy próximo a un nervio. Esto causará dolor, hormigueo, entumecimiento, cosquilleo o ardor de la piel, labios, encías y cara.
- Daño a los senos paranasales: en la colocación del implante en el maxilar superior el mismo puede sobresalir en los senos paranasales y causar sinusitis. Esto es la inflamación de estas cavidades. El paciente presentará hinchazón o dolor en la zona de las mejillas, la frente, la cabeza, los ojos y las muelas. Además, tendrá la nariz tapada, moco nasal verde o amarillo, disminución del olfato y mal aliento. También puede cursar con fiebre. Ante cualquiera de estos síntomas después de la colocación de un implante hay que acudir de forma inmediata al cirujano.
- Complicaciones de los implantes dentales por fuerza excesiva: si el implante recibe un golpe, tensiones o impactos muy fuertes puede suceder que el mismo se afloje o se agriete. El bruxismo y el apretamiento dental ocasionan esta falla. En estos casos es necesario complementar el tratamiento con un protector bucal.
- Rechazo de cuerpo extraño: es una de las complicaciones de los implantes dentales menos frecuente, pero puede ocurrir. El cuerpo rechaza el implante. Habrá dolor e hinchazón en la zona, fiebre y escalofríos.
- Periimplantitis: es una enfermedad crónica de las encías que rodean el implante, generando la pérdida del hueso que lo sostiene. Puede aparecer hasta después de 5 años de colocado el material.
Existen también complicaciones de los implantes dentales de tipo mecánicas, como la rotura del tornillo implantado o del diente artificial. Para evitarlas es importante continuar con una adecuada higiene oral que mantenga las encías saludables. Los controles periódicos con el dentista también permitirán detectar cualquier problema a tiempo.
Síntomas de la falla de los implantes dentales
Deberás prestar atención a ciertos signos que aparecen cuando hay complicaciones de los implantes dentales. Los más frecuentes son los siguientes:
- Inflamación de las encías o recesión de las mismas.
- Dolor constante en la zona.
- Hinchazón en la zona del implante.
- Dificultada para masticar.
- Hemorragia o sangrado en el sitio del implante.
- Supuración en la zona quirúrgica.
- Implante flojo o que se mueve.
- Hematomas o hinchazón en la encía o en la piel.
- Sensaciones de hormigueo, cosquilleo o parestesias.
Ante cualquiera de estos síntomas u otras dudas que tengas luego de la colocación de un implante, consulta pronto a tu dentista. Solucionar estas fallas a tiempo mejorarán el pronóstico.
Te puede interesar: Neuralgia del trigémino: causas, síntomas y tratamiento.
¿Cómo prevenir las complicaciones de los implantes dentales?
Si bien hay complicaciones de los implantes dentales que no podremos evitar, considerando algunas medidas podremos reducir el riesgo de fallas. Es importante tener esto en cuenta y respetar los consejos que indique el odontólogo.
Después de la cirugía puede que el cirujano indique descansar bien, evitar el ejercicio intenso y seguir una dieta blanda y fría por unos días. La colocación de frío en la zona y el uso de antiinflamatorios pueden ser sugeridos también para disminuir la inflamación posquirúrgica.
El cuidado de los implantes es vital para el éxito del procedimiento. El cepillado dental, el uso de hilo dental y los enjuagues bucales son necesarios para mantenerlos saludables. Los controles odontológicos periódicos también se necesitan. A menos que el odontólogo indique concurrir con más frecuencia, una visita cada seis meses es oportuna.
Hay que evitar fumar. De preferencia, ingerir alimentos ricos en calcio como lácteos, naranjas y brócolis o bien suplementos que aporten dicho elemento. Puede que sea necesario utilizar un protector bucal para tratar el bruxismo y evitar la sobrecarga oclusal del implante.
Alternativas a los implantes dentales

Aunque poseen varias ventajas, hemos visto que también existen complicaciones de los implantes dentales. Este procedimiento no es adecuado para todos, pero por fortuna existen otras alternativas para recuperar la sonrisa perdida.
Los puentes dentales son una opción. Se trata de una prótesis fija que se utiliza para llenar los espacios que generan los dientes faltantes, utilizando como apoyo los elementos dentarios sanos que quedan en la boca.
Existen diferentes tipos de puentes dentales:
- Maryland o puente de resina adherida: se trata de un diente artificial con extensiones a los lados (como alas) que se apoyan y adhieren a los dientes sanos vecinos al espacio dejado por el elemento perdido. No requiere mucho desgaste de los dientes remanentes, pero no puede soportar bastante fuerza masticatoria.
- Tradicional: utiliza como apoyo y sostén a los dientes vecinos de ambos lados del espacio dejado por las piezas dentarias ausentes. Estos remanentes se desgastan y reciben coronas que sostienen a los artificiales que reemplazan a los elementos perdidos.
- Voladizo: similar al anterior, pero con la diferencia que los dientes postizos se apoyan en un solo elemento sano. La corona que sostiene el puente será una sola.
Otra alternativa para remplazar los dientes perdidos es la utilización de prótesis removibles. Estas pueden ser parciales si remplazan unos o más elementos dentarios o completas si suplantan a todos los dientes de la boca.
Las dentaduras postizas consisten en fijar uno o más dientes a una base de acrílico del mismo color de la encía que se asienta en la boca como una bandeja de retención. Algunas se adhieren o poseen ganchos para aumentar su sostén. Son una alternativa más barata a los implantes dentales.
Las complicaciones de los implantes dentales se pueden evitar
Es probable que no sufras complicaciones de los implantes dentales si te realizas uno, ya que tienen una alta tasa de éxito. Pero es bueno que conozcas que existen fallas, para prevenirlas.
Ya sabes lo importante que es buscar un cirujano odontólogo especializado y con experiencia para realizarte los implantes. Evitar fumar y la buena higiene oral serán clave para evitar problemas y poder recuperar tu sonrisa.
Todas las fuentes citadas fueron revisadas a profundidad por nuestro equipo, para asegurar su calidad, confiabilidad, vigencia y validez. La bibliografía de este artículo fue considerada confiable y de precisión académica o científica.
- Quiroz, Eric Gustavo Muguerza, and Pablo Alejandro Millones Gómez. "FACTORES QUE AFECTAN E INFLUYEN EN EL ÉXITO DE LOS IMPLANTES DENTALES."
- Domínguez, J., et al. "Estudio de asociación entre enfermedades sistémicas y el fracaso de implantes dentales." Revista clínica de periodoncia, implantología y rehabilitación oral 6.1 (2013): 9-13.
- Jáquez, Oscar A. "Factores sistémicos que inciden en el fracaso de los implantes dentales en los pacientes asistidos en cuatro centros odontológicos en la ciudad de Santiago de los Caballeros, República Dominicana." UCE Ciencia. Revista de postgrado 3.1 (2015).
- Tamez, Jonathan E. Balderas, et al. "Factores relacionados con el éxito o el fracaso de los implantes dentales colocados en la especialidad de Prostodoncia e Implantología en la Universidad de La Salle Bajío." Revista Española de Cirugía Oral y Maxilofacial 39.2 (2017): 63-71.
- Yanelkis, Hernandez Espinosa, et al. "PRINCIPALES FACTORES ETIOLÓGICOS ASOCIADOS CON EL FRACASO DE LOS IMPLANTES DENTALES." Congreso Internacional de Estomatología 2015. 2015.
- Guzmán, Mabel Sáenz. "Criterios de éxito y fracaso en implantes dentales oseointegrados." Acta odontológica venezolana 51.2 (2013): 35-36.
- Pérez Padrón, Alejandro, et al. "Revisión Bibliográfica sobre la implantología: causas y complicaciones." Revista Médica Electrónica 42.2 (2020): 1713-1723.
- Velasco Ortega, E., et al. "El tratamiento con implantes dentales en los pacientes adultos mayores." Avances en Odontoestomatología 31.3 (2015): 217-229.
- López, Rafael Martín-Granizo, and Manuel de Pedro Marina. "Fracasos y complicaciones en implantología dental:¿ Cómo evitarlos?." Revista española de cirugía oral y maxilofacial: Publicación Oficial de la Sociedad Española de Cirugía Oral y Maxilofacial 23.3 (2001): 182-192.
Este texto se ofrece únicamente con propósitos informativos y no reemplaza la consulta con un profesional. Ante dudas, consulta a tu especialista.







