Consejos para prevenir y tratar el acné


Revisado y aprobado por la médica Karla Henríquez
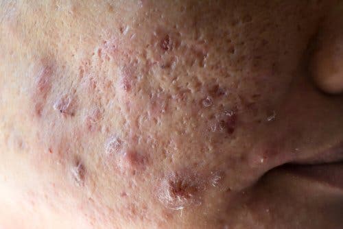
El acné es una enfermedad bastante común que afecta a una gran cantidad de personas en todo el mundo. Se han dando numerosos consejos sobre cómo prevenir y tratar el acné, pero en muchas ocasiones no tienen efecto.
Esta patología consiste en la aparición de granos con diferentes dimensiones en la superficie de la piel. Por debajo del tejido dérmico se encuentran localizadas las glándulas sebáceas, las cuales, al bloquearse, se irritan e inflaman causando abultamientos en la piel que traen problemas a quien los padece, principalmente por lo dolorosos que pueden llegar a ser.
Estas glándulas tienden a inflamarse en áreas específicas y más en unas zonas que en otras, como son los hombros, espalda, cuello, pecho y rostro.
Es importante saber que esta afección aparece en mayor proporción entre las personas adolescentes. A estas edades, el cuerpo humano sufre una serie de transformaciones biopsicosociales que lo modifican.
Durante este proceso, los cambios hormonales son bastante drásticos, de ahí la tendencia a que la enfermedad aparezca en la etapa de la juventud. Por ello, es importante saber cómo prevenir y tratar el acné cuanto antes.
¿Por qué se produce?

A pesar de los estudios realizados por diferentes universidades de prestigio alrededor del mundo, no se conoce la causa exacta por la cual el acné hace su aparición.
Sin embargo, los científicos han podido observar que existen factores desencadenantes de la enfermedad, como los bruscos cambios hormonales en la juventud.
Por ello, también es común que una mujer embarazada presente la enfermedad, ya que los niveles hormonales se disparan.
Algunos métodos anticonceptivos pueden causar acné, ya que modifican los valores hormonales normales propiciando un ambiente perfecto para el desarrollo de esta enfermedad.
Prevenir y tratar el acné depende, en gran medida, de los cuidados que la persona haga de su piel y de sí misma, ya que malos hábitos como la falta de ejercicio y una dieta poco balanceada beneficiará el avance de la enfermedad.
A continuación, te enseñaremos algunos consejos y hábitos de vida saludables que deberías adoptar para intentar prevenir y tratar el acné.
Hidrátate bien y haz ejercicio físico

Al ingerir las cantidades recomendables de agua el cuerpo contará con mayores recursos para la eliminación de toxinas.
Por otro lado, realizar ejercicio no puede dejarse en segundo plano; ya que es igualmente esencial para tener una adecuada salud comenzar a realizar una rutina de ejercicios adecuada para ti.
Limpieza facial para prevenir y tratar el acné
La piel también es un órgano que requiere de muchos cuidados, por lo que el buen aseo es parte fundamental del tratamiento contra del acné.
Es importante lavar el rostro 2 veces por día con agua tibia y jabón, preferiblemente en la mañana después de levantarse y la siguiente antes de acostarse.
Al levantarnos debemos limpiar correctamente nuestro rostro, pues al dormir nuestras células cutáneas se regeneran por lo que las más viejas van formando una capa por encima de las nuevas en las que se pueden acumular desechos que pueden inflamar nuestros folículos capilares.
Por la noche es sumamente importante realizar una correcta limpieza, ya que las impurezas de tu rostro y los contaminantes, pueden favorecer la aparición del acné.
Debes encontrar un jabón recomendado para el tratamiento de afecciones cutáneas, ya que estos son neutros y no poseen grasas que agraven el problema.
Otros consejos para terminar
Además de las recomendaciones que hemos expuesto a lo largo del artículo, queremos ampliarlas y dejarte otras que son muy eficaces para prevenir y tratar el acné:
- Usa una toalla única y exclusivamente para ti.
- Exfóliate la cara cada 15 días.
- Lávate las manos antes de tocar tu cara.
- Evita aplicar la crema corporal en el rostro.
- El maquillaje en las mujeres debe estar completamente cerrado y aislado del ambiente exterior para evitar la contaminación de los mismos.
- No usar maquillajes grasos.
- Cambiar las fundas de almohadas y sábanas regularmente.
- Si tu piel es grasa debes lavar la cara, para evitar el exceso de grasa.
Trata de tener en cuenta todos estos consejos y verás como tu condición mejora. De todas formas, siempre te recomendamos que acudas al médico en primera instancia, para que te pueda aconsejar mejor para tu caso personal.
El acné es una enfermedad bastante común que afecta a una gran cantidad de personas en todo el mundo. Se han dando numerosos consejos sobre cómo prevenir y tratar el acné, pero en muchas ocasiones no tienen efecto.
Esta patología consiste en la aparición de granos con diferentes dimensiones en la superficie de la piel. Por debajo del tejido dérmico se encuentran localizadas las glándulas sebáceas, las cuales, al bloquearse, se irritan e inflaman causando abultamientos en la piel que traen problemas a quien los padece, principalmente por lo dolorosos que pueden llegar a ser.
Estas glándulas tienden a inflamarse en áreas específicas y más en unas zonas que en otras, como son los hombros, espalda, cuello, pecho y rostro.
Es importante saber que esta afección aparece en mayor proporción entre las personas adolescentes. A estas edades, el cuerpo humano sufre una serie de transformaciones biopsicosociales que lo modifican.
Durante este proceso, los cambios hormonales son bastante drásticos, de ahí la tendencia a que la enfermedad aparezca en la etapa de la juventud. Por ello, es importante saber cómo prevenir y tratar el acné cuanto antes.
¿Por qué se produce?

A pesar de los estudios realizados por diferentes universidades de prestigio alrededor del mundo, no se conoce la causa exacta por la cual el acné hace su aparición.
Sin embargo, los científicos han podido observar que existen factores desencadenantes de la enfermedad, como los bruscos cambios hormonales en la juventud.
Por ello, también es común que una mujer embarazada presente la enfermedad, ya que los niveles hormonales se disparan.
Algunos métodos anticonceptivos pueden causar acné, ya que modifican los valores hormonales normales propiciando un ambiente perfecto para el desarrollo de esta enfermedad.
Prevenir y tratar el acné depende, en gran medida, de los cuidados que la persona haga de su piel y de sí misma, ya que malos hábitos como la falta de ejercicio y una dieta poco balanceada beneficiará el avance de la enfermedad.
A continuación, te enseñaremos algunos consejos y hábitos de vida saludables que deberías adoptar para intentar prevenir y tratar el acné.
Hidrátate bien y haz ejercicio físico

Al ingerir las cantidades recomendables de agua el cuerpo contará con mayores recursos para la eliminación de toxinas.
Por otro lado, realizar ejercicio no puede dejarse en segundo plano; ya que es igualmente esencial para tener una adecuada salud comenzar a realizar una rutina de ejercicios adecuada para ti.
Limpieza facial para prevenir y tratar el acné
La piel también es un órgano que requiere de muchos cuidados, por lo que el buen aseo es parte fundamental del tratamiento contra del acné.
Es importante lavar el rostro 2 veces por día con agua tibia y jabón, preferiblemente en la mañana después de levantarse y la siguiente antes de acostarse.
Al levantarnos debemos limpiar correctamente nuestro rostro, pues al dormir nuestras células cutáneas se regeneran por lo que las más viejas van formando una capa por encima de las nuevas en las que se pueden acumular desechos que pueden inflamar nuestros folículos capilares.
Por la noche es sumamente importante realizar una correcta limpieza, ya que las impurezas de tu rostro y los contaminantes, pueden favorecer la aparición del acné.
Debes encontrar un jabón recomendado para el tratamiento de afecciones cutáneas, ya que estos son neutros y no poseen grasas que agraven el problema.
Otros consejos para terminar
Además de las recomendaciones que hemos expuesto a lo largo del artículo, queremos ampliarlas y dejarte otras que son muy eficaces para prevenir y tratar el acné:
- Usa una toalla única y exclusivamente para ti.
- Exfóliate la cara cada 15 días.
- Lávate las manos antes de tocar tu cara.
- Evita aplicar la crema corporal en el rostro.
- El maquillaje en las mujeres debe estar completamente cerrado y aislado del ambiente exterior para evitar la contaminación de los mismos.
- No usar maquillajes grasos.
- Cambiar las fundas de almohadas y sábanas regularmente.
- Si tu piel es grasa debes lavar la cara, para evitar el exceso de grasa.
Trata de tener en cuenta todos estos consejos y verás como tu condición mejora. De todas formas, siempre te recomendamos que acudas al médico en primera instancia, para que te pueda aconsejar mejor para tu caso personal.
Todas las fuentes citadas fueron revisadas a profundidad por nuestro equipo, para asegurar su calidad, confiabilidad, vigencia y validez. La bibliografía de este artículo fue considerada confiable y de precisión académica o científica.
- Gollnick, H. P., & Zouboulis, C. C. (2014). Not all acne is acne vulgaris. Deutsches Ärzteblatt International. https://doi.org/10.3238/arztebl.2014.0301
- Tanghetti, E. A. (2013). The role of inflammation in the pathology of acne. Journal of Clinical and Aesthetic Dermatology. https://doi.org/10.1042/CS20150702
- Kosmadaki, M., & Katsambas, A. (2017). Topical treatments for acne. Clinics in Dermatology. https://doi.org/10.1016/j.clindermatol.2016.10.010
- Simonart, T. (2012). Newer approaches to the treatment of acne vulgaris. American Journal of Clinical Dermatology. https://doi.org/10.2165/11632500-000000000-00000
Este texto se ofrece únicamente con propósitos informativos y no reemplaza la consulta con un profesional. Ante dudas, consulta a tu especialista.