Infección por oxiuros: todo lo que debes saber


Escrito y verificado por el biólogo Samuel Antonio Sánchez Amador
La infección por oxiuros es el tipo de enfermedad por gusanos parasíticos (helmintos) más frecuente en Estados Unidos y una de las más extendidas a nivel global, según datos de la Clínica Mayo. Esta patología también se conoce como enterobiasis, pues es provocada por el nemátodo Enterobius vermicularis.
La infección por oxiuros o enterobiasis está catalogada dentro de la categoría de «helmintiasis transmitidas por el suelo». Según la Organización Mundial de la Salud (OMS), en todo el mundo hay más de 1500 millones de personas afectadas por este tipo de patógenos. La ascariasis y la anquilostomiasis son algunas de las más habituales.
Esto se traduce en que el 24 % de la población mundial presenta parásitos intestinales de algún tipo. Más de 500 millones de niños en edad escolar se encuentran en riesgo por esta situación. Si quieres conocerlo todo acerca de la infección por oxiuros o enterobiasis, sigue leyendo.
Síntomas de la infección por oxiuros
Los huevos de los oxiuros que han sido ingeridos de forma accidental eclosionan en el intestino delgado y maduran a adultos en el colon. Así pues, la mayoría de la sintomatología será de índole anal/intestinal. Según la Biblioteca Nacional de los Estados Unidos, los signos clínicos más comunes son los siguientes:
- Picazón intensa alrededor del ano: esto sucede porque, durante la noche, las hembras de oxiuro viajan a la zona perianal del paciente y depositan sus huevos en contacto con el exterior.
- Irritación e infección en la piel del ano: los pacientes suelen rascarse mucho ante este cuadro clínico, por lo que se facilita la aparición de infecciones concomitantes.
- Molestia vaginal, en caso de que los oxiuros entren en este aparato en vez de volver al ano.
- Dolor de estómago y náuseas ocasionales.
- Cuando la carga parasitaria es muy alta, el paciente puede experimentar desnutrición y pérdida de peso.
Cabe destacar que, a pesar de lo citado, la mayoría de las infecciones son asintomáticas. Muchas personas nunca se enteran de que tienen la infección y esto facilita mucho el contagio entre individuos.

Posibles complicaciones
En general, que esta patología se cronifique es difícil, pues el abordaje farmacológico es sencillo. De todas formas, si no se trata, la infección por oxiuros puede llegar a causar alteraciones en las vías urinarias, pérdida de peso marcada e incluso una infección de la cavidad peritoneal (abdomen).
Para saber más: Parásitos alimentarios más comunes
¿Cómo puedo contagiarme?
Como indican los Centros para la Prevención y Control de Enfermedades (CDC), la ruta de transmisión es fecal-oral. Esto quiere decir que una persona infectada excreta los huevos con las heces y otro, al llevarse las manos a la boca tras tocar superficies que han estado en contacto con las deposiciones del enfermo, los ingiere.
Como podrás imaginar, el contagio no se suele producir por un contacto directo con heces. Los huevos depositados en el ano del infectado pueden sobrevivir hasta 2-3 semanas en sábanas, ropa, inodoros, elementos del baño, vasos, alimentos, cubiertos y otros muchos materiales. Ese es el verdadero potencial del parásito.
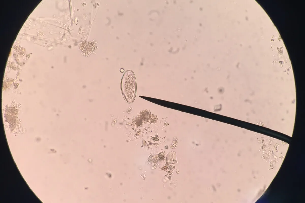
¿Cómo se diagnostica la infección por oxiuros?
Tal y como nos muestra el portal especializado MSDmanuals, el diagnóstico es muy sencillo. A veces las hembras se dejan ver en la zona del ano, sobre todo en las primeras horas de la mañana o durante la noche. De todas formas, lo habitual es obtener una tira de celofán de la zona perianal del paciente y analizarla al microscopio. Si está infectado se verán los huevos.
Tratamientos disponibles
Según fuentes ya citadas, el mebendazol, comercializado con nombres como Ovex ®, Vermox ® o Lomper ®, suele ser el camino a seguir en las infecciones por oxiuros. Esta dosis será doble, pues se le ofrece al paciente una al inicio y otra dos semanas después. Estos sencillos actos, en casi todos los casos, acaban con el problema de raíz.
Otros fármacos antiparasitarios disponibles son el albendazol o el pamoato de pirantel. La premisa es la misma: dos dosis repartidas en dos semanas para acabar con la infección. Por otro lado, el picor anal se puede abordar con ciertos ungüentos de aplicación tópica.
Prevención de la infección por oxiuros

La idea central es que no te lleves nunca las manos a la boca sin habértelas lavado bien antes. Esto no solo previene las helmintiasis, sino una serie de patologías bacterianas, víricas y parasíticas que se pueden transmitir por la vía oral. Lo mejor es acostumbrarse a la higienización varias veces al día.
Si por desgracia ya has contraído la infección, la mejor prevención es evitar transmitírsela a tu entorno. Para ello puedes seguir los siguientes consejos:
- Lávate la zona anal cada mañana: como hemos dicho, los oxiuros hembra depositan sus huevos en esa zona cada noche. Si te lavas nada más despertarte, disminuyes las probabilidades de contagiar.
- Cambia la ropa interior y la ropa de la cama diariamente. Mejor si es por la mañana, recién levantado.
- Lava la ropa con agua caliente y sécala a temperatura máxima. Esto matará a los huevos que hayan quedado adheridos.
- No te rasques: rascarte la zona anal solo empeorará el cuadro clínico. Acude a pomadas de venta libre sin receta que disminuyen el prurito.
Quizás te pueda interesar: Cómo eliminar los parásitos de tu cuerpo con clavo seco y linaza
Los niños son los más afectados
A veces, llevarse las manos sucias a la boca es algo que hacemos de forma instintiva. Intentar corregir este comportamiento es el primer paso para evitar una enorme variedad de enfermedades, entre las que se encuentra la infección por oxiuros.
Los niños son los más proclives a sufrir los efectos de este parásito, ya sea por sus sistemas inmunes menos desarrollados o por sus costumbres menos higiénicas. Si notas que tu hijo tiene un picor anal nocturno que no mejora en un par de días, acude con presteza al médico. Con dos dosis de antiparasitarios la situación se soluciona sin mayores problemas.
Todas las fuentes citadas fueron revisadas a profundidad por nuestro equipo, para asegurar su calidad, confiabilidad, vigencia y validez. La bibliografía de este artículo fue considerada confiable y de precisión académica o científica.
- Infección por gusanos intestinales, Mayoclinic.org. Recogido a 6 de enero en https://www.mayoclinic.org/es-es/diseases-conditions/pinworm/symptoms-causes/syc-20376382
- Helmintiasis transmitidas por el suelo, Organización Mundial de la Salud (OMS). Recogido a 6 de enero en https://www.who.int/es/news-room/fact-sheets/detail/soil-transmitted-helminth-infections
- Oxiuros, Medlineplus.gov. Recogido a 6 de enero en https://medlineplus.gov/spanish/ency/article/001152.htm
- Pinworm, CDC. Recogido a 6 de enero en https://www.cdc.gov/parasites/pinworm/gen_info/faqs.html
- Infestación por oxiuros, MSDmanuals. Recogido a 6 de enero en https://www.merckmanuals.com/es-us/professional/enfermedades-infecciosas/nematodos-gusanos-redondos/infestaci%C3%B3n-por-oxiuros
Este texto se ofrece únicamente con propósitos informativos y no reemplaza la consulta con un profesional. Ante dudas, consulta a tu especialista.







