Síndrome de Patau


Revisado y aprobado por el médico Gilberto Adaulfo Sánchez Abreu
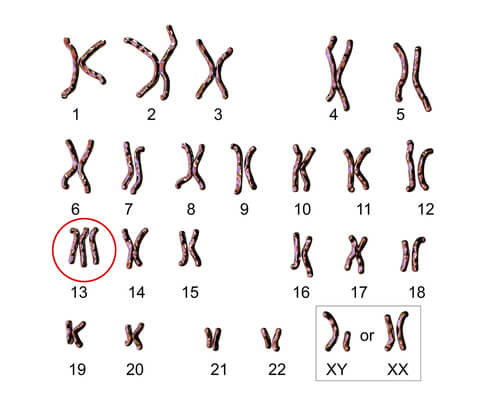
El síndrome de Patau es una de las patologías más serias que existen, ya que afecta a los cromosomas. En este caso, se produce una tripe copia del cromosoma 13, cuando debería poseerse dos. Para comprender la gravedad del síndrome de Patau, debemos recordar que los cromosomas contienen la información genética.
Así, se trata de una afección que se produce en los gametos (óvulos y espermatozoides). Esta es la razón por la que sus síntomas aparecen de manera tan rápida. De hecho, la esperanza de vida no supera el primer año vida. Ya en las ecografías se suceden las sospechas, debido a las malformaciones y otros fenómenos perceptibles en el ultrasonido. A través de una amniocentesis o una cordocentesis, se confirma el diagnóstico.
Causas y prevalencia del síndrome de Patau

Básicamente, el síndrome de Patau se define como la existencia de 3 copias del cromosoma 13. Esto sucede cuando alguno de los gametos contiene un cromosoma extra. Por tanto, al unirse con el otro gameto, la célula resultante (el embrión) cuenta con el mismo. Esto desata una serie de afecciones en órganos y músculos vitales que obstaculizan la vida ya en el vientre materno.
Aunque sabemos que es más recurrente en hijos de progenitores que oscilan entre 31 y 33 años, aún desconocemos qué provoca la presencia de la copia extra. Pueden darse en los casos en los cuales no se produce la separación dentro del gameto. O bien, que aparezca tras una traslocación de un segmento del cromosoma o del cromosoma al completo.
En cualquier caso, se estima que uno de cada 29 000 de nacidos vivos padece síndrome de Patau. La mitad de ellos supera el mes de vida, de los cuales solo el 70 % llega a los 7 meses. Por otra parte, esta enfermedad es la causa del 1 % de los abortos espontáneos. Además, es un algo más frecuente en el sexo femenino.
Ver también: El tamaño del bebé podría afectar a su salud mental posterior
Síntomas del síndrome de Patau

Ya en la gestación se pueden apreciar síntomas del síndrome. Durante este período, aparecen elementos como la microcefalia o la holoprosenfalia. Esta última implica que el cerebro no se divida en hemisferios, así como que tampoco se formen los ventrículos laterales.
También pueden producirse malformaciones cardiacas y renales. Por otra parte, ya en el nacimiento se suceden una serie de síntomas propios del síndrome de Patau. Entre los más visibles, destacan:
- Cuello corto.
- Microcefalia.
- Criptorquidia.
- Frente aplanada.
- Holoprosenfalia.
- Anomalías oculares.
- Mamilas hipoplásticas.
Sin embargo, a medida que pasan los días y las semanas, las dificultades se multiplican, para incrementar la dependencia absoluta del paciente de sus cuidadores, medicación y otros tratamientos. Los siguientes son los más recurrentes, aunque podríamos proporcionar una lista mucho más numerosa de los mismos:
- Retraso psicomotor.
- Problemas cardiovasculares.
- Cociente intelectual muy bajo que disminuye con el tiempo.
En vista de lo anterior, el diagnóstico del síndrome de Patau se confirma a través de un análisis con el objetivo de encontrar anomalías que pudieran apuntar a una traslocación.
Antes de irte: Los cuidados en los primeros meses del bebé
Tratamiento del síndrome de Patau

La gran cantidad de patologías, aunadas a la gravedad del síndrome de por sí, provoca una muerte prematura. Esto supone un dilema para el personal médico.
En ocasiones, se sabe que algunas personas con este síndrome podrían mejorar a través de procedimientos quirúrgicos, pero al mismo tiempo existe la certeza de que su vida será muy corta y dependiente de otra persona completamente.
Por ello, una vez superados los primeros meses y tras estabilizar al paciente, se prefiere el alta médica. El objetivo es que estas personas tengan un tratamiento especializado en su domicilio, en un entorno más acogedor y familiar. Para garantizar la comodidad, los padres y los cuidadores reciben un entrenamiento exhaustivo, para capacitarlos acerca del cuidado del bebé.
El síndrome de Patau se incluye en el grupo de las enfermedades raras. Hasta ahora, se conocen sus síntomas, mas no su verdadera causa. Por ello, la comunidad científica manifiesta la necesidad de investigar en este sentido. No obstante, los avances en estudios genéticos nos permiten ser optimistas, ya que los logros alcanzados en la última década eran impensables hace unos pocos años.
Todas las fuentes citadas fueron revisadas a profundidad por nuestro equipo, para asegurar su calidad, confiabilidad, vigencia y validez. La bibliografía de este artículo fue considerada confiable y de precisión académica o científica.
- Asociación Española de Pediatría. 2010. Trisonomía 13, síndrome de Patau. http://www.aeped.es/sites/default/files/documentos/sindrome_de_patau.pdf
- El Centro de Información sobre Enfermedades Genéticas y Raras (GARD). 2016. Holoprosenfalia. https://rarediseases.info.nih.gov/espanol/12935/holoprosencefalia
- Čulić, V., Polić, B., Mišković, S., Ivulić, S. D., Zitko, V., Sipalo, T., & Pavelić, J. (2016). Patau syndrome. Paediatria Croatica. https://doi.org/10.13112/PC.2016.5
- Syndrome, P., & Diaz-kuan, A. (2014). Síndrome de Patau. Revista Medica Herediana.
Este texto se ofrece únicamente con propósitos informativos y no reemplaza la consulta con un profesional. Ante dudas, consulta a tu especialista.







