¿Qué es la enfermedad de Marchiafava-Bignami? Síntomas, causas y tratamientos


Revisado y aprobado por la médica Mariel Mendoza
La enfermedad de Marchiafava-Bignami es una patología poco común, en la que ocurre una erosión del cuerpo calloso. Con mayor frecuencia se presenta en hombres con trastorno por consumo de alcohol, pero también en personas con cuadros graves de desnutrición.
Entre los síntomas que se pueden manifestar se mencionan convulsiones, dificultad para hablar, depresión, apatía y agresividad. El tratamiento incluye la administración intravenosa u oral de tiamina, ácido fólico y vitamina B, así como corticosteroides.
¿Qué es la enfermedad de Marchiafava-Bignami?
Esta patología debe su nombre a los médicos italianos Ettore Marchiafava y Amico Bignami, quienes la describieron en 1903. Además, estos patólogos son reconocidos por haber estudiado e identificado el parásito que transmite la malaria.
La enfermedad de Marchiafava-Bignami (abreviada MBD, por sus siglas en inglés) es poco frecuente. Un estudio de 2001 refiere un total de 250 casos informados, de hombres de diversas nacionalidades.
Muchos de ellos con trastorno por consumo de alcohol.
Se caracteriza por una desmielinización, así como eventual necrosis, del cuerpo calloso. ¿Qué significa esto? El cuerpo calloso es una estructura ubicada en el cerebro que conecta los dos hemisferios, ayudando a que ambos trabajen de forma coordinada.
Por su parte, la mielina es una capa aislante, compuesta de proteína y grasas. La misma funciona a manera de una vaina, que recubre y aísla nervios. Además de esta función, la mielina contribuye con la transmisión de los impulsos eléctricos.

Síntomas de la enfermedad de Marchiafava-Bignami
La aparición y el grado de los síntomas de la enfermedad de Marchiafava-Bignami varían de un caso a otro, dependiendo de si es aguda, subaguda o crónica. Algunos están relacionados con el funcionamiento psicológico y otros son neurológicos:
- Ataxia.
- Apraxia.
- Depresión.
- Disartria.
- Hemiparesia.
- Agresividad.
- Convulsiones.
- Alucinaciones visuales y auditivas.
- Espasticidad y alteraciones de la marcha.
- Estado de confusión, demencia y paranoia.
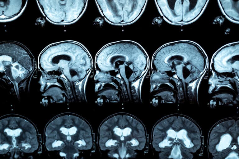
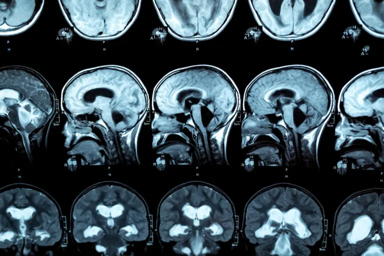
También se puede apreciar tumefacción del cuerpo calloso si se hace una imagen cerebral. En algunos casos, se presentan signos de síndrome de desconexión interhemisférica.
Causas y factores de riesgo
La MBD es más frecuente en pacientes con trastorno por consumo de alcohol. Aunque su etiología no está totalmente clara, ya que también se presenta en personas que no tienen adicción a la bebida.
En este orden de ideas, algunas investigaciones señalan que puede ocurrir en pacientes que sufren desnutrición crónica. Al respecto, se piensa que estaría relacionada con una deficiencia de vitaminas del complejo B.
Otras posibles causas que se mencionan son las siguientes:
- Enfermedad de células falciformes y paludismo cerebral.
- Complicación de la cetoacidosis en la diabetes mellitus.
- Desnutrición posterior a cirugía de bypass gástrico.
- Cirugía de carcinoma cardíaco.
La edad promedio de los casos diagnosticados es 45 años.
Por otra parte, la enfermedad de Marchiafava-Bignami es más común en hombres. Posiblemente, porque en ellos es mayor el consumo de alcohol, según las estadísticas.
¿Cómo es el diagnóstico?
Para el diagnóstico de esta patología se realiza una resonancia magnética, de modo que se observen las lesiones en el cuerpo calloso. Al respecto, en las investigaciones se señala que las personas con trastorno por consumo de alcohol evidencian reducción en el grosor anterior, medio y posterior del cuerpo calloso, así como variaciones en tamaño del lóbulo frontal y de los surcos corticales.
En conjunto, se analiza el historial del paciente y se hacen exámenes físicos y psicológicos detallados:
- Función neurológica, mediante algunas escalas (MOHS y mRS).
- Función cognitiva (con pruebas como la de Montreal o MoCA).
- Alteración de la consciencia (escala de coma de Glasgow).
- Consumo de alcohol (MAST-C).
Se recomiendan exámenes de laboratorio generales, como hemograma completo, electrolitos, glucosa, transaminasas, bilirrubina y panel de serología en líquido cefalorraquídeo. Esta última, para constatar si hay infecciones del sistema nervioso central.
Tratamiento de la enfermedad de Marchiafava-Bignami
En el tratamiento para la enfermedad de Marchiafava-Bignami se incluyen suplementos vitamínicos de tiamina, folatos y otras del grupo B. Estas pueden administrarse por vía intravenosa u oral. La dosis varía en cada caso y dependerá de la indicación del médico.
Por supuesto, es necesario detener la ingesta de alcohol. Pero dado que esto puede desencadenar síndrome de abstinencia, es posible que se requiera de medicación adicional o incluso ingreso en el hospital.

Posibles complicaciones
En diversos estudios se señala que los pacientes con MBD han mostrado mejoría significativa tras la administración de multivitaminas y corticosteroides. Aunque en el caso de las personas diabéticas, también se requiere estabilización y normalización de la glucosa en plasma.
Ahora bien, en la etapa aguda, las áreas dañadas del cuerpo calloso pueden mostrar cambios edematosos citotóxicos. También hay posibilidad de lesiones en otras partes del cerebro, tales como los lóbulos cerebrales, la sustancia blanca hemisférica y los ganglios basales.
En pacientes no tratados, así como en aquellos que no responden al tratamiento, la desmielinización y la necrosis pueden hacerse permanentes. También puede producirse transformación quística.
No es extraño que se presenten otros daños asociados con el alcohol o con deficiencia dietética:
- Metabolismo anormal de lípidos.
- Afecciones gastrointestinales.
- Alteraciones metabólicas.
- Hipovitaminosis.
- Daño hepático.
Asimismo, al afectarse el cuerpo calloso, falla la conexión entre ambos hemisferios, lo que se traduce en problemas cognitivos, sensoriales y motores. Por último, hay pacientes que pueden entrar en estado de coma.
Aunque es posible que algunos lleguen a recuperarse espontáneamente, otros podrían morir. La tasa de mortalidad es del 20 %.
Pronóstico
Dado que la gravedad de esta enfermedad es variable, el pronóstico es incierto. Aun presentando síntomas, una persona puede sobrevivir por años, incluso recuperarse o, por el contrario, deteriorarse hasta fallecer.
Son mayores las posibilidades de recuperación del paciente cuanto más temprano sea el diagnóstico y más al pie de la letra se cumpla el tratamiento. Esto incluye el cese de la ingesta de alcohol.
Todas las fuentes citadas fueron revisadas a profundidad por nuestro equipo, para asegurar su calidad, confiabilidad, vigencia y validez. La bibliografía de este artículo fue considerada confiable y de precisión académica o científica.
- Bachar M, Fatakhov E, Banerjee C, Todnem N. Rapidly resolving nonalcoholic Marchiafava-Bignami disease in the setting of malnourishment after gastric bypass surgery. J Investig Med High Impact Case Rep. 2018; 6: doi.org/10.1177/2324709618784318.
- Boutboul D, Lidove O, Aguilar C, Klein I, Papo T. Marchiafava-Bignami disease complicating SC hemoglobin disease and Plasmodium falciparum infection. Presse Med. 2010; 39(9): 990-993.
- Carrilho P, Santos M, Piasecki L, Jorge A. Marchiafava-Bignami disease: a rare entity with a poor outcome. Rev Bras Ter Intensiva. 2013; 25(1): 68-72.
- Ceylan-Isik A, McBride S, Ren J. Sex difference in alcoholism: who is at a greater risk for development of alcoholic complication? Life Sci. 2010; 87(5-6): 133-138.
- Estruch R, Nicolás J, Salamero M, Aragón C, et al. Atrophy of the corpus callosum in chronic alcoholism. J Neurol Sci. 1997; 146(2): 145-151.
- Helenius J, Tatlisumak T, Soinne L, Valanne L, Kaste M. Marchiafava-Bignami disease: two cases with favourable outcome. Eur J Neurol. 2001; 8(3): 269-272.
- Hillbom M, Saloheimo P, Fujioka S, Wszolek ZK, Juvela S, Leone MA. Diagnosis and management of Marchiafava-Bignami disease: a review of CT/MRI confirmed cases. J Neurol Neurosurg Psychiatry. 2014; 85(2): 168-173.
- Suzuki Y, Oishi M, Ogawa K, Kamei S. A patient with Marchiafava-Bignami disease as a complication of diabetes mellitus treated effectively with corticosteroid. J Clin Neurosci. 2012; 19(5): 761-762.
- Tian T, Pescador M, Park S, et al. Marchiafava Bignami Disease. In: StatPearls. Treasure Island (FL): StatPearls Publishing; 2022 Jan. Disponible: https://www.ncbi.nlm.nih.gov/books/NBK526007/
- Ventura R. El síndrome de desconexión interhemisférica cerebral. Revista de psiquiatria y salud mental. 2003; IV(2): 29-42.
- Yadala S, Luo J. Marchiafava-Bignami disease in a nonalcoholic diabetic patient. Case Rep Neurol Med. 2013: https://doi.org/10.1155/2013/979383.
Este texto se ofrece únicamente con propósitos informativos y no reemplaza la consulta con un profesional. Ante dudas, consulta a tu especialista.







