¿Qué son las encías retraídas y por qué ocurren?


Escrito y verificado por la odontóloga Vanesa Evangelina Buffa
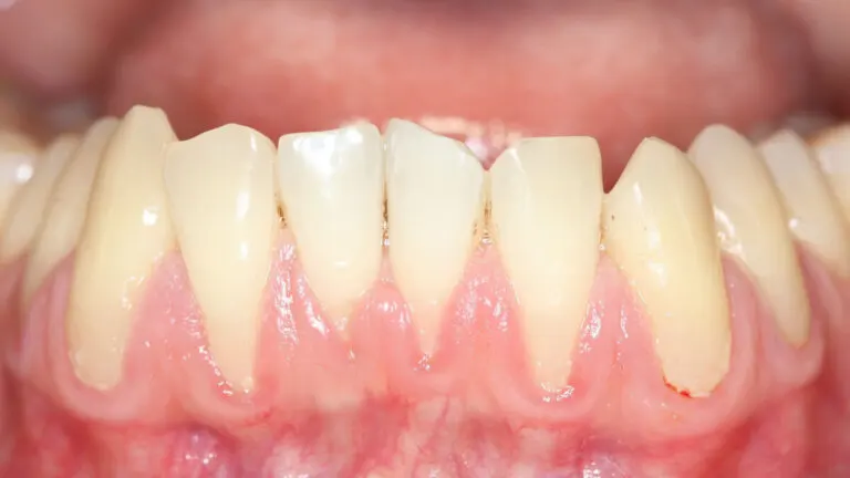
Algunas personas, cuando se miran al espejo, creen que tienen los dientes más largos de lo que sería normal. Además, es posible que noten que el tejido rosa sobre sus elementos dentarios aparenta ser más delgado. Pues bien, lo más probable es que padezcan un problema de encías retraídas.
Este trastorno, además de las consecuencias estéticas, es capaz de afectar el normal funcionamiento de la boca. Por eso es importante abordarlo a tiempo y de la mano de un odontólogo.
¿Qué son las encías retraídas?
La encía o tejido gingival es la parte blanda, firme y rosada que rodea el cuello de los dientes. Es decir, recubre lo que sería la raíz de los elementos dentarios, que en condiciones normales, no podemos ver.
El tejido gingival tiene la función de proteger al hueso y a la raíz dentaria. Además, le otorga firmeza a los dientes para que se conserven en su lugar.
Podemos decir que hay encías retraídas o recesión gingival cuando este tejido se desplaza, dejando visible la raíz. De acuerdo con una publicación científica del año 2015, la condición pone al descubierto la unión entre el cemento dental y el esmalte.
Por ello se provoca el efecto de «dientes más largos». En realidad, cada diente mide lo mismo, solo que ahora somos capaces de notar la raíz, que debería estar bajo la encía.
¿Cuál el es problema de tener encías retraídas?
Más allá de afectar la estética y la apariencia de la sonrisa, hay consecuencias para la salud física al tener retracción gingival. En primera instancia, las raíces, que deberían estar protegidas, quedan susceptibles a la acción de la placa bacteriana.
Además, la raíz es muy sensible a los estímulos externos. Más de la mitad de los pacientes con este problema suelen tener sensibilidad dental, sobre todo al masticar o al cepillarse.
Por otro lado, el cemento dental, que es un tejido que recubre la superficie de las raíces, no está preparado para hacer frente a las condiciones externas. Así que el trastorno se asocia a más riesgo de caries.
La situación se vuelve más frecuente con el envejecimiento. Por la retracción a causa de la edad, los adultos mayores se encuentran más expuestos a desarrollar caries radiculares, o sea, en las raíces de sus dientes.
Síntomas habituales
Además de notar que los dientes parecen más largos o que las encías están más desplazadas hacia arriba o abajo, es posible experimentar algunos síntomas asociados a la retracción, como los siguientes:
- Molestias al comer, debido a la sensibilidad dental ante los alimentos fríos o calientes.
- Sangrado de las encías, ya que la disposición del tejido favorece su inflamación y su lastimadura con el cepillado.
- Mal aliento, por la mayor presencia de placa bacteriana. Esto suele ocurrir porque los pacientes se cepillan menos o con una técnica incorrecta, debido a las molestias que les genera la sensibilidad.
¿Cuáles son las causas de las encías retraídas?
Son variados los orígenes de la retracción gingival. Incluso, es posible que una misma persona combine distintos factores de riesgo al mismo tiempo.
Conocer las causas es importante para tratarlas de manera oportuna y prevenir las encías retraídas. Las siguientes son las circunstancias más asociadas al trastorno.
Gingivitis y periodontitis
La inflamación de las encías se denomina gingivitis. Está vinculada a una mala higiene oral que favorece la acumulación de placa bacteriana y de sarro. Cuando ese acúmulo es excesivo, se genera irritación del tejido gingival.
En el mismo sentido, la periodontitis es una evolución de una gingivitis que no fue tratada a tiempo. Esa placa y sarro acumulados en exceso forman «bolsas» en los tejidos blandos, alrededor de los dientes. Luego, las bolsas se llenan de bacterias que inician un proceso de infección e inflamación severa.
A medida que el proceso avanza, el tejido blando alrededor de los dientes se destruye. Esto también incluye a las encías, que se retraen por la misma pérdida de sustancia. La consecuencia más severa es la posibilidad de perder los elementos dentarios, que se caen por no contar con el sostén adecuado.
De todas maneras, también puede suceder el proceso inverso. Una retracción gingival por otras causas podría derivar en problemas periodontales (gingivitis y periodontitis).

Tabaquismo
El tabaco afecta la salud oral de muchas maneras. Una de ellas es la inflamación de las encías, a través de las sustancias tóxicas del cigarrillo.
Las personas que fuman también tienen más riesgo de desarrollar gingivitis y periodontitis. Por lo tanto, en ellas es más habitual que las encías se retraigan.
Bruxismo
Se llama bruxismo al apretamiento y rechinamiento de los dientes que se hace de modo inconsciente. Las fuerzas mecánicas al apretar son tan potentes, que lastiman el tejido periodontal. Esta costumbre no solo desgasta las piezas dentarias, sino que también conlleva retracción de las encías.
Mala técnica de cepillado dental
Aunque la falta de una buena frecuencia de cepillado conduce a placa bacteriana, luego a gingitivis y, quizás, a encías retraídas, lo opuesto también es posible. Una alta frecuencia o potencia de cepillado en el contexto de una obsesión por la higiene dental, traumatizará el tejido gingival.
La limpieza con mucha presión desde el cepillo o con movimientos enérgicos que lastiman la encía no es recomendable. Al contrario, es un factor de riesgo para dañar y provocar la migración del tejido hacia la raíz de los dientes.
Ortodoncia
Existe controversia sobre la influencia real de la ortodoncia en la aparición de las encías retraídas. Si bien el tratamiento por sí solo no es capaz de causar el trastorno, aumenta el riesgo en personas con encías delgadas.
Por eso es importante que la ortodoncia se realice con profesionales certificados y experimentados. De este modo, el movimiento de las piezas dentarias se hace de manera precisa y progresiva, intentando que el trauma sobre la encía sea el mínimo.
Piercings
La moda de llevar joyas en la boca no está exenta de riesgos para la salud. Una publicación científica en el International Journal of Dental Hygiene destaca que los piercings en los labios y la lengua se asocian de modo directo con la recesión gingival.
La explicación más probable es que la fricción de la joya contra las encías sea traumática. Por lo tanto, el tejido se retrae como mecanismo de defensa.

¿Existen tratamientos efectivos para las encías retraídas?
Las encías no tienen la capacidad de regenerarse. Si se confirma una retracción gingival, se deberá aplicar un tratamiento guiado por un especialista en odontología.
El profesional de la salud establecerá la causa más probable del problema. Este diagnóstico será clave para planificar una terapéutica acorde y que tenga posibilidades de éxito.
Por ejemplo, si el origen está en una joya en la boca o en un exceso de cepillado, el abordaje será más simple y demandará menos tiempo, ya que se concentrará en eliminar el agente causal. Al contrario, si hay periodontitis, el tratamiento es a largo plazo, ya que hay distintos aspectos a abordar para mejorar toda la salud de la boca.
Los procedimientos terapéuticos pueden dividirse en dos grandes grupos:
- No quirúrgicos
- Quirúrgicos
Tratamientos no quirúrgicos para la retracción gingival
Si el problema es leve y no hay complicaciones, es posible prescindir de las cirugías. La opción es colocar agentes químicos para reducir la sensibilidad asociada a la retracción.
Para ello, el odontólogo aplica o prescribe alguna de las siguientes sustancias:
- Fluoruro: a través de barnices o indicado como ingrediente de pastas dentales y enjuagues bucales específicos.
- Óxido de zinc: ingrediente de algunas pastas dentales desensibilizantes que puede sellar los túbulos dentinarios.
- Cloruro de estroncio: bloquea señales de los nervios dentinarios para controlar el dolor y es ingrediente de dentífricos.
- Arginina: este aminoácido es también empleado para sellar los túbulos dentinarios, ayudando a reducir la transmisión de estímulos dolorosos.
- Nitrato de potasio: es un compuesto que bloquea las señales nerviosas, como el cloruro de estroncio. También se puede encontrar en pastas dentales para dientes sensibles.
El empleo de remedios caseros para la retracción gingival y otras sustancias queda a criterio del profesional, ya que muchas opciones no tienen sustento o son todavía experimentales. Por ejemplo, hay reportes de casos en los que se emplea propóleo. Aun así, siempre se deben valorar estos compuestos en el marco de la atención con un especialista.
Las restauraciones adhesivas con resina compuesta, por otro lado, son abordajes no quirúrgicos que consisten en colocar sustancias del mismo color de los dientes para cubrir la raíz expuesta. Esto previene el problema de sensibilidad.
Tratamientos quirúrgicos para las encías retraídas
Como lo plantea una revisión de la literatura del año 2018, hay distintas maneras de tratar las encías retraídas. La mayorías de las veces, un abordaje quirúrgico es necesario e ineludible si queremos mejorar la estética y prevenir complicaciones a futuro.
Las técnicas más utilizadas por los odontólogos son las siguientes:
- Estiramiento de encía: el nombre técnico es el de colgajo movilizado coronalmente. Hay que reunir algunas condiciones en la boca para que la técnica sea viable y efectiva. Por ejemplo, las papilas interdentarias (los triángulos de encía entre diente y diente) deben estar bien conservadas. En sí, la cirugía consiste en tomar parte de la encía, desprenderla como en un «sobre», gracias a una incisión, desplazarla y usarla para rellenar los espacios que habían quedado vacíos.
- Injerto de encía: también llamada cirugía plástica mucogingival, consiste en tomar una parte de la mucosa del paladar para injertarla en la zona faltante de encía que queremos rellenar. Así, las raíces de los dientes quedan cubiertas. Aunque parezca algo complejo al describirlo, resulta una cirugía simple y rápida. Su contraindicación es la presencia de periodontitis. Aunque el injerto tiene distintas variantes en su realización, los análisis científicos todavía no han encontrado que una sea superior a otra.
- Cirugía periodontal: los casos graves con una enfermedad periodontal avanzada, mucha carencia de tejido y posibilidad de pérdida de dientes, deben abordarse con cirugías complejas. Lo que se busca es colocar material de relleno o injertos grandes que no solo cubran la encía que no está, sino también el hueso que se ha degradado por el proceso inflamatorio.
En la actualidad, se desarrollan experimentos con animales para mejorar las opciones de tratamiento futuro para los humanos. Entre estas alternativas está el uso de células madre para regenerar la encía perdida, así como la implantación de tejidos biosintéticos.

Cambio de hábitos
El compromiso por parte del paciente es esencial para el éxito del tratamiento de las encías retraídas. Modificar conductas que pudieron favorecer la retracción prevendrá la reaparición del problema.
En este sentido, es bueno aprender y practicar la técnica correcta de cepillado para evitar errores cuando te laves los dientes. Con el odontólogo se puede discutir el mejor tipo de cepillo para adquirir y las pastas dentales que podrían reducir la sensibilidad.
Los hábitos dañinos deberán suspenderse, como el tabaquismo. Y si tienes un piercing en la boca, tendrás que retirarlo, pues el trauma que genera no permitirá una adecuada curación.
¿Se puede prevenir la retracción gingival?
Es viable tomar algunas medidas para reducir el riesgo de que las encías se retraigan. No siempre será posible, pero si aplicas los siguientes consejos, podrías mejorar las posibilidades de no padecer este trastorno:
- Cepilla tus dientes, al menos, dos veces al día. Usa una técnica de cepillado suave y combina con hilo dental a diario. Te puedes ayudar con un cepillo eléctrico, ya que algunos modelos se comercializan con sensores de presión para alertarte cuando estás aplicando demasiada fuerza.
- Programa chequeos dentales regulares. Las visitas al dentista te permitirán detectar a tiempo las condiciones que llevan a la retracción. Luego, respeta las indicaciones del profesional para los tratamientos.
- En caso de necesitar ortodoncia, evalúa con detenimiento a qué profesional asistirás. Procura buscar un consultorio avalado para la especialidad y con experiencia.
- Usa protectores bucales si tienes bruxismo.
- Deja de fumar si tienes el hábito.
En caso de ya tener un diagnóstico confirmado, el objetivo será evitar la reincidencia. Para ello, las medidas indicadas por el odontólogo no son opcionales. Respetarlas al pie de la letra te llevará a recuperar la salud y volver a sonreír con confianza.
Todas las fuentes citadas fueron revisadas a profundidad por nuestro equipo, para asegurar su calidad, confiabilidad, vigencia y validez. La bibliografía de este artículo fue considerada confiable y de precisión académica o científica.
- Bahal, P., Malhi, M., Shah, S., & Ide, M. (2019). Managing the consequences of periodontal diseases/treatment: gingival recession. Dental Update, 46(10), 966-977. https://www.magonlinelibrary.com/doi/abs/10.12968/denu.2019.46.10.966
- Heasman, P. A., Ritchie, M., Asuni, A., Gavillet, E., Simonsen, J. L., & Nyvad, B. (2017). Gingival recession and root caries in the ageing population: a critical evaluation of treatments. Journal of clinical periodontology, 44, S178-S193. https://onlinelibrary.wiley.com/doi/full/10.1111/jcpe.12676
- Hennequin‐Hoenderdos, N. L., Slot, D. E., & Van der Weijden, G. A. (2016). The incidence of complications associated with lip and/or tongue piercings: a systematic review. International journal of dental hygiene, 14(1), 62-73. https://onlinelibrary.wiley.com/doi/abs/10.1111/idh.12118
- Jati, A. S., Furquim, L. Z., & Consolaro, A. (2016). Gingival recession: its causes and types, and the importance of orthodontic treatment. Dental press journal of orthodontics, 21, 18-29. https://www.scielo.br/j/dpjo/a/Q5JFsKRd6fm3kvkT3QsKmsq/
- Masud, M., Al-Bayaty, F. H., Muhamed, N. A. H., Alwi, A. S., Takiyudin, Z., & Hidayat, M. F. H. (2017). Gingival Recession and Dentine Hypersensitivity in Periodontal Patients: is It Affecting Their Oral Health Related Quality of Life?. Journal of International Dental and Medical Research, 10(3), 909-914. https://search.proquest.com/openview/88de5fcb72ee17782249edfe600545ae/1?pq-origsite=gscholar&cbl=1036416
- Mostafa, D., & Mandil, O. A. (2021). Treatment of gingival recession defects using non-invasive pinhole technique with propolis application, a case report. International Journal of Surgery Case Reports, 83, 106042. https://www.sciencedirect.com/science/article/pii/S2210261221005447
- Mythri, S., Arunkumar, S. M., Hegde, S., Rajesh, S. K., Munaz, M., & Ashwin, D. (2015). Etiology and occurrence of gingival recession-An epidemiological study. Journal of Indian Society of Periodontology, 19(6), 671. https://www.ncbi.nlm.nih.gov/pmc/articles/PMC4753713/
- Rubnikovich, S. P., Denisova, Y. L., Vladimirskaya, Т. E., Andreyeva, V. А., Kvacheva, Z. B., Panasenkova, G. Y., & Volotovsky, I. D. (2018). Regenerative cell technologies for gingival recession treatment. Современные технологии в медицине, 10(4 (eng)), 94-102. https://cyberleninka.ru/article/n/regenerative-cell-technologies-for-gingival-recession-treatment
- Shkreta, M., Atanasovska-Stojanovska, A., Dollaku, B., & Belazelkoska, Z. (2018). Exploring the gingival recession surgical treatment modalities: A literature review. Open access Macedonian journal of medical sciences, 6(4), 698. https://www.ncbi.nlm.nih.gov/pmc/articles/PMC5927507/
- Sidharthan, S., Dharmarajan, G., Kale, S., Dharmadhikari, S., & Chordia, D. (2023). Comparison of the effectiveness of Gingival unit transfer and free Gingival graft in the management of localized Gingival recession-A systematic review. Journal of Oral Biology and Craniofacial Research, 13(2), 130-137. https://www.sciencedirect.com/science/article/pii/S221242682200166X
- Zucchelli, G., Stefanini, M., Ganz, S., Mazzotti, C., Mounssif, I., & Marzadori, M. (2016). Coronally Advanced Flap with Different Designs in the Treatment of Gingival Recession: A Comparative Controlled Randomized Clinical Trial. https://pubmed.ncbi.nlm.nih.gov/27100801/
Este texto se ofrece únicamente con propósitos informativos y no reemplaza la consulta con un profesional. Ante dudas, consulta a tu especialista.







