Tipos de manchas en los dientes, cómo identificarlas y eliminarlas


Escrito y verificado por la odontóloga Vanesa Evangelina Buffa
Descubrir que tus piezas dentarias están pigmentadas es un problema estético que puede afectar tu imagen, bienestar y confianza. Ya sea según sus diferentes causas o dependiendo del color, conocer los tipos de manchas en los dientes te orientará a saber qué puedes hacer al respecto.
De manera natural, los dientes tienen una coloración entre blanca y amarillenta muy sutil. Pero pueden aparecer imperfecciones que afectan su apariencia. La buena noticia es que muchas de estas se pueden tratar y prevenir. Te lo contamos.
¿Por qué se manchan los dientes?
Una de las formas de abordar las diferentes causas de las decoloraciones en la dentadura es determinando dónde aparecen. Basándonos en ello, existen dos tipos principales de manchas en los dientes: extrínsecas e intrínsecas.
Manchas extrínsecas en los dientes
Estas ocurre cuando se afecta el esmalte dental, que es la superficie exterior que recubre los dientes. Generalmente se debe a la exposición a ciertas sustancias y a situaciones externas que cambian la coloración del tejido. Algunas de estas causas incluyen las siguientes:
- Realizar enjuagues con clorhexidina de manera muy prolongada en el tiempo tiñe los dientes de marrón.
- Tener una mala higiene bucal provoca el acúmulo de placa bacteriana y sarro que afecta el aspecto de la dentadura.
- Fumar y consumir tabaco favorece la pigmentación de las piezas dentarias con la nicotina y el alquitrán, producidos por el cigarrillo.
- Consumir con frecuencia alimentos y bebidas de color oscuro, como café, té, bayas, vino tinto, condimentos y salsa de soja, entre otros.
Decoloración intrínseca de la dentadura
Las manchas intrínsecas suceden dentro del diente y afectan la dentina, que es la capa debajo del esmalte. Por su localización, son más difíciles de tratar, ya que involucran la estructura dentaria.
A continuación, te compartimos las posibles causas de esta situación:
- Genética: el color, brillo y la translucidez de los dientes varía de persona a persona.
- Caries dental: las lesiones de caries producen manchas y cavidades en las piezas dentarias.
- Traumatismos dentales: las caídas, accidentes y lesiones pueden causar la muerte del nervio y el cambio de color del diente.
- Envejecimiento: con el tiempo, el esmalte dental se desgasta y adelgaza, exponiendo la dentina amarillenta que se encuentra por debajo.
- Tratamientos dentales: algunos materiales como la amalgama, empastes antiguos o tratamientos de conducto pueden causar una apariencia más oscura.
- Ciertos medicamentos: el uso de ciertos medicamentos, como la tetraciclina y la doxiciclina, pueden causar manchas, sobre todo si se toman durante el embarazo y la infancia.
- Fluorosis: aunque el flúor en cantidades adecuadas protege contra las caries, el exceso durante la formación de los dientes puede causar fluorosis dental y manifestarse manchas blancas o marrones en el esmalte dental.
Tipos de manchas dentales según el color
Aunque la clasificación de las decoloraciones suele hacerse según la causa que las origina y la profundidad de los tejidos afectados, también pueden diferenciarse mediante su color. Las más comunes son las blancas, amarillas, marrones y negras.
Recuerda que la información que te presentamos es una guía general, el diagnóstico dependerá siempre de tu caso personal y deberá ser realizado por un experto en odontología.
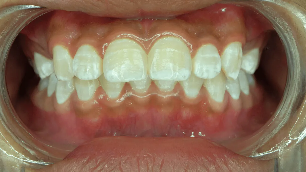
Manchas blancas en los dientes

Entre las diferentes coloraciones, las de color blanco son las menos habituales o, al menos, las que suelen pasar más desapercibidas. Además de ser una preocupación estética, pueden indicar problemas de salud dental subyacentes, por lo que es importante darles la atención que merecen.
A menudo, son difíciles de detectar, sobre todo si son pequeñas. Sin embargo, cuando se vuelven más pronunciadas, pueden afectar la apariencia general de los dientes.
Algunas causas de las manchas dentales blancas son las siguientes:
- Hipoplasia del esmalte: se trata de un defecto de desarrollo que ocurre durante la niñez, resultando en una menor cantidad de esmalte de lo habitual.
- Caries incipientes: en sus estadios iniciales, esta enfermedad provoca la pérdida de minerales del esmalte que se observa como una mancha de color blanco tiza.
- Fluorosis dental: el consumo de altos niveles de flúor durante la niñez, cuando los dientes están en desarrollo, puede causar manchas blancas en el esmalte dental.
- Déficit nutricional: una dieta deficiente en minerales esenciales para la formación y mantenimiento de un esmalte dental saludable, como fósforo y calcio, puede contribuir a la aparición de este tipo de manchas.
- Uso de brackets de ortodoncia: el uso de estos aditamentos puede dificultar la limpieza adecuada de los dientes, lo que puede llevar a la desmineralización del esmalte alrededor de los brackets.
Dientes amarillos
Esta coloración es uno de los problemas estéticos más comunes. Las manchas amarillas en los dientes pueden variar de un tono claro a uno más intenso.
Suelen aparecer como un color amarillo uniforme en toda la superficie dental o como parches más oscuros en algunas zonas de los dientes.
Pueden deberse a una variedad de factores, entre los que se destacan los siguientes:
- Bruxismo: este hábito de rechinar los dientes también puede desgastar el esmalte.
- Condiciones médicas y medicamentos: algunos fármacos pueden contribuir a la decoloración amarilla.
- Boca seca crónica: la falta de saliva favorece la proliferación y acumulación de las bacterias, causando manchas y caries.
- Uso de tabaco: la nicotina y el alquitrán en los productos de tabaco son conocidos por causar manchas amarillas persistentes en los dientes.
- Envejecimiento: con el tiempo, el esmalte dental se desgasta de manera natural, exponiendo la dentina amarillenta subyacente. Este proceso es inevitable.
- Higiene bucal deficiente: la falta de una higiene bucal adecuada favorece la acumulación de placa bacteriana y sarro, que se observan como manchas amarillas en la superficie dental.
- Erosión del esmalte: el consumo de alimentos y bebidas ácidas como el vinagre, los cítricos y los refrescos o tener el hábito de vomitar pueden erosionar el esmalte, dejando la dentina amarillenta expuesta.
- Alimentos: el consumo frecuente de café, té, vino tinto, bebidas carbonatadas, cítricos, frutos rojos y condimentos pueden pigmentar la superficie del esmalte. Además, el consumo excesivo de azúcares simples puede promover la formación y acúmulo de placa bacteriana que, a su vez, causa decoloración.
Dientes con manchas marrones

La aparición de manchas color marrón en los dientes es una preocupación estética significativa, ya que tienden a ser más notorias y oscuras que otros tipos de decoloración. Pueden ser superficiales o más profundas, dependiendo de cuánto tiempo hayan estado presentes y de la causa subyacente.
Estos son los motivos por los que suelen presentarse:
- Caries dentales: las caries no tratadas pueden provocar manchas marrones y cavidades oscuras sobre la superficie dental.
- Medicamentos: ciertos medicamentos, como los que contienen hierro, pueden contribuir a la aparición de esta coloración.
- Bebidas oscuras: el consumo regular de café, té, cola y vino tinto pueden manchar los dientes con los pigmentos intensos que contienen.
- Consumo de tabaco: la nicotina y el alquitrán presentes en el humo del cigarrillo se adhieren al esmalte y causan manchas marrones persistentes en los dientes.
- Acumulación de sarro: la falta de una higiene bucal adecuada favorece la acumulación de placa bacteriana, que eventualmente se endurece y se convierte en sarro. Esta sustancia suele observarse de color marrón, sobre todo cerca de las encías.
Dientes negros
Las manchas negras en los dientes suelen ser visibles a simple vista y pueden variar en tamaño y ubicación. Más allá del aspecto estético, los dientes oscuros pueden indicar problemas subyacentes más graves que las simples decoloraciones superficiales.
Pueden aparecer como puntos negros pequeños o cubrir áreas más grandes de la superficie dental, a menudo cerca de la línea de las encías.
Estas son las causas más comunes que ocasionan esta situación:
- Caries avanzadas: las manchas negras pueden ser una señal de caries dental severas y avanzadas.
- Acumulación de sarro: el sarro puede oscurecerse y tornarse negro, en especial cuando se localiza cerca de la línea de las encías.
- Bacterias cromógenas: algunas bacterias en la boca pueden producir un pigmento oscuro que se adhiere a la superficie dental.
- Tratamientos dentales: las coronas y empastes antiguos, las obturaciones con amalgama y los tratamientos con fluoruro diamino de plata pueden causar manchas negras o grises en los dientes.
- Necrosis pulpar: la muerte del tejido pulpar presente en la parte más interna del diente, causado por un trauma dental o una caries profunda, puede resultar en una decoloración grisácea o negra de la pieza afectada.
¿Cómo eliminar las manchas de tus dientes?
En primer lugar, toma en cuenta de que este es un proceso que debe ser supervisado por un odontólogo. Desafortunadamente hay muy poco que puedes (o debes) hacer por ti mismo para desaparecer las manchas.
Sin embargo tu dentista de confianza puede realizar algunos de los siguientes tratamientos. Luego de hacer un minucioso estudio del caso y determinar la causa que las origina, el profesional elegirá la terapéutica más adecuada y efectiva para resolver el problema.
1. Limpieza profesional
También conocida como profilaxis dental, se trata de una limpieza profunda que realiza el odontólogo en el consultorio dental. Con herramientas manuales, ultrasonido y un cepillo con una pasta especial ligeramente abrasiva se elimina la placa, el sarro y las manchas superficiales causadas por alimentos, bebidas y tabaco.
Este tratamiento no se aconseja solamente para eliminar decoloraciones o mejorar el aspecto de los dientes. Por higiene y cuidado bucal es recomendable hacerla por lo menos una vez al año.
2. Blanqueamiento dental profesional

Este tratamiento aclara el color de los dientes utilizando agentes blanqueadores, como el peróxido de hidrógeno o peróxido de carbamida. El blanqueamiento dental sirve para eliminar pigmentaciones superficiales y algunas manchas profundas, logrando una coloración uniforme de la sonrisa.
Se puede realizar en el consultorio dental, siendo el dentista quien aplica el producto, o por el paciente en su hogar. En el segundo caso, el profesional suministra unas bandejas personalizadas y un gel blanqueador que la persona aplica varios días, durante algunas semanas.
3. Carillas dentales
Son finas láminas de porcelana o composite que se adhieren a la superficie frontal de los dientes para ocultar manchas profundas que no responden al blanqueamiento, como las ocasionadas por traumatismos, fluorosis severas o tetraciclinas. Requieren un ligero desgaste del esmalte dental, por lo que son un tratamiento irreversible.
4. Coronas dentales
Una corona dental es una funda que se coloca sobre la pieza dentaria para protegerlo y mejorar su apariencia. Se utilizan cuando los dientes están debilitados o hay una gran pérdida de tejido a causa de caries o traumatismos.
5. Tratamientos de venta libre
Algunos productos de venta libre pueden ayudar a mejorar el aspecto de las piezas dentarias manchadas cuando las decoloraciones son superficiales.
Las tiras blanqueadoras, por ejemplo, se aplican sobre los dientes y se usan por un tiempo específico cada día para eliminar pigmentaciones y aclarar la sonrisa. Las pastas dentales y enjuagues blanqueadores pueden disminuir las manchas superficiales o prolongar los resultados de blanqueamientos profesionales.
A pesar de que estos productos se consiguen con facilidad en farmacias y comercios, es recomendable consultar a un odontólogo antes de usarlos. Debido a su popularidad, muchas personas se preguntan si el blanqueamiento dental daña los dientes. Es importante que sepas que las sustancias blanqueadoras que contienen estos productos de venta libre pueden causar irritación de las encías o sensibilidad dental si no se usan de manera correcta o la boca no está en buenas condiciones.
¿Cómo evitar que aparezcan?
Prevenir los distintos tipos de manchas en los dientes requiere de una combinación de buena higiene oral, moderación en el consumo de ciertos alimentos y bebidas, así como visitas regulares al odontólogo. Estos son algunos consejos prácticos que te ayudarán a tener una sonrisa bonita y brillante:
- Después de consumir alimentos o bebidas con pigmentos, enjuágate la boca con agua.
- Utiliza hilo dental cada día para eliminar restos de alimentos y placa entre los dientes.
- Si fumas o masticas tabaco, considera hablar con tu médico sobre programas para dejar de fumar.
- Utiliza enjuagues bucales para ayudar a eliminar bacterias y minimizar manchas entre los dientes.
- Modera el consumo de café, té, vino tinto, refrescos y alimentos con muchos pigmentos o colorantes.
- Cepíllate los dientes al menos dos o tres veces al día con un cepillo de cerdas suaves y una pasta dental con flúor.
- Realiza limpiezas dentales profesionales al menos una vez al año para eliminar manchas, sarro y placa bacteriana.
- Programa visitas regulares al dentista para mantener una buena salud bucal y prevenir problemas que puedan causar manchas.
A gusto con tu sonrisa
Algunos tipos de manchas en los dientes se pueden evitar con prácticas sencillas como cuidar la alimentación y mantener una adecuada higiene dental, con ayuda de un irrigador dental. Otras, en cambio, son inevitables o difíciles de prevenir.
En todos los casos, si tu dentadura presenta una coloración que te inquieta o no te agrada, no lo dejes pasar. Consultar a un dentista te permitirá determinar el mejor enfoque para mantener una sonrisa blanca y saludable con la que te sientas a gusto.
Todas las fuentes citadas fueron revisadas a profundidad por nuestro equipo, para asegurar su calidad, confiabilidad, vigencia y validez. La bibliografía de este artículo fue considerada confiable y de precisión académica o científica.
- Andrucioli, M. C. D., Amato, P. A. F., Kuchler, É. C., Matsumoto, M. A. N., Bergamo, A. Z. N., da Silva, R. A. B., ... & Nelson-Filho, P. (2023). Effect of chlorhexidine mouthwashes on periodontal parameters and extrinsic tooth staining in orthodontic patients. American Journal of Orthodontics and Dentofacial Orthopedics, 164(6), 855-861. https://www.sciencedirect.com/science/article/pii/S0889540623004304
- DenBesten, P. K., & Giambro, N. J. (2017). Dental fluorosis. In Dental enamel formation to destruction (pp. 245-264). CRC Press. https://www.taylorfrancis.com/chapters/edit/10.1201/9781315150925-11/dental-fluorosis-pamela-denbesten-nina-giambro
- Janjua, U., Bahia, G., & Barry, S. (2022). Black staining: an overview for the general dental practitioner. British Dental Journal, 232(12), 857-860. https://www.nature.com/articles/s41415-022-4345-0
- Justus, R. (2017). Prevention of white spot lesions during orthodontic treatment. Clinical Dentistry Reviewed, 2(1), 1. https://link.springer.com/article/10.1007/s41894-017-0015-z
- Magno, M. B., Silva, L. P. D., Ferreira, D. M., Barja‐Fidalgo, F., & Fonseca‐Gonçalves, A. (2019). Aesthetic perception, acceptability and satisfaction in the treatment of caries lesions with silver diamine fluoride: a scoping review. International Journal of Paediatric Dentistry, 29(3), 257-266. https://onlinelibrary.wiley.com/doi/abs/10.1111/ipd.12465
- Torrecilla-Venegas, R., & Castro-Gutiérrez, I. (2020). Efectos del envejecimiento en la cavidad bucal. 16 de abril, 59(278), 1-6. https://www.medigraphic.com/cgi-bin/new/resumen.cgi?IDARTICULO=97926b
- Wang, J., Zou, D., Li, Y., Liu, P., & Guo, C. (2023). Drug-induced tooth discoloration: An analysis of the US food and drug administration adverse event reporting system. Frontiers in Pharmacology, 14, 1161728. https://www.frontiersin.org/articles/10.3389/fphar.2023.1161728/full
- Zarkova, J., Zlatanovska, K., Radeska, A., Papakoca, K., & Foteva, K. (2015). How does smoking influence tooth color. 20th Congress of the Balkan Stomatological Society, Apr 2015, Bucharest, Romania. http://eprints.ugd.edu.mk/13216
- Żyła, T., Kawala, B., Antoszewska-Smith, J., & Kawala, M. (2015). Black stain and dental caries: a review of the literature. BioMed Research International, 2015(1), 469392. https://onlinelibrary.wiley.com/doi/abs/10.1155/2015/469392
Este texto se ofrece únicamente con propósitos informativos y no reemplaza la consulta con un profesional. Ante dudas, consulta a tu especialista.







