¿Qué es un absceso dental y cómo debe tratarse?


Revisado y aprobado por el biotecnólogo Alejandro Duarte
Un absceso dental es una condición médica bastante común, puede tener lugar a cualquier edad. Se trata de una situación que debe ser atendida tan pronto como sea posible, para evitar que se presenten complicaciones.
Básicamente se define como una infección que tiene lugar en los dientes o en las encías. Provoca grandes molestias, especialmente un dolor agudo y punzante, que empeora a medida que pasa el tiempo.
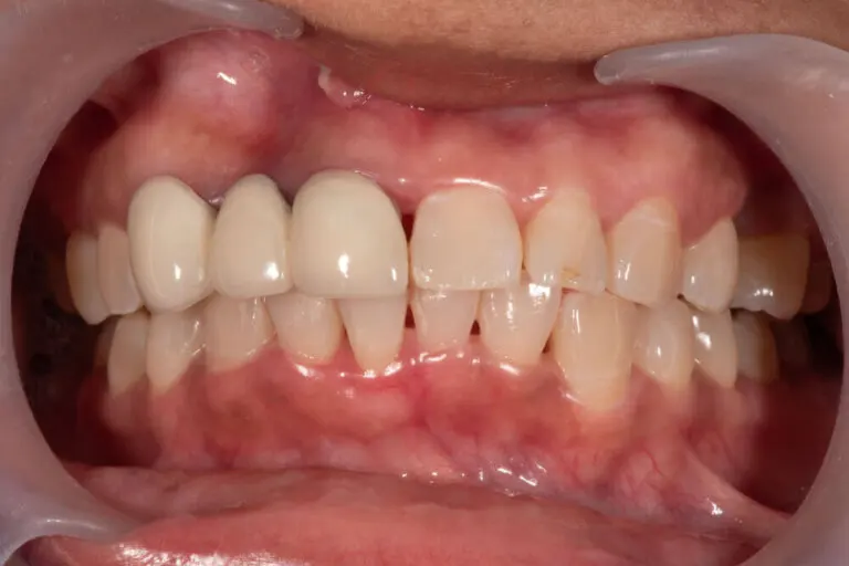
Por lo general, lo primero que se produce es una inflamación en las encías. Cuando esto sucede, lo mejor es explorar con cuidado la zona para detectar posibles bolsas de pus. Si estas se hallan presentes, significa que hay un absceso dental.
¿Qué es un absceso dental?

Se puede definir el absceso dental como una acumulación de pus debida a una infección bacteriana. Esta puede producirse en diferentes partes de la dentadura y por diversos motivos. Generalmente tiene lugar en la raíz del diente o entre la encía y los dientes.
Esta infección se va llenando de pus y paulatinamente se inflama y se vuelve más dolorosa cada vez. Esto quiere decir que la infección pasa por varias etapas.
El absceso dental tiende a diseminarse por las zonas colindantes. A veces se extiende a la boca, la cara, la mandíbula o la garganta. En los casos más graves el absceso bloquea las vías respiratorias.
Tomando como punto de referencia la causa que los produce, los abscesos dentales se dividen en dos tipos:
- Absceso periapical. Cuando se forma debajo del diente y es causado por una caries mal tratada o por un traumatismo en los dientes. Es la forma más común.
- Absceso periodontal. Tiene lugar cuando aparece en los tejidos que le dan soporte al diente, es decir, en las encías o el hueso.
Características y causas
La inflamación es una señal de que el cuerpo logró aislar la infección. La bolsa de pus es una concentración de glóbulos blancos junto a virus, bacterias y patógenos que han sido atacados por nuestro sistema inmune. Así que, en principio, el absceso dental es una respuesta defensiva del organismo.
El absceso dental periapical se produce cuando las bacterias han invadido la parte más profunda del diente, es decir, la pulpa dental. En este caso los agentes patógenos ingresan a través de una caries o de una grieta y avanzan hasta llegar a la raíz del diente.
Generalmente esto ocurre porque no se ha tratado correctamente la caries. También cuando no se realiza una higiene dental adecuada, o cuando hay una dieta excesivamente rica en azúcares o alimentos azucarados.
En el caso del absceso periodontal, este obedece a la presencia de un cuerpo extraño en la raíz del diente, o algún tipo de irregularidad o anomalía en el mismo. Todo ello facilita la colonización bacteriana.
Síntomas y diagnóstico

El dolor es el síntoma más característico de un absceso dental. Este es intenso, persistente y palpitante. Muchas veces se extiende hacia la zona de la mandíbula, o al oído. También hay hipersensibilidad al calor o al frío, y a la presión al masticar.
Así mismo, se presenta inflamación en la mejilla o en el rostro. En muchos casos hay fiebre y es posible que se inflamen los ganglios linfáticos en el cuello o la mandíbula. De otro lado, hay brotes de sabor y olor desagradables, así como presencia de líquido salado en la boca.
Normalmente el odontólogo hace el diagnóstico tras una revisión de la zona. Solo en algunos casos ordenará una radiografía, para determinar el nivel de propagación de la infección. Si hay diseminación es probable que se ordene una resonancia magnética.
Descubre: Cómo frenar la sensibilidad dental de forma natural
Tratamiento del absceso dental
El tratamiento para un absceso dental tiene por objetivo erradicar la infección. Para lograrlo, el odontólogo podría tomar algunas de las siguientes medidas:
- Drenar el absceso dental. En este caso hará una pequeña incisión en el absceso para que salga el pus. Luego limpiará la zona con una solución salina.
- Realizar endodoncia. Consiste en hacer una perforación en el diente, eliminar la pulpa dental y drenar el absceso. Luego, rellenar y sellar la cavidad pulpar, así como los conductos de las raíces del diente. Generalmente el diente se tapa con una corona.
- Antibióticos. Cuando la infección ya se ha diseminado, lo más probable es que se receten antibióticos para evitar una mayor propagación. Lo mismo ocurre si el paciente tiene debilitado el sistema inmunitario.
- Extracción. Si no hay más remedio, se extrae el diente para detener la infección.
A veces el absceso dental revienta espontáneamente. Aún así, es necesario visitar al odontólogo. Luego de aplicado el tratamiento del caso, el pronóstico es bueno. Cuando no se drena el líquido del absceso, la infección puede extenderse a otras partes e incluso causar sepsis, que es potencialmente mortal.
Todas las fuentes citadas fueron revisadas a profundidad por nuestro equipo, para asegurar su calidad, confiabilidad, vigencia y validez. La bibliografía de este artículo fue considerada confiable y de precisión académica o científica.
- Medina Castro, J. F. (2009). Prevalencia de caries dental y necesidad de tratamiento en pacientes adultos con demanda de atención diagnóstica.
Este texto se ofrece únicamente con propósitos informativos y no reemplaza la consulta con un profesional. Ante dudas, consulta a tu especialista.







